Cet homme de 26 ans, sans antécédent pathologique notable, a consulté pour des douleurs scrotales gauches intermittentes évoluant depuis trois mois, irradiant vers les régions inguinale et lombaire gauches, sans signe inflammatoire. L’examen cytobactériologique des urines (ECBU) n’a identifié ni germe ni hématurie.
L’échographie scrotale a révélé des dilatations veineuses variqueuses gauches, de grade I sans signe de thrombose. Le volume testiculaire et le cordon spermatique étaient conservés.
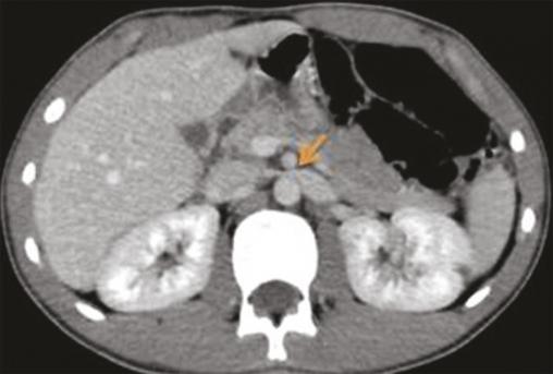
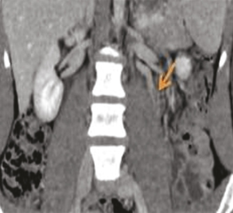
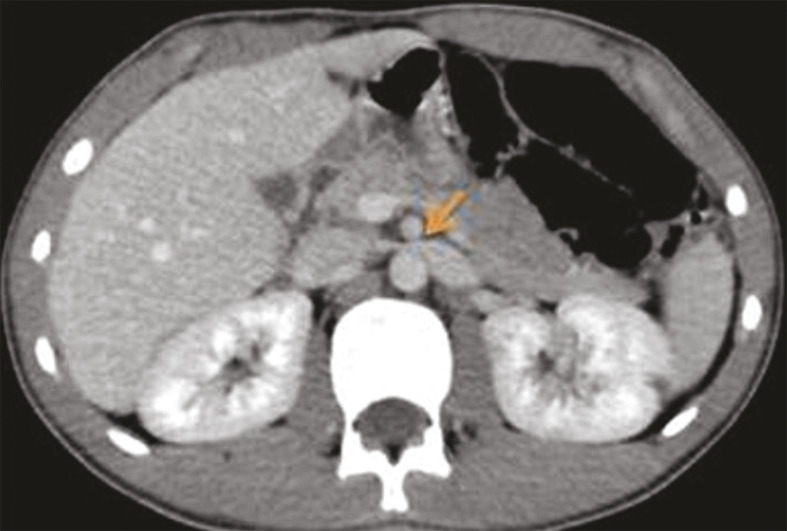
La tomodensitométrie (TDM) a montré une dilatation de la veine rénale de 9 mm, en amont de la pince aortomésentérique (fig. 1) et un matériel hypodense au niveau de la veine spermatique homolatérale, en rapport avec un thrombus (fig. 2).
Compte tenu du caractère intermittent et modéré des symptômes, l’indication d’une abstention thérapeutique a été posée après discussion multidisciplinaire.

Le syndrome nutcracker antérieur, entité rare mais probablement sous-estimée, désigne une compression de la veine rénale gauche lors de son passage entre l’aorte et l’artère mésentérique supérieure. Il se révèle dans la moitié des cas par des douleurs atypiques du flanc gauche. Chez l’homme, la stase pelvienne se manifeste par une varicocèle gauche et des douleurs testiculaires.1
Le diagnostic repose sur l’imagerie. En écho-Doppler, la compression de la veine rénale gauche peut accélérer le flux sanguin au niveau de l’angle aortomésentérique. Les modifications de diamètre de la veine varient selon le stade du syndrome nutcracker.
La tomodensitométrie (TDM) avec injection de produit de contraste objective cette compression de la veine rénale gauche dans la fourchette aortomésentérique, l’angulation entre l’aorte et l’artère mésentérique supérieure (supérieure à 41 °), la distension des veines gonadiques et la congestion pelvienne.2
La chirurgie (transposition de la veine rénale gauche et/ou de l’artère mésentérique su­périeure) est indiquée si les douleurs sont intenses et l’hématurie massive. Dans les cas asymptomatiques ou peu symptomatiques, l’abstention thérapeutique est de règle.

Références

1. Hartung O, Grisoli D, Boufi M, Marani I, Hakam Z, Barthelemy P, et al. Endovascular stenting in the treatment of pelvic vein congestion caused by nutcracker syndrome: lessons learned from the first five cases. J Vasc Surg 2005;42:275-80.
2. Kim KW, Cho JY, Kim SH, Yoon JH, Kim DS, Chung JW, et al. Diagnostic value of computed tomographic findings of nutcracker syndrome: correlation with renal venography and renocaval pressure gradients. Eur J Radiol 2011;80:648-54.

Une question, un commentaire ?