Théo, 23 ans, chef de chantier et joueur de football, consulte pour un traumatisme du poignet survenu lors d’un match.
Le carpe est douloureux, avec un épanchement franc intra-articulaire. Il est très algique à la mobilisation, principalement en flexion palmaire.
À l’examen : douleur à la pression du lunatum (ancien semi-lunaire) et limitation de la flexion palmaire et dorsale à 30°.
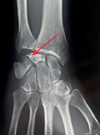
La radiographie montre une fragmentation partielle de cet os avec compactage osseux (fig. 1).
L’immobilisation de 3 semaines ne permet aucune amélioration clinique ni radiologique.
Une ostéotomie de raccourcissement radial est donc réalisée.
Dix semaines après, Théo reprend son travail sans aucune douleur, avec une limitation d’amplitude en flexion de 20°.
Le carpe est douloureux, avec un épanchement franc intra-articulaire. Il est très algique à la mobilisation, principalement en flexion palmaire.
À l’examen : douleur à la pression du lunatum (ancien semi-lunaire) et limitation de la flexion palmaire et dorsale à 30°.
La radiographie montre une fragmentation partielle de cet os avec compactage osseux (fig. 1).
L’immobilisation de 3 semaines ne permet aucune amélioration clinique ni radiologique.
Une ostéotomie de raccourcissement radial est donc réalisée.
Dix semaines après, Théo reprend son travail sans aucune douleur, avec une limitation d’amplitude en flexion de 20°.
Par Yves Abitteboul1, 2, Benjamin Leprat1, Nathalie Boussier1, Stéphane Oustric1
1. Département universitaire de médecine générale, faculté de médecine de Toulouse, 31400 Toulouse.
2 . Service de médecine de l’exercice et sport, centre hospitalier de Cahors, 46000 Cahors.
yves.abitteboul@dumg-toulouse.fr
1. Département universitaire de médecine générale, faculté de médecine de Toulouse, 31400 Toulouse.
2 . Service de médecine de l’exercice et sport, centre hospitalier de Cahors, 46000 Cahors.
discussion
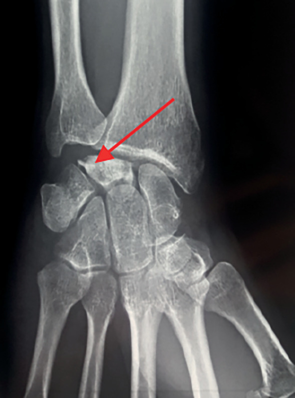
La maladie de Kienböck est une affection rare correspondant à une nécrose (dévitalisation) d’un des 8 os du carpe : le lunatum (fig. 2). On parle aussi de nécrose aseptique du semi-lunaire ou encore lunatomalacie. Cette pathologie atteint plus souvent les hommes (7/1) âgés de 20 à 40 ans.
Sa pathogénie exacte reste encore mal comprise. En dehors du cas de luxation, la nécrose progressive du semi-lunaire serait due à la conjonction de plusieurs facteurs : une précarité constitutionnelle ou acquise du réseau de vascularisation de l’os et des phénomènes d’hyperpression liés à des anomalies morphologiques (ulna plus court que le radius, pente radiale diminuée, forme du lunatum), pouvant être aggravés par une surcharge osseuse (induite, par exemple, par des microtraumatismes répétés ou un traumatisme unique). Ainsi, on parle de « lunatum à risque » chez certains patients, mais cette notion n’est pas consensuelle.
La symptomatologie, peu spécifique, peut faire évoquer une entorse du poignet (souvent sans notion de traumatisme aigu) : douleur chronique de la face dorsale du poignet, diminution des amplitudes articulaires (extension > flexion) et perte de force de serrage de la main.
L’examen montre un œdème localisé, voire un épanchement synovial en regard de la face dorsale du lunatum, des douleurs électives à la palpation de l’os et aux amplitudes extrêmes du poignet.
La radio standard en première intention confirme le diagnostic. Elle met en évidence diverses modifications du lunatum au fur et à mesure de l’évolution (sur plusieurs années ; tableau) et les anomalies morphologiques citées ci-dessus. L’IRM est indiquée en seconde intention, en cas de normalité de la radio (stade précoce) ou pour préciser les lésions (bilan préopératoire).
La décision thérapeutique est l’affaire du spécialiste. En premier recours, un traitement fonctionnel par immobilisation (attelle simple ou plâtre) peut être proposé. En cas d’échec, la chirurgie s’impose. Les techniques opératoires sont nombreuses, conservant ou non le lunatum. Le choix repose sur l’aspect radiologique de l’os, le stade évolutif et l’habitude du chirurgien. Aucune approche n’a aujourd’hui prouvé sa supériorité.
Les auteurs déclarent n’avoir aucun lien d’intérêts.
Sa pathogénie exacte reste encore mal comprise. En dehors du cas de luxation, la nécrose progressive du semi-lunaire serait due à la conjonction de plusieurs facteurs : une précarité constitutionnelle ou acquise du réseau de vascularisation de l’os et des phénomènes d’hyperpression liés à des anomalies morphologiques (ulna plus court que le radius, pente radiale diminuée, forme du lunatum), pouvant être aggravés par une surcharge osseuse (induite, par exemple, par des microtraumatismes répétés ou un traumatisme unique). Ainsi, on parle de « lunatum à risque » chez certains patients, mais cette notion n’est pas consensuelle.
La symptomatologie, peu spécifique, peut faire évoquer une entorse du poignet (souvent sans notion de traumatisme aigu) : douleur chronique de la face dorsale du poignet, diminution des amplitudes articulaires (extension > flexion) et perte de force de serrage de la main.
L’examen montre un œdème localisé, voire un épanchement synovial en regard de la face dorsale du lunatum, des douleurs électives à la palpation de l’os et aux amplitudes extrêmes du poignet.
La radio standard en première intention confirme le diagnostic. Elle met en évidence diverses modifications du lunatum au fur et à mesure de l’évolution (sur plusieurs années ; tableau) et les anomalies morphologiques citées ci-dessus. L’IRM est indiquée en seconde intention, en cas de normalité de la radio (stade précoce) ou pour préciser les lésions (bilan préopératoire).
La décision thérapeutique est l’affaire du spécialiste. En premier recours, un traitement fonctionnel par immobilisation (attelle simple ou plâtre) peut être proposé. En cas d’échec, la chirurgie s’impose. Les techniques opératoires sont nombreuses, conservant ou non le lunatum. Le choix repose sur l’aspect radiologique de l’os, le stade évolutif et l’habitude du chirurgien. Aucune approche n’a aujourd’hui prouvé sa supériorité.
Les auteurs déclarent n’avoir aucun lien d’intérêts.
pour en savoir plus
– Lutsky K, Beredjiklian PK. Kienböck Disease. J Hand Surg Am 2012;37: 1942-52.
– Fontaine C. La maladie de Kienböck. Chirurgie de la main 2015;34 :4-17.
– Fontaine C. La maladie de Kienböck. Chirurgie de la main 2015;34 :4-17.
Une question, un commentaire ?
Sur le même thème
Article