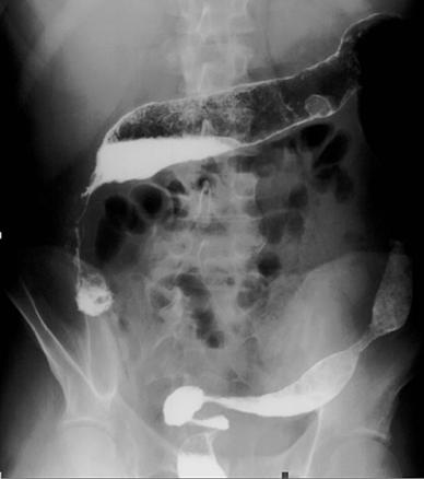
Sténose compliquant l'évolution d'une maladie de Crohn et correspondant à un adénocarcinome colique après analyse histologique de la pièce opératoire.