On entend par troubles visuels transitoires (TVT) une cécité monoculaire ou binoculaire transitoire, des troubles du champ visuel (CV) ou une diplopie. Leur origine peut être oculaire, ischémique (AIT rétiniens ou cérébraux) ou non, ou alors neurologique (migraine, épilepsie, œdème papillaire dans un contexte d’hypertension intracrânienne, neuropathie optique). Il faut reconnaître les éléments en faveur d’une cause ischémique, imposant une prise en charge urgente (risque d’accident vasculaire constitué).

Interrogatoire : systématisé

Monoculaire ou binoculaire ?

Devant un TVT décrit comme monoculaire par le patient, il faut demander : « avez-vous essayé de cacher un œil ? Les troubles ont-ils disparu ? » Si la réponse est positive à l’occlusion du même œil, l’atteinte est préchiasmatique ; dans le cas contraire (réponse : non, quel que soit l’œil), elle est chiasmatique ou rétrochiasmatique. Il s’agit d’un équivalent de diplopie si la réponse est oui quel que soit l’œil occlus. En cas de trouble de la lecture, la lésion est le plus souvent rétrochiasmatique.

Symptômes, installation, durée

Une origine ischémique est fortement suspectée en cas de :
– cécité complète ou amputation sévère du champ visuel (un simple flou visuel monoculaire n’est pas évocateur) ;
– déficit campimétrique (p. ex. altitudinal, inférieur ou supérieur) ; il fait rechercher l’occlusion d’une branche de l’artère centrale de la rétine. Si hémi- anospie selon le méridien vertical → AIC de l’artère cérébrale postérieure ;
– installation brutale ;
– durée de 1 minute à moins de 1 heure (quelques secondes orientent vers des éclipses visuelles, plus de 1 heure vers une autre cause ophtalmologique).
Des phénomènes visuels positifs, du simple scintillement aux hallucinations complexes, font suspecter une migraine avec aura chez un patient ayant des antécédents ou si une céphalée est associée ; ou bien une épilepsie partielle en cas d’épisodes répétés, stéréotypés (tableau). Ils peuvent également révéler un infarctus cérébral du territoire de l’artère cérébrale postérieure. La prévalence des hallucinations visuelles complexes par lésion des voies rétrochiasmatiques serait de 22 % et atteindrait 41 %, si l’on inclut les hallucinations simples.
Chez un patient épileptique, on peut retrouver des hallucinations simples (localisation occipitale) ou complexes (micro- ou macropsie, dyschromatopsie ; localisation temporo-occipitale) mais aussi plus rarement un scotome, une amputation du CV ou un rétrécissement concentrique du CV (occipital ou temporal antéromédian).

Contexte, signes associés

Certaines circonstances d’apparition orientent vers une autre cause. Une baisse d’acuité visuelle (BAV) transitoire associée à une hyperthermie évoquent un phénomène d’Uhthoff chez un patient atteint de névrite optique ; l’atténuation d’un flou visuel après clignement palpé- bral, une anomalie du film lacrymal, une BAV ou une diplopie dans une position du regard : un syndrome de masse orbitaire.
En cas de cécité monoculaire transitoire (CMT) à l’exposition à la lumière ou post-prandiale, un mécanisme hémodynamique sur une occlusion ou une sténose carotidienne significative peut être en cause. Dans une série de 337 CMT, le fait de faire plus de 10 épisodes et le déclenchement à la lumière était fortement corrélé à une occlusion carotidienne. Un déficit altitudinal et une durée de 1 à 10 minutes étaient associés à une sténose serrée ou une occlusion carotidienne.
Toute CMT douloureuse fait suspecter une dissection carotidienne chez le sujet jeune et une maladie de Horton chez la personne âgée.

Cas particulier : diplopies

Des antécédents de strabisme, rééducation orthoptique, diplopie répétée font penser à une décompensation d’hétérophorie (strabisme latent n’apparaissant qu’à la vision dissociée des 2 yeux). Une diplopie variable, survenant à l’effort, d’autant plus qu’elle est associée à un ptosis ou un déficit des orbiculaires, oriente vers une myasthénie.
L’interrogatoire recherche les signes d’un AIT vertébrobasilaire : dysarthrie, vertige, dysphagie, déficit sensitivo-moteur ou ataxie. Parmi les 1 141 patients de la cohorte OXVASC qui avaient eu des troubles neurologiques transitoires (diplopies et défauts visuels bilatéraux), 16 % avaient fait un AVC vertébrobasilaire. Les plus à risque étaient ceux ayant une sténose du tronc basilaire.
Les migraines de type basilaire peuvent s’associer à une diplopie (45 %) avec le plus souvent des signes d’aura visuelle d’une durée de 5 à 60 min (autres symptômes : dysarthrie, vertige, acouphènes, hypo-acousie, paresthésies bilatérales simultanées et baisse du niveau de conscience).
La diplopie est rare dans les crises épileptiques et peut s’accompagner d’un nystagmus. Plus fréquemment il s’agit d’une polyopie ou d’une palinopsie (persistance anormale de l’image).

Examen neuro-ophtalmologique

L’examen ophtalmologique et du FO est primordial pour rechercher une origine ischémique (emboles rétiniens, nodules cotonneux, hémorragie rétinienne superficielle, œdème blanc ischémique) ou une autre cause (œdème papillaire de stase...).
Le champ visuel (automatisé avec appareil de Humphrey ou périmétrie Goldmann) peut apporter des arguments en faveur d’une atteinte rétrochiasmatique (latérale homonyme) dont le patient n’a pas forcement conscience (négligence visuelle) ou préchiasmatique (scotome séquellaire d’une occlusion d’une branche artérielle rétinienne).
L’OCT en mode Spectral Domain (OCT SD), qui évalue l’épaisseur des couches des fibres rétiniennes, a un intérêt dans le diagnostic d’une occlusion artérielle rétinienne chez un patient avec TVT et FO normaux. Réalisé à distance de l’épisode (> 1 mois), cet examen peut montrer un amincissement localisé, preuve de la séquelle ischémique.

Prise en charge à la phase aiguë

Une CMT est un facteur de risque vasculaire. Une série récente (334 patients, suivi médian de 4 ans) a évalué le risque annuel combiné de décès vasculaire, infarctus du myocarde, AVC ou infarctus rétinien à 4,4 %. Une atteinte du CV périphérique, une amputation débutant par le CV inférieur, une résolution par l’hémichamp visuel supérieur et plus de 3 épisodes sont corrélés à un risque accru.
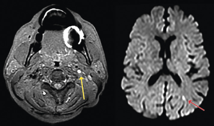
Une prise en charge en urgence des AIT de moins de 48 h diminue de près de 80 % le risque de récidive d’AVC. La conduite doit être identique lors d’un TVT supposé d’origine ischémique. Cela implique de réaliser dans l’idéal une IRM cérébrale + ARM des TSA (fig. 2) dépistant un patient à haut risque de récidive (angioscanner si contre-indication ou échodoppler des troncs supra-aortique [TSA] et transcrânien [TC]) et de débuter en urgence un traitement adéquat : endartériectomie pour une sténose carotidienne symptomatique ≥ 70 % (bénéfice prouvé par l’étude NASCET, même s’il est moindre que pour les AIT), anticoagulant pour une FA, antiagrégant (simple par aspirine ou double avec dose de charge pour les AIT à haut risque ou AIC mineur) et statine en cas d’atteinte athéromateuse.
Encadre

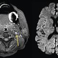
IRM multimodale : quel intérêt dans les troubles visuels transitoires ?

Il est possible de stratifier le risque d’AVC après un AIT selon le score ABCD2 et l’IRM cérébrale couplée à une angio-IRM (ARM) des vaisseaux du cou et intracrânienne. De même, lors d’ischémies rétiennes constituées ou transitoires, l’IRM cérébrale est positive en diffusion dans près de 25 % des cas ; il s’agit de lésions ischémiques punctiformes, associées à une cause à haut risque de récidive (sténose serrée, dissection carotidienne ou cardiopathie emboligène). Cet examen serait positif dans 11 % des CMT (fig. 1). Dans le service SOS AIT de Bichat, 34,4 % des patients avaient des TVT dont 50 % isolés. L’IRM était positive dans 5,9 % des cas (11,8 % si hémianopsie latérale homonyme ; cette dernière était plus souvent associée à une FA : × 2,5 par rapport aux AIT sans TVT).

Dans cet article

Ce contenu est exclusivement réservé aux abonnés