objectifs
Diagnostiquer une tumeur intracrânienne.
Identifier les situations d'urgence et planifier leur prise en charge.

Définition et épidémiologie

Au sein des tumeurs intracrâniennes, il convient de distinguer les tumeurs cérébrales primitives des métastases cérébrales. Les tumeurs cérébrales primitives regroupent des pathologies hétérogènes, caractérisées par des pronostics et des stratégies thérapeutiques très différentes. Les métastases cérébrales constituent souvent une complication tardive d’un cancer primitif. Ces tumeurs partagent cependant des caractéristiques communes. Les tumeurs cérébrales primitives représentent 1 % des cancers de l’adulte. Elles regroupent plus d’une centaine de sous-groupes histologiques. De façon simplifiée, leur répartition est présentée sur la fig. 1.
Les tumeurs cérébrales primitives les plus fréquentes sont représentées par les méningiomes, les tumeurs hypophysaires (qui ne seront pas développés dans cet article) et les tumeurs gliales ou gliomes. Les tumeurs gliales sont classées en grade de malignité croissante allant de 1 à 4. Les glioblastomes qui correspondent au grade 4 constituent la majorité des gliomes. Les métastases cérébrales compliquent l’évolution des cancers dans plus de 10 % des cas (20 % dans les séries autopsiques). Les cancers bronchopulmonaires et mammaires sont à eux seuls à l’origine de près de deux tiers des métastases cérébrales (fig. 2). Les métastases cérébrales sont relativement fréquentes dans les mélanomes qui semblent disposer d’une affinité toute particulière pour le système nerveux central. Si les métastases cérébrales peuvent être révélatrices d’un cancer et en particulier d’un cancer du poumon, dans la grande majorité des cas le cancer primitif est déjà connu et il existe déjà d’autres localisations métastatiques associées.

Diagnostiquer une tumeur cérébrale

Présentation clinique

Plusieurs manifestations cliniques inaugurales, bien que non spécifiques, peuvent faire évoquer le diagnostic :
  • une altération des fonctions cognitives et des troubles des comportements ;
  • une crise d’épilepsie focale partielle (60 %) ou généralisée d’emblée (40 %). Le risque est plus important pour les tumeurs de localisation corticale et d’évolution lente (tumeurs de bas grade de malignité) ;
  • une hypertension intracrânienne, conséquence soit de l’effet de masse exercé par la tumeur ou de l’œdème qui l’entoure sur les structures cérébrales adjacentes, soit d’une perturbation de la circulation normale du liquide céphalorachidien (LCR) entraînant une hydrocéphalie par obstruction ;
– un déficit focal (moteur, sensitif, langage, champ visuel) d’installation progressive ou plus rarement aiguë ou subaiguë d’allure « pseudo-vasculaire » (hémorragie intratumorale, embol métastatique…). Il dépend du siège de la tumeur.
Plus rarement le mode de révélation peut être :
  • une atteinte pluriradiculaire et/ou des nerfs crâniens traduisant une dissémination méningée de la tumeur cérébrale ;
  • une endocrinopathie par atteinte hypothalamo-hypophysaire ;
  • une découverte fortuite ou dans le bilan d’extension d’un cancer connu alors que le patient est asymptomatique.

Examens complémentaires


Imagerie cérébrale

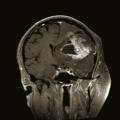
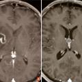
La suspicion d’une tumeur cérébrale doit conduire à une imagerie cérébrale. Le scanner cérébral sans et avec injection de produit de contraste est habituellement réservé en cas de contre-indication à l’imagerie par résonance magnétique (IRM) ou dans certaines situations d’urgence où une IRM ne peut être obtenue rapidement. L’IRM cérébrale représente actuellement l’examen de référence. Elle a plusieurs rôles : localiser le processus, préciser ses caractéristiques, diagnostiquer de possibles compli­cations (engagement, hémorragie, hydrocéphalie…), contribuer à définir la suite de la stratégie diagnostique et thérapeutique. Elle doit être réalisée optimalement dans les trois plans de l’espace et comporter une séquence T1 sans et avec gadolinium, une séquence T2 et/ou FLAIR. L’IRM multimodale (fig. 3) permet d’obtenir des informations complémentaires sur les caractéristiques de la lésion. Ainsi, la spectroscopie IRM permet d’évaluer le degré de prolifération cellulaire d’une lésion (rapport choline/N-acétyl-aspartate augmenté dans les tumeurs agressives). L’IRM de perfusion, en analysant le volume sanguin cérébral relatif au sein de la lésion identifiée, permet de quantifier la présence d’une éventuelle néoangiogenèse tumorale caractérisant les gliomes malins.

Étude du LCR

Une ponction lombaire peut être réalisée après une imagerie cérébrale permettant de vérifier l’absence de contre-indication (lésion volumineuse avec risque d’engagement, hydrocéphalie non communicante). L’étude du LCR à titre diagnostique n’est pas systématique et est habituellement préconisée pour éliminer des diagnostics différentiels (lésions inflammatoires ou infectieuses pseudo-tumorales). Elle peut être indiquée en cas de suspicion de méningite tumorale associée devant une symptomatologie évocatrice, ou quand la nature de la tumeur est à fort risque de dissémination leptoméningée (médulloblastome, épendymomes, germinomes, lymphomes…). L’examen cytologique peut être complété par un immunomarquage spécifique de certaines tumeurs (immunocytochimie), le dosage de marqueurs tumoraux spécifiques (par exemple bêta-hCG, alphafœtoprotéine, antigène carcino-embryonnaire (ACE) dans les tumeurs germinales), une recherche de clonalité de la population cellulaire en cas de méningite lymphocytaire suspecte d’être d’origine lymphomateuse (immunophénotypage, analyse du réarrangement des gènes des immunoglobulines par PCR).

Diagnostic différentiel

Après la réalisation de l’imagerie, certaines hypothèses diag­nostiques peuvent être discutées en fonction de la présentation radiologique, des éventuels facteurs de risque, du contexte clinique et évolutif, et faire l’objet d’investigations complémentaires spécifiques. Ainsi peuvent être évoqués :
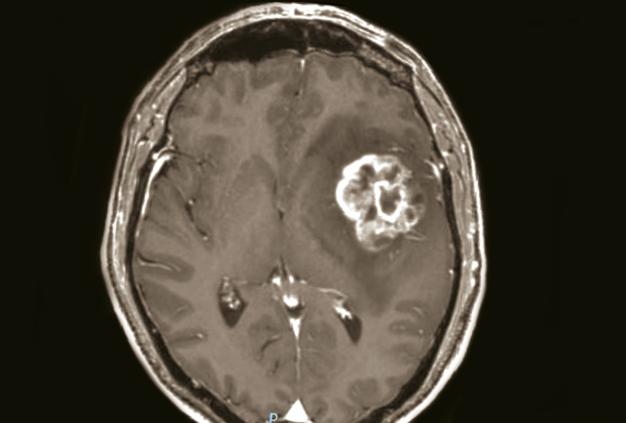
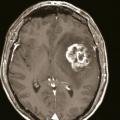
  • un abcès cérébral (fig. 4) en présence d’un syndrome fébrile, d’un foyer infectieux, en particulier quand la prise de contraste est annulaire, un tuberculome en cas de contage ou terrain à risque ;
  • une lésion parasitaire (cysticercose en région endémique, toxoplasmose en cas d’immunodépression) ;
  • une forme pseudo-tumorale d’une pathologie inflammatoire du système nerveux central (sclérose en plaques, sarcoïdose, maladie de Behçet…).

Diagnostic de certitude

Le diagnostic de certitude repose sur l’étude anatomopathologique de la tumeur obtenue généralement après biopsie ou exérèse de la lésion. Il est important d’informer l’anatomopathologiste des hypothèses diagnostiques des cliniciens, qui l’aideront à orienter son analyse microscopique et le choix d’éventuelles techniques complémentaires (immunohistochimie, fig. 5 ; biologie moléculaire).
Un geste chirurgical à visée diagnostique peut parfois être évité dans des circonstances bien particulières :
  • quand l’aspect radiologique est suffisamment caractéristique de certaines tumeurs bénignes en particulier les méningiomes, les adénomes hypophysaires ;
  • en cas de lésions cérébrales multiples évoquant des métastases cérébrales chez un patient souffrant d’un cancer connu, disséminé et en l’absence de tout syndrome infectieux ou autre contexte et antécédent susceptibles de faire évoquer un diagnostic différentiel ;
  • quand un diagnostic cytologique est obtenu par l’analyse du LCR (méningite carcinomateuse, lymphome) ou une biopsie du vitré (lymphome).
En dehors de ces cas particuliers, le choix d’une prise en charge thérapeutique « probabiliste » devant une tumeur inaccessible chirurgicalement ou lorsque le risque opératoire est trop important doit rester l’exception et être validé par une réunion de concertation pluridisciplinaire. Une fois le diagnostic établi avec certitude, la discussion doit porter sur la stratégie thérapeutique optimale à proposer.

Cas particulier d’une suspicion de métastase cérébrale


Avec cancer connu

Dans la majorité des cas, le cancer est connu et une confirmation histologique n’est pas nécessaire quand il existe un contexte de maladie évolutive et/ou disséminée associé à un aspect radio­logique évocateur. Il faudra cependant se méfier en présence d’un syndrome infectieux ou quand le cancer est considéré comme étant en rémission depuis plusieurs années, en particulier en cas de lésion unique.

Sans cancer connu

En cas de métastase cérébrale révélatrice (10 %-20 %), un bilan systémique doit être rapidement réalisé. Il doit comporter un examen clinique attentif (cutané, ganglionnaire, mammaire…), un scanner thoraco-abdomino-pelvien. La tomographie par émission de positons au fluorodésoxyglucose (TEP-FDG) est un outil intéressant, déjà utilisé en routine par de nombreuses équipes. L’indication d’une fibroscopie digestive et d’une mammographie systématique reste plus discutée en l’absence de signes d’appel. La découverte d’une lésion primitive suspecte doit amener à un contrôle histologique, ce qui peut permettre d’éviter la biopsie cérébrale. Celle-ci reste en revanche nécessaire si le bilan d’extension est négatif ou douteux. Malgré un bilan approfondi, la tumeur primitive demeure inconnue dans près de 20 % des cas.

Identifier les urgences et planifier leur prise en charge

Hypertension intracrânienne

L’hypertension intracrânienne (HIC) est la conséquence prévisible du développement d’un processus expansif dans l’espace clos et rigide intracrânien. Le retentissement clinique de l’hyper­tension intracrânienne dépend de la rapidité d’évolution du processus, de la localisation de la tumeur, de l’importance de l’œdème périlésionnel et d’éventuelles complications tumorales qui seront abordées spécifiquement (hydrocéphalie obstructive, hémorragie intratumorale, thrombophlébite cérébrale, méningite tumorale).

Diagnostic

Le diagnostic d’hypertension intracrânienne est clinique. Le signe clinique le plus fréquent est représenté par des céphalées. Leur séméiologie peut avoir un caractère assez variable : diffuses, en hémicrânie dans les tumeurs hémisphériques, ou de la région occipitale dans les tumeurs de la fosse postérieure. Parfois, elles peuvent revêtir un caractère pseudo-migraineux, et s’accompagner de vomissements classiquement « en jet ». La présence d’un œdème papillaire est inconstante, en particulier chez le sujet âgé. Il ne s’accompagne pas d’une baisse d’acuité visuelle, ce qui le différencie de celui accompagnant une papillite inflammatoire. Cependant, si la stase papillaire est importante et se prolonge, elle peut donner lieu à des épisodes d’éclipse visuelle pouvant précéder une cécité liée à une atrophie optique. On peut observer aussi une paralysie du VI se manifestant par une diplopie mais qui n’a pas de valeur localisatrice de la lésion. L’hypertension intracrânienne peut être révélatrice de la tumeur ou survenir dans l’évolution d’une tumeur cérébrale déjà connue. L’imagerie (scanner ou IRM cérébrale) permet d’en déterminer la ou les causes (développement tumoral, œdème péritumoral ou autres complications suscitées) et d’en évaluer l’importance par l’effet de masse exercé sur les structures anatomiques du cerveau et d’anticiper les conséquences menaçantes (fig. 6).

Traitement

Traitement non spécifique
Le patient doit être allongé, la tête légèrement relevée à 30° en évitant toute compression du cou. Il faut s’assurer d’une bonne ventilation pour limiter l’hypercapnie, maintenir une euvolémie et éviter les liquides hypotoniques. Il faut également traiter toute éventuelle hyperthermie ou crise d’épilepsie. En cas de vomissements, si le patient est somnolent ou hypovigilant, il faut le mettre en position latérale de sécurité.
Traitement anti-œdémateux
L’œdème tumoral est de nature vasogénique. Il est lié à une rupture de la barrière hémato-encéphalique induite par des facteurs secrétés directement par la tumeur (comme le vascular endothelial growth factor ou VEGF) et à la néoangiogenèse induite. Il peut aussi être secondaire à l’effet direct de la radiothérapie qui peut entraîner transitoirement une augmentation de perméabilité des vaisseaux cérébraux. Les corticoïdes permettent de rétablir la barrière hématocérébrale et agissent rapidement. La décision de prescrire des corticoïdes et les doses à utiliser doivent se fonder prioritairement sur la sympto­matologie clinique du patient, l’imagerie n’étant effectivement pas toujours bien corrélée aux symptômes. Comme principe général, il faudra utiliser la dose minimale efficace et pour la durée la plus brève possible afin de limiter le risque de complications liées à la corticothérapie au long cours. Par exemple, en cas de symptômes modérés, du méthylprednisolone peut être prescrit per os à une dose de 0,5 mg/kg/j à adapter selon la réponse clinique. La prescription de corticoïdes au long cours devra s’accompagner d’une médication adjuvante préventive des effets secondaires du traitement (potassium, protecteurs gastriques par inhibiteurs de la pompe à protons, biphos­phonates et supplémentation en calcium et vitamine D pour prévenir l’ostéoporose) et d’un régime sans sel. En cas d’aggravation clinique importante et menaçante, on peut administrer le traitement en bolus intraveineux avec des doses variables de méthylpred­nisone allant de 1,5 à 15 mg /kg. Le traitement en bolus se pratique pour une courte durée (quelques jours) avec une réévaluation clinique attentive pour établir le bénéfice et le relais par une corticothérapie per os. Parmi les alternatives moins utilisées, on peut considérer le mannitol agissant comme un agent hyperosmolaire.
Traitement de la tumeur
L’exérèse de la tumeur quand elle est possible a une action décompressive immédiate et est souvent précédée d’une corticothérapie préopératoire. Un traitement médical par radiothérapie et/ou chimiothérapie est à envisager d’emblée quand la tumeur n’est pas opérable ou s’il s’agit d’une tumeur très sensible, radiosensible ou chimiosensible (par exemple les lymphomes cérébraux, les germinomes). La stratégie thérapeutique sera discutée en fonction de la tumeur en question et du contexte clinique du patient. En cas d’hydrocéphalie liée à l’obstruction des voies d’écoulement du LCR (troisième ventricule, aqueduc de Sylvius, quatrième ventricule) par la tumeur, une dérivation ventriculaire en urgence peut être discutée avant d’envisager une exérèse chirurgicale de la tumeur dans un second temps.

État de mal épileptique

L’état de mal épileptique (EME) est défini de façon opérationnelle par une crise généralisée dont les manifestations motrices se prolongent au-delà de cinq minutes ou par des crises ( 2) qui se répètent à des intervalles brefs sans reprise de conscience intercritique (non-réponse à des ordres simples). Il est à noter qu’un état de mal épileptique tonicoclinique peut être généralisé d’emblée (EME TCG) ou survenir secondairement, précédé par des crises partielles diverses, notamment focales motrices.

Diagnostic

L’EME TCG est un diagnostic habituellement facile à poser cliniquement. Le diagnostic d’état de mal épileptique non convulsivant se traduisant par exemple par un syndrome confusionnel, des hallucinations, un déficit focal prolongé et fluctuant (aphasie) peut être en revanche moins aisé, et en l’absence de cause évidente au vu de l’évolution tumorale, un électroencéphalogramme (EEG) est indiqué. En cas de suspicion clinique forte, il est aussi possible de faire un test diagnostique par injection d’une benzodiazépine sous enregistrement EEG à la recherche d’une amélioration. Comme instrument diagnostique, l’EEG est essentiel pour poser le diagnostic dans les situations moins évidentes : patient en coma, patient curarisé. Il sert aussi pour guider le traitement. Il est toutefois important de ne pas retarder la prise en charge thérapeutique si un EEG n’est pas immédiatement disponible. Même si le patient est connu pour être porteur d’une tumeur cérébrale, il faudra chercher les facteurs favorisants associés généraux (fièvre, modification du traitement antiépileptique, trouble métabolique…) ou une complication liée à l’évolution tumorale. Il faut pratiquer en urgence un bilan biologique adapté au contexte clinique (à la recherche d’une cause métabolique, ionique, infectieuse, toxique associée) et une imagerie cérébrale (à la recherche d’un hématome intratumoral, d’une thrombophlébite cérébrale, d’une dissémination méningée, d’une augmentation de l’œdème et de l’effet de masse). Une ponction lombaire doit être discutée si le bilan étiologique de l’état de mal épileptique reste négatif après avoir réalisé une imagerie cérébrale, en particulier si le patient est immunodéprimé, s’il est fébrile sans autre point d’appel évident afin d’écarter une méningoencéphalite infectieuse ou une dissémination méningée de la tumeur.

Traitement

Le traitement de l’état de mal tumoral ne se distingue pas de celui d’autres contextes cliniques.
Mesures générales non spécifiques et traitement des facteurs favorisants
Les mesures immédiates comportent la mise en position latérale de sécurité, le maintien de la liberté des voies aériennes supérieures, une oxygénation avec un objectif d’une saturation maintenue à plus de 95 % ; la mise en place d’une voie veineuse périphérique avec perfusion de sérum physiologique ou de sérum glucosé en cas d’hypoglycémie ; la correction d’un trouble hydroélectrique, l’introduction d’un traitement antibiotique en cas d’infection.
Traitement antiépileptique
La stratégie thérapeutique d’urgence est guidée par les principes suivants :
  • les crises convulsives doivent être contrôlées le plus rapidement possible dans les 30 premières minutes ;
  • les médicaments doivent être administrés par voie veineuse et à doses suffisantes après un contrôle de la glycémie et une perfusion intraveineuse de sérum glucosé précédés de vitamine B1 au moindre doute de carence ;
  • le traitement de première intention comprend l’injection combinée d’une benzodiazépine et de fosphénytoïne.
Les dernières recommandations de la Société de réanimation de langue française (SRLF) proposent d’utiliser des benzodiazépines comme traitement de première intention, clonazépam par voie intraveineuse directe 0,015 mg par kg (soit 1 mg pour 70 kg ; maximum 1,5 mg) ou en l’absence de voie d’abord veineuse du midazolam par voie intramusculaire 0,15 mg par kg (soit 10 mg pour 70 kg). La dose de benzodiazépine peut être répétée une fois. Si au-delà de 5 minutes après la 2e injection, l’EME TCG persiste, une combinaison avec une benzodiazépine et un autre antiépileptique (fosphénytoïne, phénobarbital, valproate de sodium, lévétiracétam) est recommandé en 2e ligne de traitement. Le choix sera discuté notamment en fonction du terrain et des traitements antérieurs. Toute la dose prescrite des antiépileptiques doit être administrée, même si les convulsions s’arrêtent pendant l’injection. Si les convulsions persistent 30 minutes après le début du traitement de 2e ligne bien conduit (posologies optimales et délais d’action), on est en présence d’un état de mal épileptique réfractaire qui nécessite une 3e ligne de traitement avec intubation et anesthésie générale. Dans l’état de mal épileptique non convulsivant, en l’absence d’études contrôlées, l’attitude thérapeutique se fait au cas par cas et tient compte du contexte clinique du patient, de la gravité de l’état de mal, et des comorbidités du patient.

Autres complications


Méningite tumorale

Diagnostic
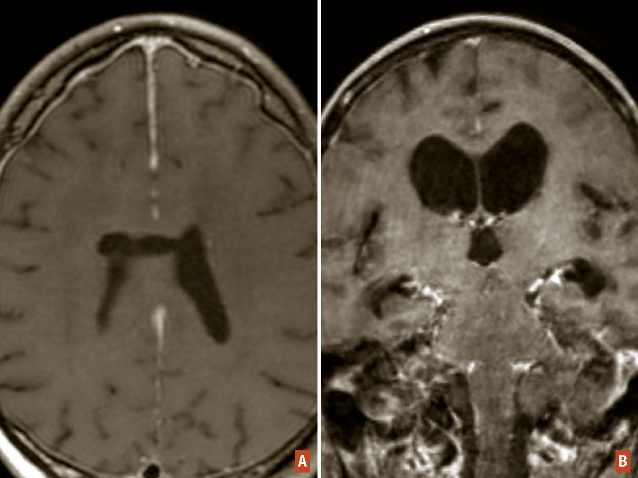
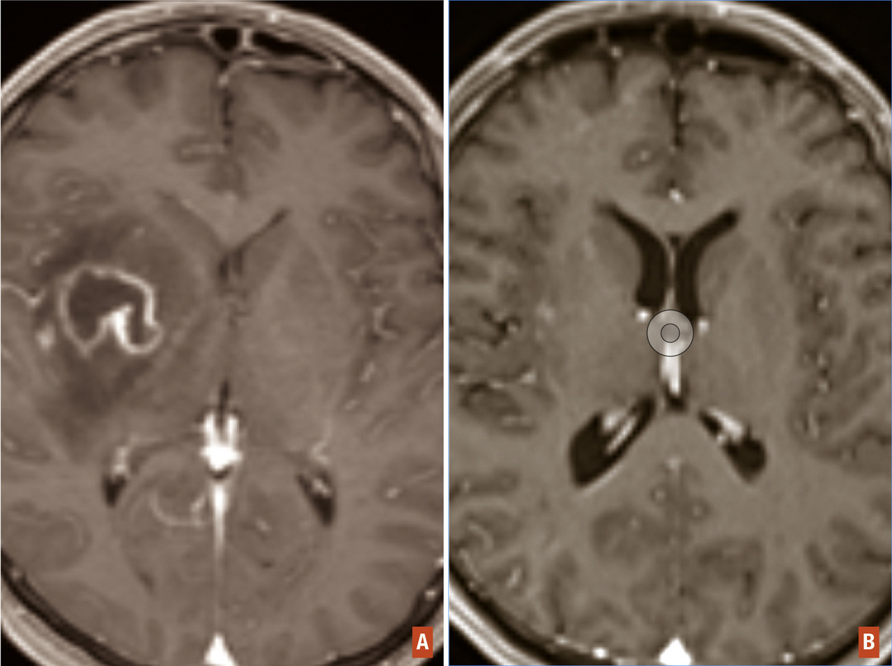
La dissémination métastatique d’un cancer systémique ou d’une tumeur cérébrale primitive aux méninges peut se mani­fester de façon aiguë sous la forme d’un syndrome méningé (céphalées, vomissement, raideur de nuque), d’une hypertension intracrânienne ou d’un syndrome confusionnel, mais plus souvent elle se manifeste de façon plus insidieuse, par l’installation subaiguë de troubles cognitifs, de troubles de l’équilibre, de douleurs radiculaires (névralgies cervicobrachiales, lombosciatiques), d’un syndrome de la queue de cheval, d’une atteinte multiple de nerfs crâniens. L’IRM cérébrale sans et avec injection de gadolinium peut montrer un envahissement des espaces leptoméningés prenant le contraste de façon diffuse ou localisée ainsi qu’une dilatation des ventricules témoignant d’une gêne à la résorption du LCR (hydrocéphalie communicante (fig. 7). L’IRM médullaire peut aussi révéler des lésions étagées au niveau des méninges prenant le contraste volontiers associées à des lésions nodulaires des racines lombosacrées (« métastases en goutte » ou « drop metastase »). La ponction lombaire quand elle est possible confirmera le diagnostic par la présence en anatomopathologie de cellules tumorales. Il existe classiquement une hyperprotéinorachie et une hypoglycorachie. Cependant, la ponction lombaire peut être négative et il faudra répéter l’examen avec une quantité de liquide suffisante pour optimiser la chance de trouver des cellules tumorales.
Traitement
Le traitement des douleurs peut nécessiter la prescription d’antalgiques morphiniques. Des ponctions lombaires évacuatrices peuvent améliorer les symptômes d’hypertension intracrânienne en cas d’hydrocéphalie communicante. Le traitement spécifique repose sur une chimiothérapie intrathécale (par voie lombaire ou par voie intraventriculaire par un réservoir d’Ommaya), une chimiothérapie générale avec des agents connus pour passer la barrière hématoméningée, une radiothérapie crâniospinale ou centrée sur des régions symptomatiques.

Hémorragie intratumorale

Diagnostic
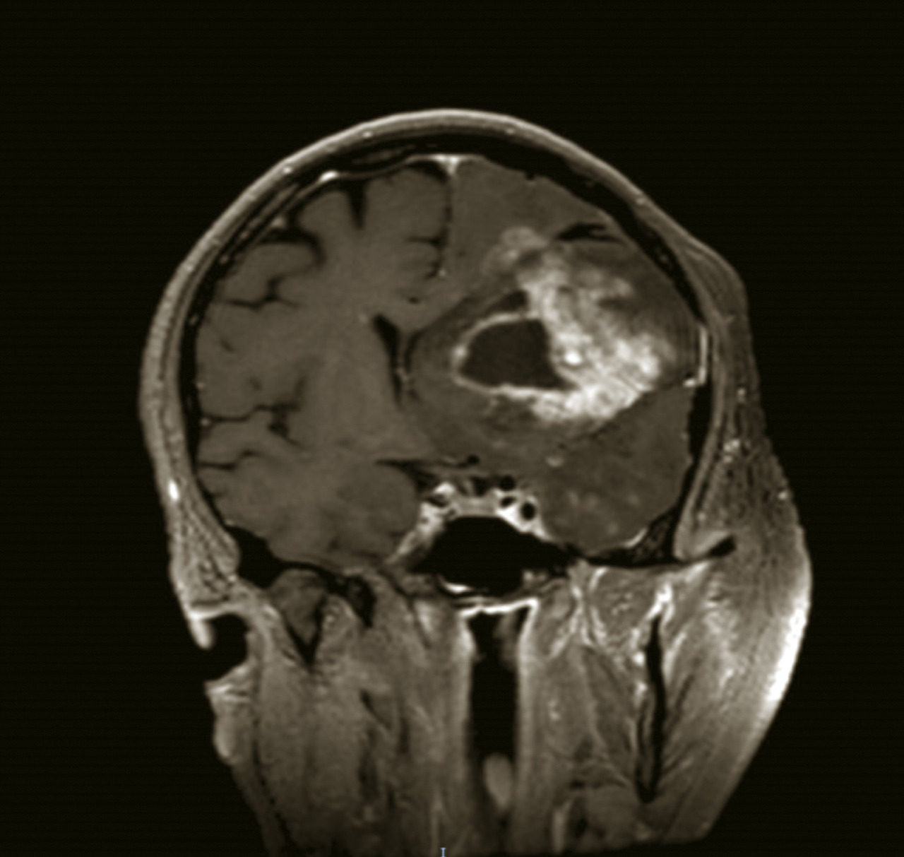
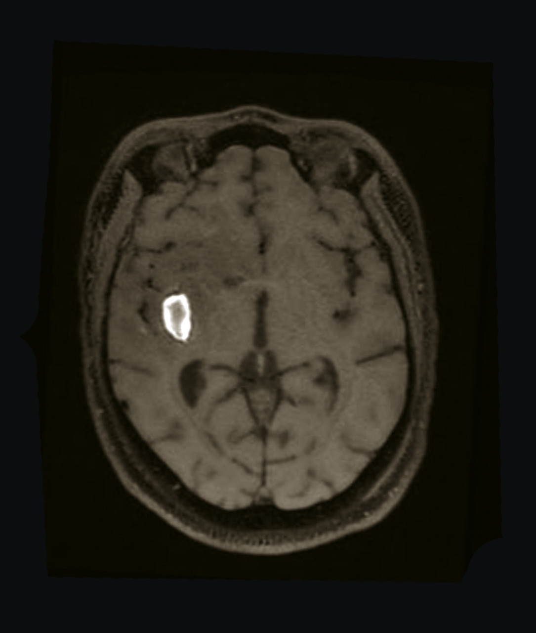
Une tumeur cérébrale peut se compliquer d’une hémorragie, favorisée par des facteurs intrinsèques à la tumeur (la néoangiogenèse tumorale dans les gliomes malins ; certaines métastases cérébrales sont plus volontiers hémorragiques, en particulier celles des mélanomes), ainsi que des facteurs systémiques (troubles de la coagulation induits par la tumeur, thrombopénie, anticoagulation à visée curative pour une phlébite ou une embolie pulmonaire, thérapies anti-angiogéniques). L’hémorragie intratumorale peut se manifester par une hypertension intracrânienne, un déficit focal d’installation aiguë ou la majoration d’un déficit déjà connu, une crise d’épilepsie. Elle peut être aussi asymptomatique et diagnostiquée à l’imagerie. Elle apparaît au scanner non injecté sous la forme d’une hyperdensité spontanée et à l’IRM non injectée par un hypersignal en T1 (fig. 8) et en hyposignal en T2* au sein de la tumeur.
Traitement
La prise en charge est similaire à celle d’un hématome non traumatique. Selon l’importance de l’hémorragie, son retentissement clinique et son évolutivité, une intervention chirurgicale ou une simple surveillance est requise surtout si le patient est asymptomatique et que la découverte est purement radiologique. Le recours à la neurochirurgie (chirurgie décompressive) dans ce contexte est rare, en dehors d’une hydrocéphalie symptomatique nécessitant un drainage. Il faut corriger les facteurs favorisants éventuellement associés. En cas de thrombopénie, une transfusion plaquettaire pour obtenir un taux de 70 000 plaquettes/mL est recommandée ; les autres facteurs potentiels aggravants à corriger sont l’hyperthermie, l’hyperglycémie, les troubles de coagulation éventuels, ainsi que le contrôle de la pression artérielle en évitant au début les valeurs trop basses (objectif 150/90 mmHg). En tout cas, une hémorragie intratumorale ne contre-indique pas une prévention thromboembolique (bas à contention élastique, héparine de bas poids moléculaire à dose préventive).

Syndrome confusionnel

Il peut s’intégrer dans l’évolution clinique d’une tumeur évolutive ou une de ses complications (voir plus haut : état de mal épileptique partiel, méningite tumorale…) mais aussi être secondaire à une cause systémique. Après avoir écarté une cause liée directement à la tumeur (IRM cérébrale, EEG, ponction lombaire, IRM médullaire), il faudra ainsi s’attacher à rechercher une étiologie générale, en particulier chez les patients les plus fragiles et ayant déjà des troubles cognitifs, par exemple une origine infectieuse, une cause métabolique (déshydratation), une hypoxémie (embolie pulmonaire, pneumocystose en cas d’immunodépression chimio-­induite…), une cause iatrogénique (chimiothérapie, radiothérapie, antiépileptiques, psychotropes, antalgiques, hypnotiques, antihistaminiques…).

Urgences générales en neuro-oncologie


Thromboembolisme veineux

Les patients porteurs d’une tumeur cérébrale gliale ont un risque accru de développer des phlébites éventuellement compliquées d’embolies pulmonaires, cela indépendamment du handicap moteur. Jusqu’à 20 % des patients avec un gliome de haut grade vont développer un accident thromboembolique veineux au cours de la maladie et cela dès la période périopératoire lié à la production par la tumeur de substances procoagulantes. Ils peuvent de surcroît être favorisés par certains traitements comme les thérapies anti-angiogéniques (bévacizumab). La présence d’une tumeur cérébrale ne contre-indique pas l’anticoagulation à dose efficace qui devra se poursuivre pour une durée de 6 mois. Le filtre pour la veine cave inférieure reste une alternative pour les patients ayant une contre-indication à l’anticoagulation. Le risque de récidive est important.
Une thrombophlébite cérébrale intéressant une ou plusieurs veines cérébrales est beaucoup plus rare. Elle concerne habituellement les sinus duraux intracrâniens, plus rarement le réseau veineux profond. Elle peut se révéler par un tableau d’hypertension intracrânienne isolé (thrombose du sinus latéral ou du sinus longitudinal supérieur) ou se résumer à des céphalées persistantes, une crise d’épilepsie, des troubles de la vigilance (thrombophlébite profonde) ou être de découverte purement radiologique. Le diagnostic est confirmé optimalement par une angio-IRM qui visualise le thrombus et les conséquences sur le parenchyme cérébral (infarctus veineux souvent œdémateux et hémorragique).
En contexte neuro-oncologique, la thrombophlébite cérébrale est toujours favorisée par la présence d’un méningiome en regard d’un sinus et les traitements anti-angiogéniques comme le bévacizumab. Le traitement comprend anticoagulation par héparine à posologie efficace et traitement par antiépileptique (AED).

Effets indésirables du traitement oncologique


Effets indésirables des chimiothérapies

Certaines chimiothérapies sont susceptibles d’entraîner des complications neurologiques très diverses dont certaines, en raison de leur caractère aigu et invalidant, constituent des urgences et doivent conduire à une suspension voire un arrêt définitif du traitement et une prise en charge spécifique. Parmi les chimiothérapies utilisées en neuro-oncologie susceptibles d’entraîner des encéphalopathies aiguës, on peut citer le méthotrexate administré à haute dose par voie intraveineuse ou les injections par voie intrathécale, ainsi que l’ifosfamide. Il faut aussi signaler que certaines chimiothérapies figurent parmi les causes du rare syndrome d’encéphalopathie postérieure réversible (« PRES syndrome ») qui est une entité clinicoradiologique se manifestant par des céphalées, une hypertension intracrânienne, des troubles du champ visuel, des crises comitiales. Surtout l’IRM cérébrale est évocatrice quand elle montre des lésions diffuses corticales et sous-­corticales possiblement symétriques pouvant prédominer dans les régions postérieures et correspondant en IRM de diffusion à un œdème vasogénique, et imposant l’arrêt du traitement.

Effets indésirables de la radiothérapie

Elle peut entraîner des effets secondaires précoces, comme l’œdème radique par rupture transitoire de la barrière hématocérébrale majorant l’hypertension intracrânienne et qui peut être prévenu par une corticothérapie durant la radiothérapie ou être traité par l’introduction ou majoration des corticoïdes. La radiothérapie peut aussi entraîner des effets secondaires retardés, plusieurs mois voire plusieurs années après la fin de la radio­thérapie, telle la radionécrose qui se présente et se développe comme un processus expansif mimant une récidive ou une progression tumorale. L’IRM de perfusion et la spectroscopie ainsi que la tomographie par émission de positons (TEP-scan) peuvent aider au diagnostic différentiel. Le traitement repose sur les corticoïdes. Cependant, ils peuvent se révéler inefficaces ou le patient devenir corticodépendant, et il faut parfois requérir une résection chirurgicale ou la prescription d’anti-angiogéniques.
On peut aussi citer, dans les complications tardives, le rare syndrome SMART (stroke like migraine attack after radiation therapy) qui peut se présenter avec des céphalées, des crises d’épilepsie, une hémianopsie latérale homonyme, un déficit focal régressif après plusieurs heures mais parfois après quelques semaines. L’IRM retrouve un rehaussement cortical gyral diffus après injection qui est transitoire et cette complication doit être distinguée d’un accident vasculaire ou d’un « PRES syndrome ». Le traitement comprend une corticothérapie, un traitement anti­agrégant plaquettaire, un traitement antiépileptique, et un bêtabloquant ou du vérapamil.

Effets indésirables des nouvelles thérapies

Les immunothérapies et les biothérapies ciblées occupent une place croissante en cancérologie. Les immunothérapies les plus utilisées sont actuellement les inhibiteurs de point de contrôle immunitaires, en particulier les anti-PD 1 comme le nivolumab et le pembrolizumab. Ils peuvent entraîner des complications neuro­logiques auto-immunes très variées touchant tout le système nerveux, allant du syndrome de Guillain-Barré à des tableaux d’encéphalites aiguës ou subaiguës. Heureusement, ces compli­cations restent peu fréquentes et dans la majorité des cas régressent habituellement avec l’arrêt du traitement et l’introduction des corticoïdes. La thérapie ciblée la plus fréquemment utilisée en neuro-oncologie est actuellement le bévacizumab (anticorps monoclonal anti-VEGF) ayant une action anti-angiogénique et prescrit dans les gliomes malins. Le traitement peut se compliquer d’un saignement intratumoral dans moins de 5 % des cas et plus rarement être responsable d’un PRES syndrome ou d’une thrombophlébite cérébrale.
Points forts
Tumeurs intracrâniennes

POINTS FORTS À RETENIR

L’IRM cérébrale est l’examen diagnostique de choix.

Le diagnostic de certitude repose sur une confirmation histologique par une biopsie ou une exérèse de la lésion.

Dans certaines circonstances, une confirmation histologique n’est pas requise (un méningiome d’aspect typique, des métastases cérébrales typiques dans un contexte de cancer primitif connu disséminé).

Les tumeurs cérébrales peuvent présenter de nombreuses complications neurologiques urgentes qu’il faut savoir rechercher en cas d’aggravation clinique (un engagement cérébral, une hydrocéphalie obstructive, une hémorragie intratumorale, une méningite tumorale, un état de mal épileptique partiel, une complication des traitements comme une radionécrose).

Message auteur

Tumeurs intracrâniennes

Il s’agit d’une thématique qui se prête volontiers à un dossier clinique transversal. Il faut connaître la présentation clinique et radiologique des principales tumeurs cérébrales (gliome, méningiome, métastase cérébrale) pour évoquer le diagnostic. Il faut bien comprendre la démarche diagnostique devant un processus expansif intracérébral et les principaux diagnostics différentiels avant de porter le diagnostic de tumeur cérébrale qui passe en théorie par une confirmation histologique en dehors de certaines circonstances particulières évoquées dans l’article. Il faut savoir ce que l’on peut attendre des examens complémentaires, de leur contribution (spécificité) et de leurs limites. Il faut aussi connaître l’histoire naturelle d’une tumeur cérébrale et les complications neurologiques qui peuvent entacher l’évolution de la maladie. Savoir les diagnostiquer et connaître les principes du traitement, en particulier l’hypertension intracrânienne, l’épilepsie ou l’état de mal épileptique, les méningites tumorales.

Kleihues P, Rushing E. The 2016 revision of the WHO classification of tumours of the central nervous system. In Oxford Textbook of Neuro-Oncology, 1st ed., 2‑13. Oxford University Press: Batchelor T et al., 2017. 10.1093/med/9780199651870.001.0001.
DeAngelis LM, Posner JB. Neurologic complications of cancer. 2nd ed, Oxford University Press, 2008.
Mohile N. Medical complications of brain tumors. In Continuum: Lifelong Learning in Neurology-Neuro-Oncology, 2nd ed., 2017;23‑6:1635‑52.
Phillips K. Neurologic and medical management of brain tumors . In Neuro-Oncology, an issue of Neuro-logic Clinics, 1st ed., 2018;36‑3:449‑66. Neurologic Clinics - Elsevier. Eudocia Quant Lee.
Société de réanimation de langue française et Société française de médecine d’urgence. Prise en charge des états de mal épileptiques en préhospitalier, en structure d’urgence et en réanimation dans les 48 premières heures - RFE États de mal épileptiques 2018. Recommandations formalisées d’experts. SRLF/SFMU/GFRUP 1, 2018.

Dans cet article

Ce contenu est exclusivement réservé aux abonnés