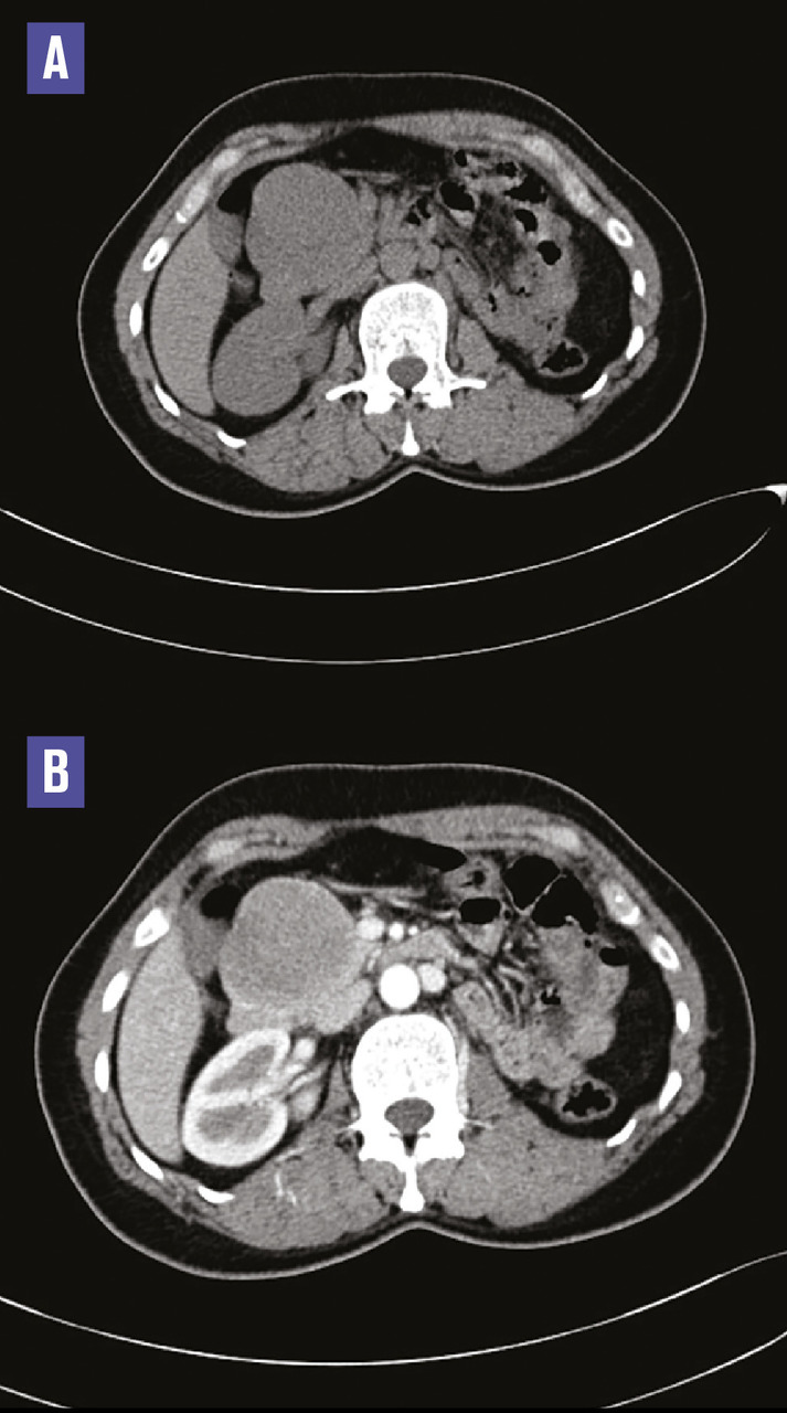
Cette femme de 38 ans était admise aux urgences pour des épigastralgies sans antécédent pathologique notable, avec une fièvre à 38,6 °C ; le bilan biologique mettait en évidence un syndrome inflammatoire sans perturbation du bilan hépatique. La tomodensitométrie abdomino-pelvienne sans et avec contraste réalisée (fig. 1 ) montrait une masse de la tête du pancréas, bien limitée, de 65 x 60 mm, isodense, réhaussée de façon hétérogène, délimitant des zones hypodenses. L’imagerie par résonance magnétique (IRM) pancréatique objectivait une masse de la tête du pancréas en isosignal T1, signal intermédiaire T2, de rehaussement périphérique délimitant une zone centrale liquidienne (fig. 2 ). Une duodéno-pancréatectomie céphalique était réalisée, permettant le diagnostic histologique de tumeur pseudopapillaire et solide du pancréas.
Les tumeurs solides pseudo- papillaires du pancréas sont rares (environ 1 % des tumeurs du pancréas exocrine). Elles surviennent préférentiellement chez les femmes (90 %) jeunes.1 Elles ont un faible potentiel de malignité et peuvent bénéficier d’un traitement chirurgical curatif, mais des récidives sont observées dans 15 % des cas sous la forme de métastases hépatiques ou péritonéales.2 L’IRM est l’examen de choix pour visualiser les composantes kystiques, les remaniements hémorragiques intralésionnels et la présence d’une capsule, sous forme d’un liseré hypo-intense sur les séquences pondérées T2, qui sont caractéristiques de ces tumeurs du pancréas.1 Le traitement est l’exérèse chirurgicale, avec étude anatomopathologique.
Références
1. Klotz T, Da Ines D, Petitcolin V, et al. Tumeur solide pseudopapillaire du pancréas. J Radiol Diagn Interv 2013;94:1169-74.
2. Michel P, David P, Chatelain E, et al. Tumeur pseudo-papillaire de la queue du pancréas. J Chir (Paris) 2006;143:111-2.
2. Michel P, David P, Chatelain E, et al. Tumeur pseudo-papillaire de la queue du pancréas. J Chir (Paris) 2006;143:111-2.
Une question, un commentaire ?
Sur le même thème
Article Web
Article
Exercice