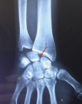
Un gendarme de 31 ans consulte pour des douleurs du poignet droit de plus en plus invalidantes. Deux mois auparavant : traumatisme en hyperextension du poignet (chute de sa hauteur) sans signe de gravité, pas de fracture sur la radio (fig. 1).
Après 10 jours d’antalgiques et d’immobilisation, il reprend ses activités. Des douleurs réapparaissent lors de pompes et tractions puis au quotidien, handicapantes.
Une nouvelle série de clichés retrouve un diastasis scapholunaire.

Les entorses graves du poignet sont source d’instabilité du carpe, la plus fréquente étant scapholunaire.¹ Elle est aiguë ou bien plus volontiers chronique, par négligence initiale. En cause : chute violente sur le poignet en hyperextension.² La douleur est postéro-externe, au niveau de l’interligne scapholunaire, rendant le testing impossible. Après une première phase, le poignet reprend sa fonction. Le traumatisme est souvent négligé (considéré comme une simple entorse…).
À distance, le poignet devient raide et douloureux notamment lors des exercices de force.¹ S’y ajoute une sensation de ressaut lors de l’utilisation prolongée.
Le test de Watson provoque les ressauts et les douleurs décrites lors de l’inclinaison cubitale puis radiale du poignet par l’examinateur avec un contre-appui exercé sur le scaphoïde.
Le ligament interosseux scapholunaire est le principal stabilisateur de l’articulation du même nom, mais c’est la rupture associée de ses segments palmaires et dorsaux qui entraîne un diastasis scapholunaire se traduisant sur les radios de face par un espace supérieur à 4 mm entre ces 2 os et une baisse de la hauteur du carpe. Sur les clichés de profil : augmentation de l’angle scapholunaire.
L’arthroscanner bien qu’invasif fournit une exploration fine et dépiste une éventuelle fracture ostéochondrale associée. Surtout, il montre l’importance de la déchirure ligamentaire.³ La fuite du liquide de contraste entre la médiocarpienne et la radiocarpienne signe le diagnostic (fig. 2).¹ ³
La dislocation scapholunaire est responsable d’une réduction de la surface de contact entre le scaphoïde et le radius entraînant précocement une arthrose radioscaphoïdienne qui évolue à plus ou moins long terme vers l’arthrose intercarpienne. En l’absence de traitement et après plusieurs années s’installe une arthrose pancarpienne qui se manifeste par une raideur douloureuse.
Lorsque le diagnostic est fait en urgence après le traumatisme initial, un traitement efficace et conservateur est envisageable (brochage scapholunaire). Le ligament peut être suturé ou réinséré.4 La suture doit être protégée par un brochage et une contention plâtrée pour 2 mois.
Par la suite, devant un poignet douloureux chronique, l’indication opératoire dépend de la symptomatologie et du terrain.4 En cas de symptômes ou d’instabilité importante, la chirurgie est obligatoire. Les techniques sont variées.
En l’absence de traitement, l’évolution vers l’arthrose du poignet est inéluctable.5 Cette évolution est souvent peu bruyante, les patients ne commençant à souffrir que lorsque l’arthrose est évoluée. Ainsi fréquemment après une période initiale difficile, les choses se stabilisent puis se dégradent progressivement évoluant à plus ou moins long terme pour aboutir au SLAC (Scapholunate Advanced Collapse) Wrist de Watson. La rééducation est cruciale : kinésithérapie précoce avec un contrôle des phénomènes inflammatoires, de la douleur puis un travail de récupération des amplitudes articulaires et d’amélioration de la proprioception consciente.

Références

1. Chabas JF, Legré R. Entorses et luxations du carpe. EMC (Elsevier Masson SAS, Paris), Appareil locomoteur 2011:1-15 [Article 14-046-C-10].
2. Monod H, Khan JF, Amoretti R, Rodineau J. Poignet du sportif. In: Médecine du sport pour le praticien. Paris: Masson; 2005: 427-53.
3. Cotten A. Imagerie musculosquelettique. Pathologies générales. Paris: Masson; 2005.
4. Whipple TL. The role of arthroscopy in the treatment of scapholunate instability. Hand Clin 1995;11:37-40.
5. Geoffroy C, Mesplié G.Rééducation des instabilités scapholunaires. Kinesitherapie Revue 2018;18:29-36.

Une question, un commentaire ?