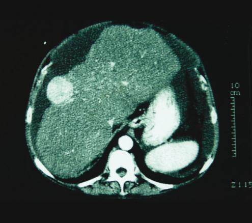
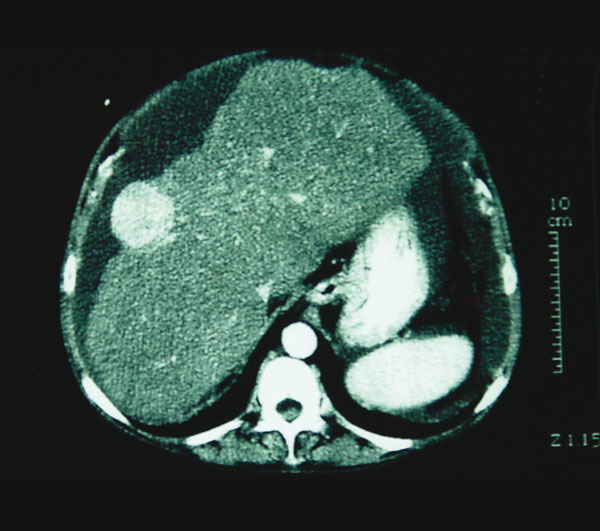
La Revue du Praticien - Jacques Belghiti Lésion hypervascularisée à la phase artérielle, périphérique et sous capsulaire. Présence d’une atrophie hépatique et d’ascite