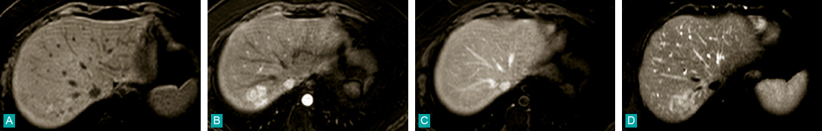
A. T1 sans iv. ; B. T1 art. ; C. T1 portal. ; D. T2 spir.