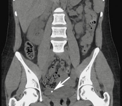
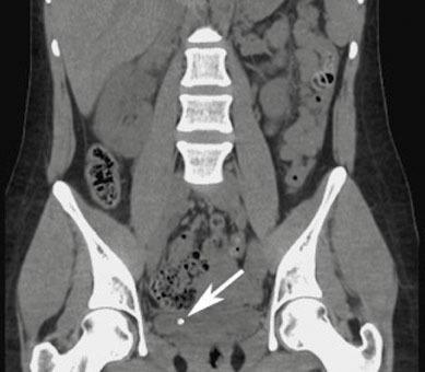
Vladimir Gomola, Jacques Hubert (La Revue du Praticien) Tomodensitométrie non injectée en coupe frontale montrant une lithiase du bas uretère droit au niveau de la jonction vésico-urétérale.