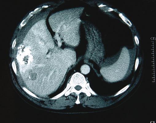
La Revue du Praticien - Jacques Belghiti Tumeur hypervasculaire sous-capsulaire associée à un hémopéritoine. L'artériographie montre la lésion et objective l'hémorragie. Elle permet, de plus, de faire un premier traitement (embolisation artérielle au mieux sélective).