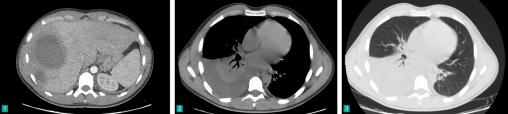
Erwan Le Dault, La Revue du Praticien Scanner thoraco-abdomino-pelvien Extrait de : Dossier progressif n°152