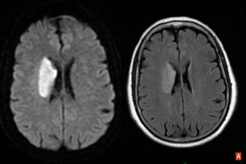
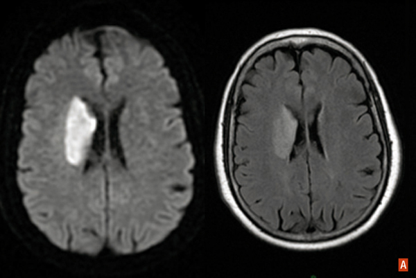
Infarctus sylvien profond droit : hypersignal, IRM en séquence de diffusion à gauche et FLAIR à droite.