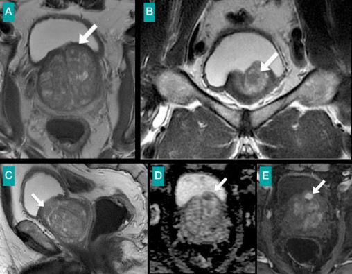
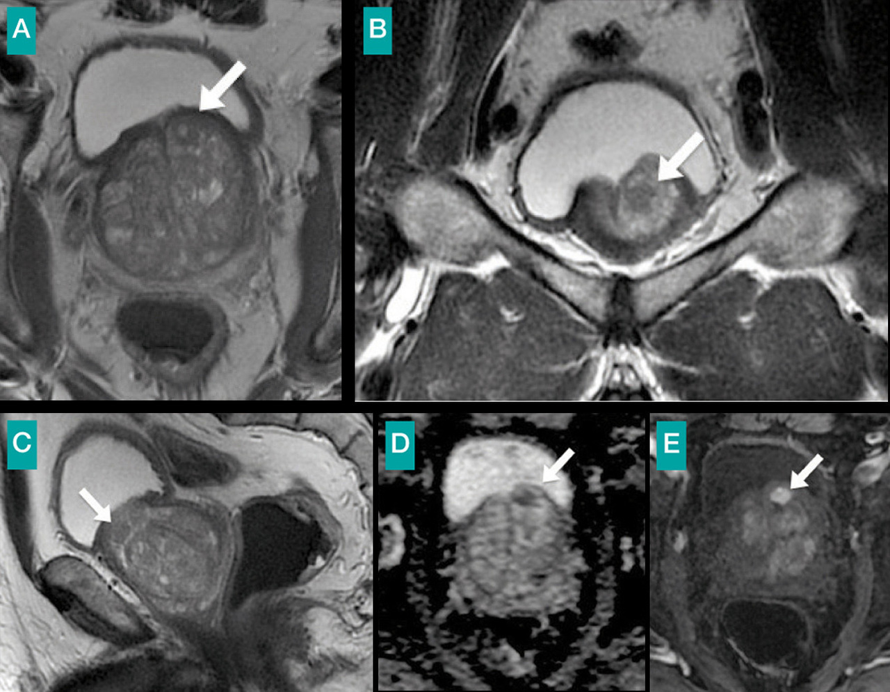
Patient de 63 ans ayant une élévation du PSA à 16 ng/mL.Le toucher rectal ne trouve qu'une grosse prostate souple. Deux séries de biopsies prostatiques sont négatives. Imagerie par résonance magnétique de détection pour ciblage de nouvelles biopsies. Les séquences pondérées en T2 en axial (A), coronal (B) et sagittal (C) mettent en évidence une hypertrophie prostatique et petite lésion en hyposignal au niveau de la prostate antéro-supérieure. (D) La cartographie ADC montre une restriction de la diffusion. (E) La séquence dynamique avec injection (30 s) montre un rehaussement intense et précoce de la lésion. La biopsie ciblée trouve un adénocarcinome de prostate de score de Gleason 7.
Lire aussi
Article Web
Article Web