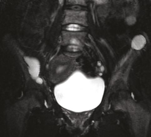
Cette femme de 31 ans sans antécédents était adressée pour des douleurs pelviennes, un syndrome polyuro-polydipsique et une altération de l’état général. Le bilan biologique montrait une hypercalcémie, une hypophosphorémie, une hypovitaminose D et une hyperparathormonémie. La tomodensitométrie (TDM) [fig. 1 ] et l’imagerie par résonance magnétique (IRM) [fig. 2 ] du pelvis révélaient un aspect ostéolytique diffus avec des nodules tumoraux des ailes iliaques. La scintigraphie et l’examen histologique de trois volumineuses glandes parathyroïdes permettait de retenir le diagnostic d’hyperplasie parathyroïdienne primaire. La biopsie osseuse confirmait le diagnostic de tumeurs brunes osseuses associées à l’hyperparathyroïdie. L’évolution était favorable sous traitement symptomatique et antalgique.
Les tumeurs brunes sont des lésions osseuses bénignes secondaires à une hyperparathyroïdie. Elles peuvent affecter tout le squelette.1
Ces tumeurs sont devenues rares du fait d’un diagnostic plus précoce de l’hyperparathyroïdie. Leur aspect radiologique est celui d’une ostéolyse non spécifique.2 Les principaux diagnostics différentiels sont les métastases osseuses et les lésions myélomateuses.
La symptomatologie est variable, allant des formes asymptomatiques aux douleurs osseuses, voire aux fractures pathologiques.
Le traitement est avant tout étiologique et consiste en première intention en une parathyroïdectomie.
Ces tumeurs sont devenues rares du fait d’un diagnostic plus précoce de l’hyperparathyroïdie. Leur aspect radiologique est celui d’une ostéolyse non spécifique.2 Les principaux diagnostics différentiels sont les métastases osseuses et les lésions myélomateuses.
La symptomatologie est variable, allant des formes asymptomatiques aux douleurs osseuses, voire aux fractures pathologiques.
Le traitement est avant tout étiologique et consiste en première intention en une parathyroïdectomie.
Références
1. Hu J, He S, Yang J, Ye C, Yang X, Xiao J. Management of brown tumor of spine with primary hyperparathyroidism: a case report and literature review. Medicine (Baltimore) 2019;98:e15007.
2. Sekkach Y, Baizri H, Mounach J, et al. À propos d’une hyperparathyroïdie maligne historique à localisations métastatiques inhabituelles. Ann Endocrinol 2009;70:64‑70.
2. Sekkach Y, Baizri H, Mounach J, et al. À propos d’une hyperparathyroïdie maligne historique à localisations métastatiques inhabituelles. Ann Endocrinol 2009;70:64‑70.
Une question, un commentaire ?
Sur le même thème
Exercice