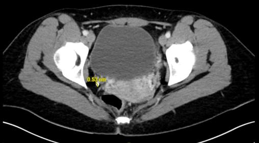
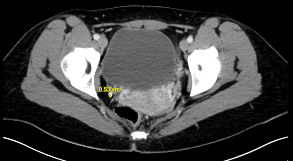
Théo Arber, La Revue du Praticien Scanner abdominopelvien non injecté. On y distingue un calcul pelvien droit de 0,53 cm.