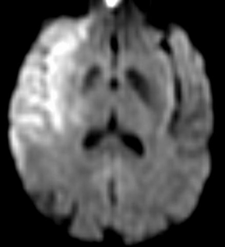
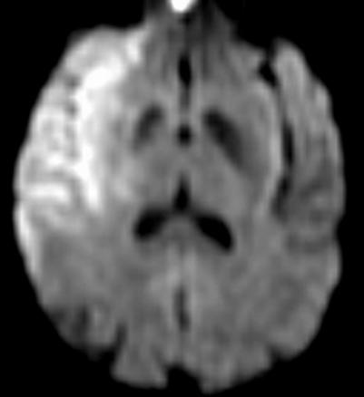
Confirmation de l'AIC sylain droit à H2. La séquence de diffusion en IRM permet la détection des mouvements des molécules d’eau intra à extracellulaire. Elle permet le diagnostic précoce des AVC ischémiques car il existe un « piégeage » de l’eau, lié à l’œdème cytotoxique (diminution du coefficient de diffusion) : se traduisant par un hypersignal (ici AIC sylvien droit à H2).
Lire aussi
Exercice
Article Web
Article Web