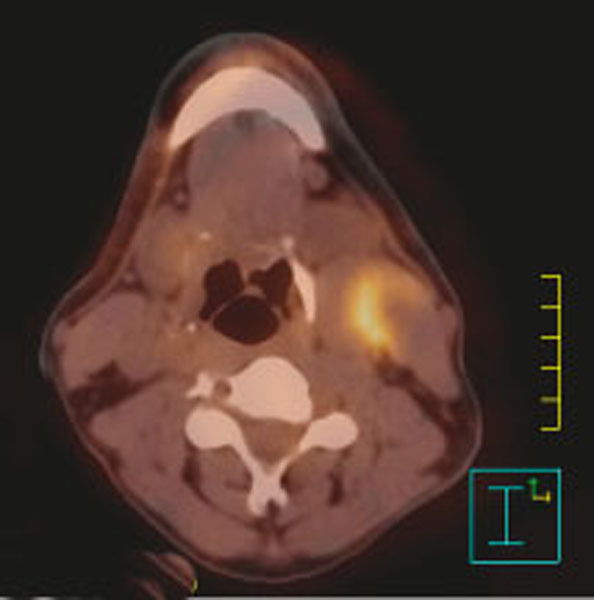
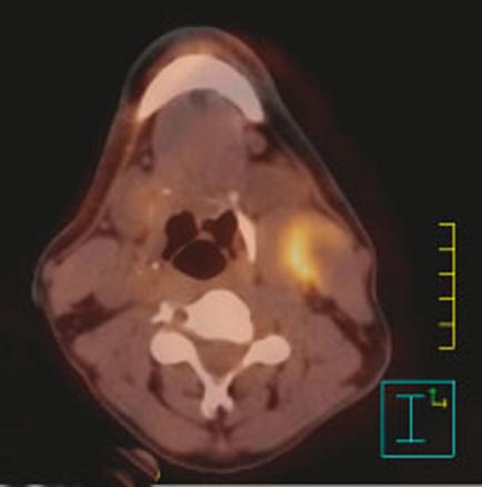
Fixation du fluorodésoxyglucose-(18F) en regard d’un carcinome épidermoïde du sinus piriforme gauche avec une adénopathie tumorale nécrosée sous-digastrique gauche.