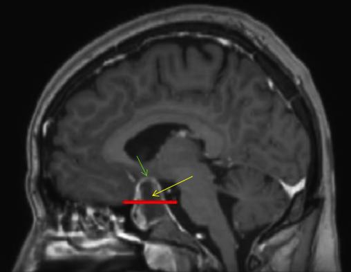
Coupe sagittale d’une IRM cérébrale en séquence T1 avec injection de gadolinium. Les coupes T1 sont des coupes dites « anatomiques » c’est-à-dire que la substance blanche est blanche et la grise est grise contrairement à la séquence T2 où c’est l’inverse. On voit que les vaisseaux sont rehaussés notamment dans le sinus caverneux.La flèche jaune pointe le macroadénome hypophysaire hémorragique. La ligne rouge représente la limite virtuelle de la loge pituitaire. La flèche verte pointe le chiasma optique comprimé par la masse.