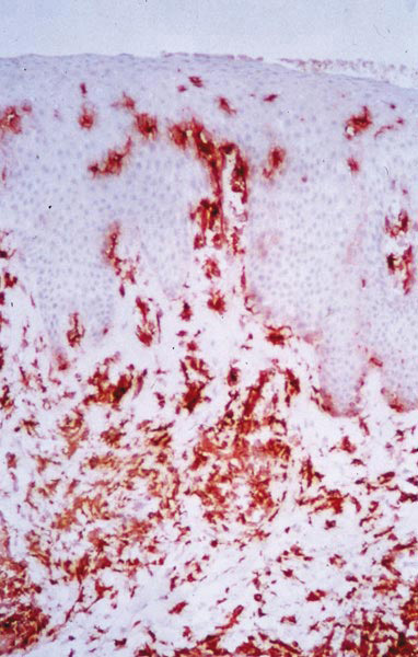
Les cellules rouges dans le derme superficiel et dans l’épiderme sont des lymphocytes T (immunomarquage par anticorps monoclonal anti-CD3). Les lymphocytes T jouent un rôle capital dans le déclenchement et le maintien de l’inflammation au cours du psoriasis. 3 Dans le derme, on retrouve une infiltration de lymphocytes T, principalement CD4+, de type mémoire, CD45 RO+, et de cellules mononucléées, associés plus tardivement à des polynucléaires neutrophiles.
Lire aussi
Article
Exercice
Exercice
Exercice