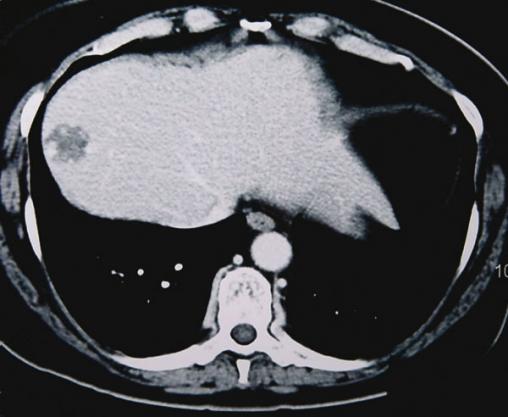
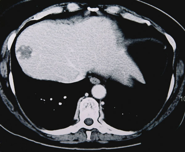
La Revue du Praticien - Jacques Belghiti Prise de contraste persistant à la phase tardive (motte périphérique).