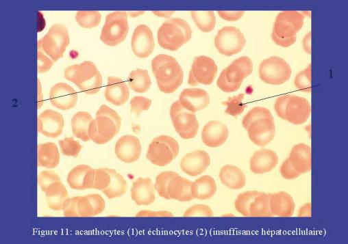
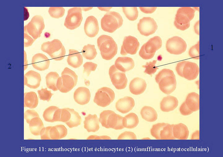
Les acanthocytes sont des globules rouges qui présentent cinq à dix spicules,irrégulièrement disposés et renflés à leur extrémité. Leur présence n’est pas artéfactuelle. Ils sont retrouvés dans de nombreuses circonstances pathologiques où prédominent les insuffisances hépatocellulaires sévères, les cirrhoses, surtout alcooliques. Plus rarement, leur présence révèle des maladies héréditaires : hypercholestérolémie familiale, a-bêta-lipoprotéinémie, phénotypes sanguins rares tels que le phénotype MacLeod, le phénotype Lutheran In. Ils peuvent se rencontrer après splénectomie.