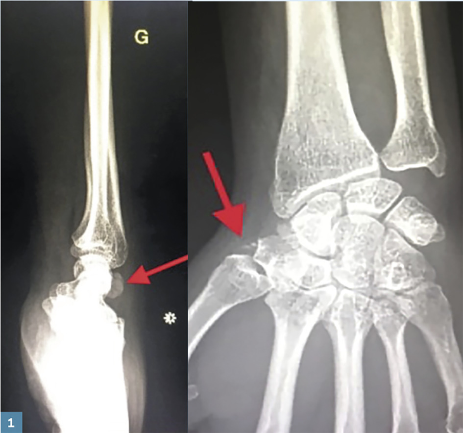
Une femme de 45 ans consulte pour une douleur spontanée qu’elle a depuis quelques jours au niveau du poignet gauche, irradiant à la colonne du pouce, accompagnée d’une impotence fonctionnelle (fig. 1 ).
Elle est apyrétique. Le poignet est chaud et douloureux. On constate une limitation franche de la mobilité active.
Au bilan sanguin : léger syndrome inflammatoire.
À la radiographie du poignet : calcifications en regard du bord radial du trapèze et de la face dorsale du carpe, en faveur d’une arthropathie microcristalline.
Le diagnostic est confirmé après avis rhumatologique.
Elle est apyrétique. Le poignet est chaud et douloureux. On constate une limitation franche de la mobilité active.
Au bilan sanguin : léger syndrome inflammatoire.
À la radiographie du poignet : calcifications en regard du bord radial du trapèze et de la face dorsale du carpe, en faveur d’une arthropathie microcristalline.
Le diagnostic est confirmé après avis rhumatologique.
Le rhumatisme apatitique est la conséquence de dépôts de cristaux de phosphate de calcium basique, qui sont normalement présents dans l’os et la dentine. Ils sont essentiellement localisés en péri-articulaire, parfois au rachis, plus rarement dans les articulations, surtout au niveau de l’épaule (60 % des cas ; fig. 2 ), du coude et du poignet. En cas de dépôts sur plusieurs sites, on parle de « maladie des calcifications tendineuses multiples », à l’origine de douleurs chroniques polyarticulaires.
Les calcifications sont volontiers asymptomatiques. Une crise aiguë hyperalgique traduit souvent une réaction inflammatoire locale, secondaire au délitement de la calcification. Comme dans la chondrocalcinose articulaire, le tableau clinique peut être bruyant, avec fièvre et impotence fonctionnelle.
Le diagnostic est fait en général à la radiographie. Les cristaux d’apatite contiennent du phosphore et du calcium : ils apparaissent donc distinctement sur les clichés sous l’aspect de calcifications arrondies. Celles-ci se distinguent d’une ossification par l’absence de structures trabéculaires, l’homogénéité radiologique et l’apparence arrondie de leurs densités.
Lors d’une poussée inflammatoire, le bilan biologique révèle un syndrome inflammatoire non spécifique.
Les diagnostics différentiels sont l’arthrite septique, à écarter en priorité ; la goutte, à évoquer chez des patients âgés (les premières manifestations touchent les mains) ; la chondrocalcinose (cristaux de pyrophosphate de calcium).
Le traitement des crises repose sur : immobilisation, application de glace, prise d’antalgiques, associées à un traitement anti-inflammatoire non stéroïdien ou à l’injection péri-articulaire de corticoïdes.
Il faut recommander aux patients d’éviter des microtraumatismes locaux répétitifs susceptibles d’aggraver progressivement l’atteinte articulaire.
Les calcifications sont volontiers asymptomatiques. Une crise aiguë hyperalgique traduit souvent une réaction inflammatoire locale, secondaire au délitement de la calcification. Comme dans la chondrocalcinose articulaire, le tableau clinique peut être bruyant, avec fièvre et impotence fonctionnelle.
Le diagnostic est fait en général à la radiographie. Les cristaux d’apatite contiennent du phosphore et du calcium : ils apparaissent donc distinctement sur les clichés sous l’aspect de calcifications arrondies. Celles-ci se distinguent d’une ossification par l’absence de structures trabéculaires, l’homogénéité radiologique et l’apparence arrondie de leurs densités.
Lors d’une poussée inflammatoire, le bilan biologique révèle un syndrome inflammatoire non spécifique.
Les diagnostics différentiels sont l’arthrite septique, à écarter en priorité ; la goutte, à évoquer chez des patients âgés (les premières manifestations touchent les mains) ; la chondrocalcinose (cristaux de pyrophosphate de calcium).
Le traitement des crises repose sur : immobilisation, application de glace, prise d’antalgiques, associées à un traitement anti-inflammatoire non stéroïdien ou à l’injection péri-articulaire de corticoïdes.
Il faut recommander aux patients d’éviter des microtraumatismes locaux répétitifs susceptibles d’aggraver progressivement l’atteinte articulaire.
Pour en savoir plus
Guggenbuhl P. Rhumatisme apatitique. Rev Prat 2015;65:681.
Une question, un commentaire ?
Sur le même thème
Article