Il faut distinguer deux types d’inégalité de longueur des membres inférieurs : les inégalités réelles qui sont métriquement existantes et généralement bien tolérées jusqu’à 10-15 mm, et dont l’origine est le plus souvent infrapelvienne (sur des inégalités de longueur au tibia ou au fémur) ou intrapelvienne et généralement le fait de l’usure secondaire à l’arthrose ; les inégalités fonctionnelles qui sont ressenties par le patient alors que les deux membres inférieurs sont de longueur égale, on les trouve notamment dans les cas d’obliquité du bassin, souvent secondaire à des causes rachidiennes. Les inégalités fonctionnelles sont également présentes en cas d’attitude vicieuse des membres, d’insuffisance musculaire ou de flexum de hanche ou du genou.
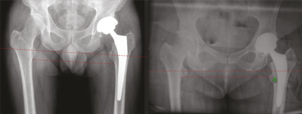
Le diagnostic d’inégalité vraie de longueur des membres inférieurs se fait généralement au moyen de clichés radiographiques. Idéalement, il s’agit de clichés corps entier, avec dorénavant des systèmes d’évaluation très précis tels que le dispositif EOS. Ce dispositif, permettant l’acquisition simultanée de deux clichés de face et de profil, chez un patient en position assise ou debout, limite la dose de rayons X absorbée par le patient et trouve tout particulièrement son indication en orthopédie, permettant notamment une reconstitution 3D des membres inférieurs ou de la colonne vertébrale. À défaut, une radiographie du bassin de face (v. figure ) permet une évaluation approximative en comparant des repères anatomiques fixes au niveau du bassin et sur chaque fémur. Cliniquement, cette évaluation doit idéalement s’effectuer sur un patient en décubitus dorsal, genoux étendus avec les pieds en rotation neutre, puis en mesurant la distance entre les épines iliaques antérosupérieures et les malléoles internes de chaque membre. Une évaluation est également possible sur un patient debout en plaçant une talonnette de taille adaptée sous le membre semblant plus court, après avoir éliminé une attitude vicieuse venant compenser l’inégalité de longueur.
Le diagnostic d’inégalité vraie de longueur des membres inférieurs se fait généralement au moyen de clichés radiographiques. Idéalement, il s’agit de clichés corps entier, avec dorénavant des systèmes d’évaluation très précis tels que le dispositif EOS. Ce dispositif, permettant l’acquisition simultanée de deux clichés de face et de profil, chez un patient en position assise ou debout, limite la dose de rayons X absorbée par le patient et trouve tout particulièrement son indication en orthopédie, permettant notamment une reconstitution 3D des membres inférieurs ou de la colonne vertébrale. À défaut, une radiographie du bassin de face (
Importance de la gestion de l’inégalité de longueur des membres inférieurs
L’incidence de l’inégalité de longueur des membres inférieurs postopératoire est estimée à 20 %1 et peut être à l’origine d’une plainte fonctionnelle malgré de bons résultats sur la douleur et la fonction, avec la survenue d’une boiterie ou d’une décompensation d’une pathologie rachidienne sus-jacente. Elle est également importante sur le plan médicolégal en représentant la deuxième cause de poursuite aux États-Unis2, avec un seuil médicolégal d’inégalité de 10 mm.
Cette complication peut avoir des conséquences potentiellement graves avec un risque de luxation dans les raccourcissements importants ou des lésions nerveuses par étirement dans les allongements trop excessifs.
Cette complication peut avoir des conséquences potentiellement graves avec un risque de luxation dans les raccourcissements importants ou des lésions nerveuses par étirement dans les allongements trop excessifs.
Lire aussi | Prothèse de la hanche : 10 messages clés
Gestion chirurgicale de l’inégalité de longueur des membres inférieurs
Une planification chirurgicale est systématiquement faite en préopératoire avec aujourd’hui la possibilité de recourir à des logiciels numériques de planification en 2 voire en 3 dimensions permettant une estimation très précise. L’évaluation d’une inégalité de longueur préopératoire est indispensable car la correction d’une fausse inégalité reviendrait à corriger la conséquence d’un autre trouble et risquerait de décompenser une autre pathologie.
Durant l’intervention, la gestion de la longueur est effectuée lors de la réalisation des temps osseux (la hauteur de coupe au col du fémur en particulier) qui sont dépendants de repères anatomiques prédéfinis lors de la planification et de l’expérience du chirurgien.
Durant l’intervention, la gestion de la longueur est effectuée lors de la réalisation des temps osseux (la hauteur de coupe au col du fémur en particulier) qui sont dépendants de repères anatomiques prédéfinis lors de la planification et de l’expérience du chirurgien.
Lire aussi | Surveillance à long terme d’une prothèse de hanche
Gestion postopératoire de l’inégalité de longueur des membres inférieurs
L’évaluation d’une inégalité de longueur des membres inférieurs postopératoire est souvent plus difficile qu’en préopératoire et elle peut passer inaperçue aux yeux du patient les premières semaines.3
Si la douleur postopératoire ou une atteinte du muscle moyen fessier avec boiterie transitoire peuvent expliquer une inégalité de longueur fonctionnelle, celle-ci est souvent secondaire à l’abduction du membre généralement notée en postopératoire, donnant au patient l’impression d’avoir un membre plus long. Cette inégalité régresse avec le temps en 3 mois environ.
La prescription d’une talonnette doit donc être évitée durant cette période pour ne pas donner au patient une fausse impression dans la perception de la longueur de ses membres à la marche. Il reste nécessaire de dire au patient que si cette inégalité de longueur devait être réelle, elle nécessiterait à distance la prescription d’une talonnette.
Dans certains cas d’inégalité réelle de longueur des membres inférieurs, la prescription d’une talonnette peut ne pas être suffisante, et une reprise chirurgicale peut être discutée. Si elle n’est pas recommandée pour des inégalités inférieures à 2 cm, au-delà, l’indication de reprise doit alors être faite par le spécialiste qui doit établir la cause de cette inégalité sur l’interprétation des clichés radiographiques. Un défaut d’appréciation préopératoire de la longueur des membres inférieurs ou de positionnement des implants doit alors être recherché. Cette indication chirurgicale doit être mise en balance avec la lourdeur de l’acte attendu, un changement complet des implants pouvant parfois être nécessaire.
Il est important de noter qu’un raccourcissement est généralement mieux toléré qu’un allongement. En effet, le membre atteint qui, du fait de l’usure, et fréquemment plus court initialement, se retrouve plus long, obligeant le patient à compenser au moyen d’une talonnette mise sur le côté initialement sain.
Si la douleur postopératoire ou une atteinte du muscle moyen fessier avec boiterie transitoire peuvent expliquer une inégalité de longueur fonctionnelle, celle-ci est souvent secondaire à l’abduction du membre généralement notée en postopératoire, donnant au patient l’impression d’avoir un membre plus long. Cette inégalité régresse avec le temps en 3 mois environ.
La prescription d’une talonnette doit donc être évitée durant cette période pour ne pas donner au patient une fausse impression dans la perception de la longueur de ses membres à la marche. Il reste nécessaire de dire au patient que si cette inégalité de longueur devait être réelle, elle nécessiterait à distance la prescription d’une talonnette.
Dans certains cas d’inégalité réelle de longueur des membres inférieurs, la prescription d’une talonnette peut ne pas être suffisante, et une reprise chirurgicale peut être discutée. Si elle n’est pas recommandée pour des inégalités inférieures à 2 cm, au-delà, l’indication de reprise doit alors être faite par le spécialiste qui doit établir la cause de cette inégalité sur l’interprétation des clichés radiographiques. Un défaut d’appréciation préopératoire de la longueur des membres inférieurs ou de positionnement des implants doit alors être recherché. Cette indication chirurgicale doit être mise en balance avec la lourdeur de l’acte attendu, un changement complet des implants pouvant parfois être nécessaire.
Il est important de noter qu’un raccourcissement est généralement mieux toléré qu’un allongement. En effet, le membre atteint qui, du fait de l’usure, et fréquemment plus court initialement, se retrouve plus long, obligeant le patient à compenser au moyen d’une talonnette mise sur le côté initialement sain.
Références
1. Desai AS, Dramis A, Board TN. Leg length discrepancy after total hip arthroplasty: a review of literature. Curr Rev Musculoskelet Med 2013;6:336-41.
2. Marmor S, Farman T. Causes de procédures médicolégales après prothèse totale de hanche. Rev Chir Orthop Traumatol 2011;97:752-7.
3. Konyves A, Bannister GC. The importance of leg length discrepancy after total hip arthroplasty. J Boen joint Surg Br 2005;87:155-7.
4. Kjellberg M, Al-Amiry B, Englund E, Sjödén GO, Sayed-Noor AS. Measurement of leg length discrepancy after total hip arthroplasty. The reliability of a plain radiographic method compared to CT-scanogram. Skeletal Radiol 2012;41:187-91.
2. Marmor S, Farman T. Causes de procédures médicolégales après prothèse totale de hanche. Rev Chir Orthop Traumatol 2011;97:752-7.
3. Konyves A, Bannister GC. The importance of leg length discrepancy after total hip arthroplasty. J Boen joint Surg Br 2005;87:155-7.
4. Kjellberg M, Al-Amiry B, Englund E, Sjödén GO, Sayed-Noor AS. Measurement of leg length discrepancy after total hip arthroplasty. The reliability of a plain radiographic method compared to CT-scanogram. Skeletal Radiol 2012;41:187-91.