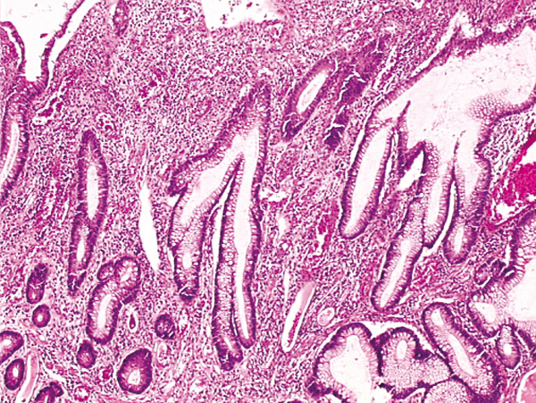
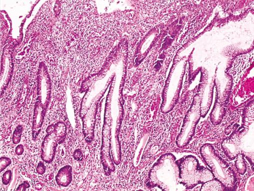
Coll. Pr JF Fléjou, hôpital Saint-Antoine, Paris. Anomalies de l'architecture des glandes (distorsions, ramifications) au cours d'une rectocolite hémorragique