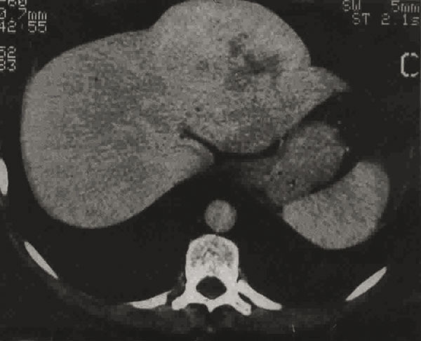
La Revue du Praticien - Jacques Belghiti Lésion hypervasculaire encapsulée, sans cicatrice centrale. L’hypodensité centrale est la conséquence d’un remaniement nécrotique. Cette tumeur est difficile à distinguer du carcinome fibrolamellaire.