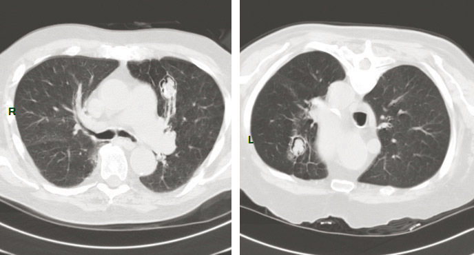
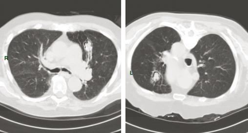
© Sylvain Poirée - La Revue du Praticien Aspergillome pulmonaire en décubitus et procubitus montrant la déclivité de la boule fungique.