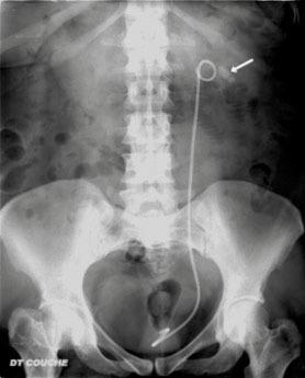
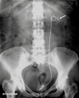
ASP couché de face montrant un calcul rénal et une sonde double J. Attention car 10 % des calculs sont radio-transparents, les calculs millimétriques peuvent également ne pas être mis en évidence par un ASP et des calculs peuvent être masqués par la trame osseuse ou l'aéroiléie. Inversement, des éléments non lithiasiques calcifiés se projetant sur les voies urinaires peuvent simuler une lithiase.