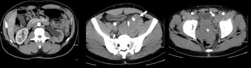
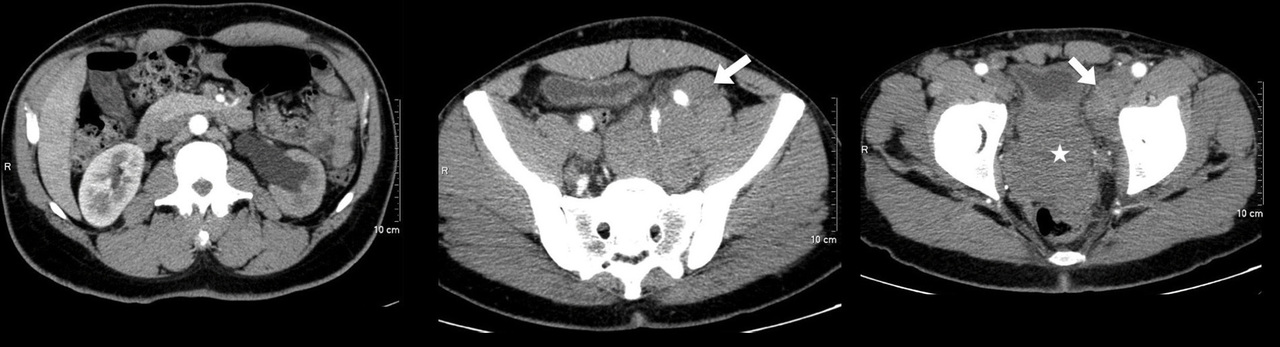
Patient de 51 ans admis en urgence pour œdème du membre inférieur gauche et hydronéphrose gauche, révélateurs d’un cancer de la prostate localement avancé (stade IV). Un bilan d’extension est réalisé par une tomodensitométrie avec injection. Volumineuse masse prostatique (★) associée à des adénopathies iliaques gauche compressives (flèches).
Lire aussi
Article Web
Article Web