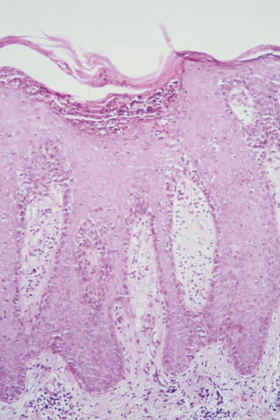
Les kératinocytes sont hyperprolifératifs, et le temps de renouvellement de l’épiderme est très accéléré. Cette prolifération accrue empêche le programme de différenciation des kératinocytes de se dérouler correctement et aboutit à la formation d’une couche cornée non complètement différenciée. Sur le plan histologique, les anomalies sont caractéristiques et associent: 1. Un épaississement de l’épiderme (acanthose) ; 2. un aspect festonné de la jonction épidermique avec des bourgeons interpapillaires très marqués ; 3. Une parakératose qui traduit le trouble de différenciation des kératinocytes ; 4. une infiltration par des neutrophiles.
Lire aussi
Article
Exercice
Exercice
Exercice