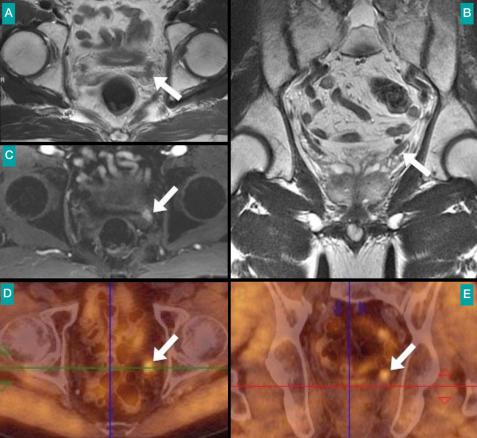
Patient de 71 ans traité 7 ans auparavant par radiothérapie pour un cancer de la prostate de score de Gleason 7. Rémission biologique puis réascension du PSA à 4,4 ng/mL. Rechute au niveau de la vésicule séminale gauche (flèche). L’imagerie par résonance magnétique (IRM) de la prostate en T2 (A, B) ne montre qu’un discret épaississement de la vésicule séminale gauche. L’IRM dynamique avec injection (C) montre une prise de contraste suspecte de la vésicule séminale gauche. La tomographie par émission de positons à la fluorocholine (D, E) confirme la rechute localisée à la vésicule séminale.
Lire aussi
Article Web
Article Web