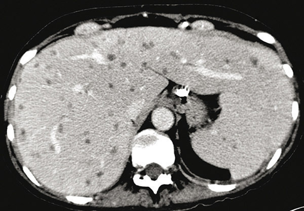
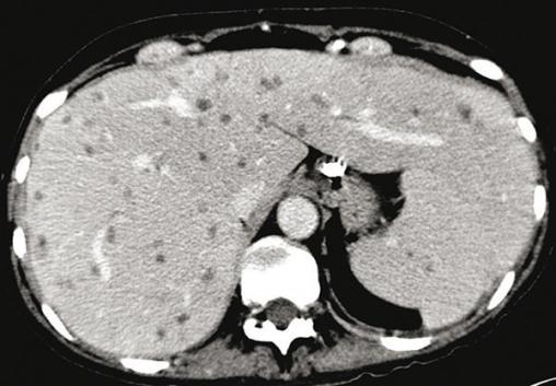
© Sylvain Poirée - La Revue du Praticien Tomodensitométrie abdominale après injection de produit de contraste montrant de multiples nodules hépatiques et spléniques.