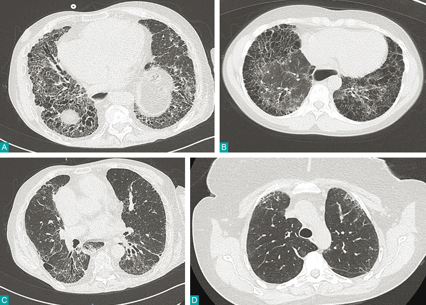
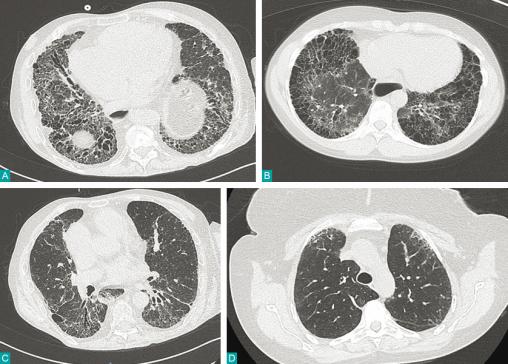
A. Aspect de fibrose des bases, bronchectasies de traction. B. Syndrome emphysème-fibrose, destruction du parenchyme pulmonaire. C. Syndrome interstitiel au stade préfibrosant avec images en verre dépoli, bronchectasie de traction. D. Syndrome interstitiel débutant avec réticulations sous-pleurales.