Objectifs
Expliquer les aspects épidémiologiques et les résultats des transplantations d’organes et l’organisation administrative.
Argumenter les aspects médico-légaux et éthiques liés aux transplantations d’organes.
L’exemple de la transplantation rénale.
Expliquer les principes de choix dans la sélection du couple donneur-receveur et les modalités de don d’organe.
Préciser les principes de la législation concernant les prélèvements d'organes - Donneur vivant.

Généralités

Définitions

La transplantation se définit comme le transfert d’un organe fonctionnel (le transplant) d’un individu à un autre, avec le rétablissement d’une continuité vasculaire (anastomose vasculaire). Elle diffère de la greffe, qui se définit comme le transfert d’un tissu sans anastomose vasculaire (moelle, cornée, peau, îlots pancréatiques). Par abus de langage, les termes de « greffe » ou de « greffon » sont souvent utilisés dans le contexte de la transplantation d’organes.
Les organes concernés par la transplantation sont le cœur, les poumons, le foie, les reins, le pancréas et l’intestin.

Principes immunologiques

Le rejet est le processus immunologique par lequel l’organisme d’un receveur réagit contre l’organe d’un donneur considéré comme étranger. Deux systèmes permettent au système immunitaire de différencier le soi du non-soi et constituent des obstacles à la transplantation d’organes :
  • le système ABO : la présence à la surface des érythrocytes d’antigènes A ou B permet de définir le groupe sanguin et s’associe à la présence d’anticorps circulants anti-A ou anti-B naturels. Un patient O a des anticorps anti-A et anti-B, un patient A a des anticorps anti-B et un patient B des anticorps anti-A. La compatibilité A, B, O doit généralement être respectée lors d’une transplantation d’organe pour prévenir un rejet hyperaigu lié aux anticorps naturels du receveur. Ceci s’explique par le fait que les antigènes A et B sont exprimés par les cellules endothéliales du donneur. Néanmoins, des transplantations dites ABO-incompatibles sont envisageables dans certaines circonstances ;
  • le système HLA (human leukocyte antigen) : il se compose des molécules HLA de classe I présentes à la surface de toutes les cellules nucléées de l’organisme et des molécules de classe II exprimées principalement par les cellules endothéliales et les cellules présentatrices d’antigènes (lymphocytes B activés, macrophages et cellules dendritiques). Les molécules HLA ont pour fonction de présenter des peptides d’origine endogène (HLA de classe I) ou exogène (HLA de classe II) aux lymphocytes T et d’initier la réponse immune adaptative. Le polymorphisme élevé des gènes du système HLA assure l’expression d’une combinaison de molécules propre à chaque individu. Leur importance en transplantation a largement été démontrée, et plusieurs études ont rapporté l’effet néfaste du nombre d’incompa­tibilités HLA sur la survie des transplants. Les incompatibilités HLA entre donneur et receveur ne contre-­indiquent pas la transplantation mais doivent être minimisées.
Par ailleurs, certains individus peuvent développer des anticorps dirigés contre des molécules HLA d’individus génétiquement différents : les anticorps anti-­HLA. Ils apparaissent après trois situations d’allo-­immunisation : les transplantations d’organes, les transfusions sanguines ou les grossesses. La présence chez un receveur d’anticorps dirigés spécifiquement contre les molécules HLA du donneur est un facteur de risque majeur de rejet et d’évolution péjorative de la transplantation. Ainsi, l’importance de l’immunisation anti-HLA est un facteur pouvant retarder l’accès à la transplantation.

Épidémiologie

Bénéfices et résultats des transplantations d’organes

Les transplantations d’organes permettent de pallier l’insuffisance terminale d’un organe. Pour certains organes (cœur, poumons, foie, intestin), l’enjeu majeur est d’éviter un décès à court terme. Mais les transplantations permettent aussi une amélioration importante de la qualité et de l’espérance de vie à plus long terme.
Si l’on compare les deux principaux traitements de suppléance de l’insuffisance rénale terminale (la transplantation rénale et l’hémodialyse), il existe un bénéfice démontré de la transplantation en matière de qualité de vie mais aussi d’espérance de vie à long terme. De plus, il existe un bénéfice économique, comme le montrent les chiffres de l’Assurance maladie : après la première année, les coûts de prise en charge d’un patient transplanté sont bien moindres que ceux d’un patient hémodialysé.
Les résultats à court terme n’ont cessé de s’améliorer depuis vingt ans, reflétant les progrès réalisés, notamment dans le domaine de l’immunosuppression. Les taux d’échec à un an sont de 8 % pour le rein, 16 % pour le foie et de 23 % pour le cœur.
En revanche, les résultats à plus long terme des transplantations ne se sont améliorés que de façon marginale au cours des dernières décennies (la survie à dix ans des transplantations réalisées en France depuis 2007 était respectivement de 60, 61 et 57 % pour le rein, le foie et le cœur). Ceci s’explique notamment par les phénomènes de rejets chroniques et de rejets médiés par les anticorps, processus encore mal contrôlés.
 

Pénurie d’organes

En France, 65 952 personnes étaient porteuses d’un transplant fonctionnel en 2021, et 5 276 transplantations d’organes ont été réalisées (rein : 3 252, foie : 1 225, cœur : 406, poumon : 322, pancréas : 67, intestin : 1).
Bien qu’en augmentation, ces chiffres ne permettent pas de répondre aux besoins et il existe une importante pénurie d’organes. Pour cette raison, les durées d’attente sur liste de transplantation sont souvent longues (la médiane d’attente d’une greffe rénale est de 24,3 mois en France), mais il existe d’importantes disparités régionales et individuelles (par exemple selon le groupe sanguin).

Organisation et législation en France

Agence de la biomédecine

L’Agence de la biomédecine (ABM) est une agence publique nationale de l’État fondée par la loi de bioéthique de 2004. L’Agence de la biomédecine exerce ses missions dans quatre domaines : le prélèvement, la transplantation et la greffe ; la procréation ; l’embryologie ; la génétique humaine. Dans le domaine de la transplantation, ses missions sont de :
  • gérer le registre national de refus au prélèvement d’organes ;
  • gérer la liste nationale de malades en attente de greffe ;
  • définir les règles régissant la répartition des organes ;
  • coordonner les prélèvements d’organes, répartir et attribuer les greffons ;
  • évaluer les activités médicales des équipes de trans­plantation ;
  • informer sur le don d’organes et le promouvoir ;
  • assurer la sécurité des donneurs vivants (comités d’experts autorisant le prélèvement, suivi de leur état de santé) ;
  • pro­mouvoir la recherche dans le domaine de la transplantation.

Aspects médico-légaux

Plusieurs lois se sont succédé pour aboutir au cadre médico-légal actuel. Leurs grands principes sont décrits dans le tableau 1.

Aspects éthiques

L’aspect éthique de la transplantation d’organes est encadré par la loi de bioéthique du 29 juillet 1994 relative au respect du corps humain. Quatre grands principes sont définis par cette loi :
  • l’inviolabilité du corps humain (consentement présumé du donneur) ;
  • l’anonymat donneur-receveur dans le cadre des donneurs décédés ;
  • la gratuité de l’acte ;
  • l’interdiction de publicité.
Cependant, au-delà de ces principes, les questions éthiques liées à la transplantation d’organes sont nombreuses et en perpétuelle évolution. La nouvelle loi de bioéthique d’août 2021 cherche à favoriser le don croisé entre vivants.

Exemple de la transplantation rénale

Sélection du couple donneur-receveur

Receveurs

Une transplantation rénale est indiquée chez tout patient ayant une maladie rénale chronique terminale (stade V, débit de filtration glomérulaire < 15 mL/min/1,73 m2) après ou avant le début de la dialyse (transplantation préemptive).
L’équipe de transplantation doit éliminer une contre-­indication absolue et dépister les comorbidités afin d’apprécier le rapport bénéfice-risque. Le patient est alors inscrit sur la liste de transplantation (décision collégiale, multidisciplinaire, réévaluée si nécessaire).
Les contre-indications absolues à la transplantation rénale sont :
  • un patient ne désirant pas être transplanté ;
  • une infection évolutive ;
  • un cancer non guéri. Un délai de rémission de deux ans minimum est souvent requis, mais il dépend du type de cancer et de son stade évolutif. Il est inférieur à deux ans pour les cancers in situ (vessie, rein, col de l’utérus) ou les carcinomes basocellulaires. Il est de cinq ans pour les tumeurs récidivant tardivement (mélanome, sein, côlon, rectum, corps utérin) ;
  • l’incapacité physique ou mentale pour le patient et son entourage de suivre et observer un traitement au long cours ;
  • une espérance de vie ne permettant pas d’envisager un  bénéfice raisonnable de la greffe. L’âge physiologique prime sur l’âge civil, mais un âge supérieur à 85 ans est souvent une barrière.
L’ensemble des examens cliniques et paracliniques à réaliser est résumé dans le tableau 2.
 

Donneurs

Donneurs en état de mort encéphalique : avant un prélèvement sur un donneur en état de mort encéphalique, il faut :
  • vérifier l’absence de refus de prélèvement de son vivant (registre des refus, effets personnels du défunt, interrogatoire de la famille) ;
  • vérifier l’absence de contre-indications médicales : maladie infectieuse transmissible (antigénémie P24 et sérologies VIH, HTLV, hépatites B et C, syphilis, toxoplasmose), cancer évolutif (examen clinique, radiographie du thorax et échographie abdominale ou tomodensitométrie [TDM] thoraco-abdo-pelvienne) ;
  • vérifier l’absence d’une dysfonction inacceptable de l’organe. Pour le rein, les paramètres pronostiques étudiés sont l’âge, la cause du décès (vasculaire ou pas), les antécédents (hypertension artérielle ou diabète), la créatininémie, la présence d’une protéinurie, et rarement la biopsie rénale ;
  • collecter les informations nécessaires à la sélection du receveur : groupe A, B, O, typage HLA (A, B, DR, DQ), sérologies EBV (virus d’Epstein-Barr) et CMV (cytomégalovirus).
Donneurs décédés après arrêt circulatoire : cette source de donneurs est récente pour la France et ne concerne, pour l’instant, que le rein et le foie. Il s’agit de donneurs ayant présenté un arrêt circulatoire en réanimation, dans les suites d’une décision d’arrêt des thérapeutiques actives (Maastricht III) ou, plus rarement, un arrêt cardiaque inopiné (Maastricht I et II). On recherche les mêmes contre-indications potentielles que pour un donneur en état de mort encéphalique.
Donneurs vivants : en plus de remplir les conditions légales (tableau 1), il faut apprécier le rapport bénéfice-­risque après avoir recherché des contre-indications médicales relatives :
  • immunologiques : incompatibilité ABO, présence d’anti­corps anti-HLA spécifiques des molécules HLA du donneur, cross-match positif (v. infra) ;
  • carcinologiques chez le donneur : antécédents de mélanome, de cancer du sein ou de sarcome quel que soit le délai de rémission ; autres cancers avec un délai de rémission datant de moins de cinq ans (sauf le cancer in situ du col utérin et les cancers cutanés hors mélanome) ;
  • néphrologiques, liées au receveur (risque de récidive de la néphropathie) ou au donneur (hypertension artérielle, diabète, protéinurie, insuffisance rénale, indice de masse corporelle supérieur à 30, anatomie rénale complexe, consom­mation prolongée de médicaments néphrotoxiques, dysplasie artérielle fibromusculaire bilatérale).
 

Règles d’attribution

L’attribution des organes suit des règles définies pour répondre au mieux à deux principes : l’efficacité et l’équité.
L’appariement donneur-receveur est évalué selon des critères médicaux (groupes ABO, groupes HLA, durée d’attente…) et logistiques (distance…) permettant de calculer un score informatisé.
Il existe des priorités, par exemple les patients dont le pronostic vital est engagé, ou ceux qui ont des difficultés à trouver un receveur compatible (dits « hyper­immunisés »). Trois niveaux sont définis : priorité à l’échelon national, inter-régional ou local.
La sélection du couple donneur-receveur est faite selon un algorithme prenant en compte les priorités puis le score calculé d’appariement.
 

Cross-match en lymphocytotoxicité

Le cross-match en lymphocytotoxicité est un test qui a pour but de détecter la présence chez le receveur d’anticorps anti-HLA cytotoxiques dirigés contre le donneur. Il consiste à incuber des lymphocytes B et T du donneur (prélèvement de ganglions si le donneur est décédé ou prélèvement sanguin si le donneur est vivant) avec du sérum du receveur potentiel et du complément de sérum de lapin. La mortalité lymphocytaire est ensuite évaluée par l’ajout d’un colorant vital. Un test positif (lyse cellulaire supérieure à 20 %) est associé à un risque de rejet hyperaigu. Ce test est obligatoire avant toute transplantation et sa positivité est, pour la plupart des équipes, une contre-indication à la transplantation rénale.

Principes thérapeutiques

Principes chirurgicaux

Dans la majorité des cas, un seul rein est transplanté.
On désigne par « temps d’ischémie froide » la durée du transfert, pendant lequel l’organe, non approvisionné en sang, est refroidi. « L’ischémie tiède » désigne le temps pendant lequel l’organe, non approvisionné en sang, reste à la température corporelle. Ces temps d’ischémie doivent être minimisés autant que possible.
Sauf indication particulière (par exemple en cas de reins polykystiques trop volumineux pour permettre une transplantation dans de bonnes conditions), les reins natifs sont laissés en place et le greffon est implanté en fosse iliaque (le plus souvent à droite) [fig. 1]. L’artère et la veine du greffon rénal sont anastomosées sur les vaisseaux iliaques (externes le plus souvent) et l’uretère peut être anastomosé soit à la vessie du receveur (le plus souvent), soit à son uretère. La mise en place initiale d’une sonde uretéro-vésicale (sonde double J) et d’une sonde vésicale permet de protéger les anastomoses et d’assurer l’écoulement des urines.
 

Traitement immunosuppresseur

Le traitement immunosuppresseur est préventif (prévention d’un rejet), parfois curatif (traitement d’un rejet).
Le traitement préventif est systématique et se compose d’un traitement d’induction donné en pré- et postopératoire immédiat et d’un traitement d’entretien à prendre à vie.
Le traitement d’induction comprend :
  • soit des antagonistes des récepteurs de l’interleukine 2 (IL-2) [inhibiteurs du signal 3] : ce sont des anticorps recombinants qui bloquent le récepteur de l’IL-2 exprimé par les lymphocytes T activés, et inhibent leur prolifération (basiliximab) ;
  • soit des anticorps polyclonaux antilymphocytaires : ce sont des IgG xénogéniques purifiées entraînant une déplétion profonde des lymphocytes circulants.
Le traitement d’entretien associe classiquement trois sortes de molécules :
  • les corticoïdes ;
  • les inhibiteurs de la calcineurine (inhibiteurs du signal 1) ­– la ciclosporine A ou le tacrolimus – inhibent la calcineurine, une protéase qui conduit à la synthèse d’IL-2 et d’autres cytokines pro-inflammatoires par les lymphocytes T activés. Le tacrolimus est préféré à la ciclosporine A car son efficacité est supérieure ;
  • les inhibiteurs des bases puriques (antiprolifératifs) [inhibiteurs du signal 3] : ils diminuent la prolifération lymphocytaire en inhibant la synthèse de bases de l’ADN. Le mycophénolate mofétil et le mycophénolate sodique sont associés à un risque moindre de rejet aigu que l’azathioprine ; ils sont utilisés en première intention, sauf en cas de grossesse.
L’observance du traitement est capitale. Les posologies doivent être optimisées par un dosage pharmaco­logique des taux sanguins de certains immunosuppresseurs (en particulier le tacrolimus ou la ciclosporine), et les interactions médicamenteuses (via le cytochrome P450 3A4) doivent être prévenues.
Des stratégies moins classiques ont pour objectif une épargne en corticoïdes (effets indésirables nombreux) ou un remplacement des anticalcineurines (néphrotoxiques).
Peuvent être utilisés dans ce cas :
  • le bélatacept qui inhibe le signal de costimulation (CD80/86-CD28, signal 2) entre cellule présentatrice d’anti­gène et lymphocyte T (voie intraveineuse uniquement) ;
  • les inhibiteurs de mTOR (sirolimus, évérolimus) qui inhibent la transduction du signal en aval du récepteur de l’IL-2 (signal 3, prolifération cellulaire).
 

Traitement préventif du risque infectieux

En plus d’une mise à jour des vaccinations et d’une éradication des foyers infectieux avant la transplantation, il convient de suivre les règles hygiéno-diététiques standard et d’éviter les contages après la transplantation. De plus, une prophylaxie médicamenteuse doit être instaurée.
Pneumocystose : sulfaméthoxazole-triméthoprime (cotrimoxazole) à dose préventive, ou atovaquone en cas d’allergie, pendant les six premiers mois après la transplantation, associé à une supplémentation en acide folinique.
Maladie à cytomégalovirus : le risque dépend des statuts sérologiques du donneur et du receveur. Lorsque donneur et receveur sont séronégatifs, aucun traitement préventif n’est recommandé.
Dans les autres cas, deux stratégies sont possibles :
  • la stratégie préemptive : surveillance de la virémie et traitement uniquement en cas de positivité (valganciclovir per os ou ganciclovir IV) ;
  • la stratégie prophylactique : traitement systématique à dose préventive (typiquement valganciclovir per os)pendant les trois à six premiers mois post-transplantation (prévient aussi une infection à Herpes simplex virus).
Anguillulose : si le patient est originaire d’une zone d’endémie, ivermectine au moment de la transplantation.
Candidoses digestives : amphotéricine B ou nystatine pendant trois semaines.
Infection du site opératoire : antibioprophylaxie per­opératoire.

Complications et surveillance

Dysfonction du greffon rénal

Après la transplantation, la reprise de la fonction rénale est le plus souvent immédiate. Cependant, une insuffisance rénale peut être observée : soit d’emblée (reprise retardée de la fonction rénale), soit secondairement alors que le rein avait déjà récupéré une fonction.
Dysfonction d’origine urologique ou vasculaire : le plus souvent peu de temps après la transplantation. Il faut évoquer :
  • un obstacle urinaire : il peut d’agir d’un globe vésical et autres problèmes de sondes, d’une sténose des voies excrétrices (sténose de l’anastomose urétéro-vésicale) ou encore d’une compression des voies urinaires par un hématome ou un lymphocèle. La surveillance est clinique, échographique et radiologique ;
  • une thrombose vasculaire artérielle ou veineuse : souvent dramatique ; on réalise systématiquement dans les suites précoces une échographie-Doppler de l’artère et de la veine du greffon pour la dépister ;
  • un urinome (collection d’urines développée en dehors des voies urinaires) ;
  • une sténose de l’artère du greffon rénal : souvent plus tardive et associée à une hypertension artérielle sévère.
Dysfonction d’origine immunologique : un rejet doit être évoqué devant toute dysfonction du greffon rénal ; son diagnostic est histologique (lésions définies par la classification de Banff).
Un rejet peut être :
  • hyperaigu : il survient lorsque des anticorps cytotoxiques (anticorps anti-A ou B ou anti-HLA) n’ont pas été détectés avant la transplantation (exceptionnel depuis la réalisation systématique du cross-match). Il est dit immédiat lorsqu’il survient sur la table opératoire (rein violacé) ou retardé lorsqu’il survient dans les quinze jours. Cliniquement, il se traduit par une anurie ; radiologiquement, par une absence de perfusion rénale (Doppler) ; histologiquement, par des lésions vasculaires intenses avec thrombus ;
  • aigu : il a lieu le plus souvent dans les trois premiers mois après la transplantation, mais peut survenir bien plus tardivement (notamment en cas d’inobservance). Il se divise en deux entités distinctes :
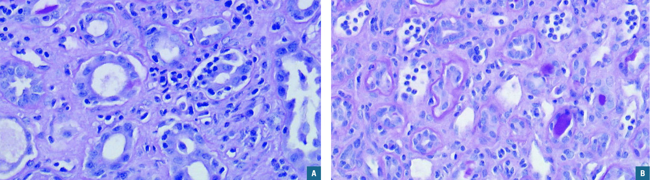
  • le rejet cellulaire lorsque la réponse allo-immune est médiée par des lymphocytes T et des cellules inflammatoires, sans anticorps dirigés contre le donneur. Histologiquement, il existe un infiltrat inflammatoire dans l’interstitium rénal (inflammation interstitielle) et dans les tubules rénaux (tubulite) [fig. 2A]. Il se traite par des corticoïdes à forte dose (IV puis per os). Son pronostic est bon ;
  • le rejet humoral lorsqu’il existe des anticorps dirigés contre l’endothélium de l’organe transplanté (anticorps anti-HLA le plus souvent). Histologiquement, les cellules inflammatoires sont préférentiellement retrouvées dans les lumières vasculaires (capillaires péritubulaires et glomérulaires) [fig. 2B]. Le traitement associe corticoïdes, anticorps anti-CD20, échanges plasmatiques et/ou immunoglobulines intraveineuses. Cette forme de rejet encore mal contrôlée est associée à un risque important de perte du greffon ;
  • chronique : il s’agit d’une entité complexe qui associe cliniquement une insuffisance rénale progressive, une protéinurie et une hypertension artérielle. La réaction allo-­immune a une composante humorale (présence d’anticorps anti-HLA) et, histologiquement, des lésions d’allure chronique des membranes basales glomérulaires (doubles contours) et des parois vasculaires sont observées. Son pronostic est péjoratif.
Dysfonction d’origine néphrologique : les causes néphrologiques d’insuffisance rénale sont les suivantes :
  • insuffisance rénale aiguë fonctionnelle (souvent dans un contexte de diarrhée et majorée par la prise de diurétiques ou d’inhibiteurs du système rénine-angiotensine) ;
  • nécrose tubulaire aiguë : souvent réversible, elle est fréquente en postopératoire immédiat en raison des lésions d’ischémie-reperfusion liées au prélèvement. Elle résulte aussi souvent de la toxicité rénale des anticalcineurines ;
  • récidive de la néphropathie initiale : les néphropathies à risque sont la hyalinose segmentaire et focale, certains syndromes hémolytiques et urémiques atypiques, les hyperoxaliuries primaires, certaines glomérulonéphrites membrano-prolifératives. Les récidives de néphropathie à dépôts d’IgA ont souvent peu de conséquences fonctionnelles.
 

Complications de l’immunosuppression

Complications infectieuses : les infections sont la première cause de morbidité la première année. Elles peuvent être classiques ou opportunistes et survenir à n’importe quel moment après la transplantation. Elles doivent être traitées rapidement. Les plus fréquentes sont résumées dans le tableau 3.
Complications tumorales : de nombreuses études ont montré que le risque de cancer chez les patients transplantés est bien supérieur à celui de la population générale. Cet excès de risque s’explique notamment par la baisse de l’immunosurveillance engendrée par le traitement immunosuppresseur, surtout dans le cas des cancers viro-induits (virus d’Epstein-Barr, papillomavirus). L’excès de risque varie en fonction du type de cancer. Les cancers les plus fréquents chez le transplanté sont :
  • les cancers cutanés, notamment spinocellulaires (40 %) ;
  • les syndromes lymphoprolifératifs post-transplantation (11 %). Ces lymphomes sont de type B dans la grande majorité des cas. Le virus d’Epstein-Barr joue un rôle majeur dans leur genèse (de 70 à 80 % des cas). Le risque est maximum pour les patients séronégatifs pour le virus d’Epstein-Barr recevant le rein d’un donneur séropositif. Les formes agressives se traitent par des anticorps anti-CD20 et une chimiothérapie ;
  • les cancers pulmonaires (5 %) ;
  • le sarcome de Kaposi (4 %).
Les autres complications des immunosuppresseurs sont :
  • la néphrotoxicité des anticalcineurines ;
  • les diabètes induits par les corticoïdes, le tacrolimus et les inhibiteurs de mTOR ;
  • les complications ostéo-articulaires potentialisées par les corticoïdes ;
  • les troubles digestifs (diarrhées) et les leucopénies induits par les antiprolifératifs.
 

Complications cardiovasculaires

Bien que la transplantation apporte un bénéfice cardiovasculaire par rapport à la dialyse, la maladie cardiovasculaire est la première cause de mortalité des patients transplantés rénaux.
La surmortalité cardiovasculaire observée s’explique par l’accumulation de facteurs de risque : facteurs de risque classiques, propres à la maladie rénale chronique, et facteurs de risque propres à la transplantation. L’hypertension artérielle est fréquente chez le transplanté (plus de 50 % des patients). Ses causes sont multiples : préexistantes, traitement immunosuppresseur (tacrolimus, ciclosporine, corticoïdes), dysfonction du greffon (néphropathie chronique d’allogreffe, récidive de la maladie initiale), sténose de l’artère du greffon, sécrétion de rénine par les reins natifs.
Il faut donc contrôler les facteurs de risque cardiovasculaire et répéter les explorations (ischémie myocardique, Doppler des troncs supra-aortiques et des membres inférieurs). 
  • insuffisance rénale : obstructive (échographie rénale), vasculaire (thrombose ou sténose), rejet (hyperaigu, aigu cellulaire ou humoral, chronique), toxicité des immunosuppresseurs (ciclosporine et tacrolimus), récidive de la néphropathie ;
  • interactions médicamenteuses ;
  • infections : classiques (urinaires, pneumopathies) ou opportunistes (cytomégalovirus, pneumocystose) ;
  • cancers : cancers cutanés, lymphomes post-transplantation (importance du virus Epstein-Barr) ;
  • hypertension et surmortalité cardiovasculaire.
  • Textes de recommandations professionnelles de la Haute Autorité de santé :
  • Suivi ambulatoire de l’adulte transplanté rénal au-delà de 3 mois après transplantation, avril 2013
  • Transplantation rénale - Accès à la liste d’attente nationale, décembre 2015
  • ALD n° 28 - Suite de transplantation rénale de l'adulte, novembre 2018
  • Évaluation médico-économique des stratégies de prise en charge de l’insuffisance rénale chronique terminale en France, novembre 2014
Points forts
Transplantation d’organes

POINTS FORTS À RETENIR

Immunologie : notion de rejet ; importance du système ABO, du système HLA et des anticorps anti-HLA.

Épidémiologie : bénéfices en termes de qualité, d’espérance de vie et de coûts ; pénurie d’organes.

Aspects médico-légaux et éthiques : critères de mort encéphalique, consentement présumé, don de son vivant, anonymat, gratuité, interdiction de publicité.

Barrières à la transplantation : refus, incapacité physique ou mentale, infections, cancers, cross-match positif.

Surveillance des complications :

  • insuffisance rénale : obstructive (échographie rénale), vasculaire (thrombose ou sténose), rejet (hyperaigu, aigu cellulaire ou humoral, chronique), toxicité des immunosuppresseurs (ciclosporine et tacrolimus), récidive de la néphropathie ;
  • interactions médicamenteuses ;
  • infections : classiques (urinaires, pneumopathies) ou opportunistes (cytomégalovirus, pneumocystose) ;
  • cancers : cancers cutanés, lymphomes post-transplantation (importance du virus Epstein-Barr) ;
  • hypertension et surmortalité cardiovasculaire.
Encadre

Pour en savoir plus

Site des professionnels de l’Agence de la biomédecine : http://www.agence-biomedecine.fr. Rubriques : Recommandations et bonnes pratiques, Rapports et études.

Collège universitaire des enseignants de néphrologie. Néphrologie. 10e édition. Éditions Ellipses, pages 411-24. http://www.cuen.fr

Christophe Legendre (dir.). La Transplantation rénale. Paris. Lavoisier, Médecine Sciences Publications, 2011, 942 p.

Dans cet article

Ce contenu est exclusivement réservé aux abonnés