Un nourrisson de 1 an, en bon état général, consulte pour des cris incessants. L’examen clinique objective une distension abdominale.
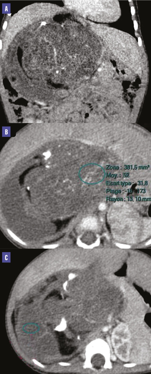
Un scanner abdomino-pelvien (figure) révèle une masse rétropéritonéale droite de 13 cm, bien limitée, à triple composante kystique, graisseuse et tissulaire, renfermant des calcifications, sans visualisation de la surrénale homolatérale. Cette masse dépend de la surrénale droite, selon les données opératoires.
L’étude histologique est en faveur d’un tératome pluritissulaire mature, sans signes de malignité.

Les tératomes sont des tumeurs non séminomateuses. La localisation surrénalienne est rare, et représente 0,7 % des tumeurs surrénaliennes primitives.1
Au scanner, le tératome se présente comme une tumeur à triple composante kystique, graisseuse et tissulaire. Un niveau liquide-graisse au sein de la lésion évoque un tératome mature, mais il est aussi décrit dans des liposarcomes bien différenciés.
Les calcifications sont fréquentes, caractéristiques lorsqu’elles sont présentes dans la paroi du kyste «rim sign» ou sous la forme de structures organisées (os, dents…).
L’impossibilité d’éliminer la malignité impose la résection de la masse. Une chimiothérapie adjuvante est indiquée lorsqu’un contingent malin est présent sur l’analyse histologique de la pièce opératoire.2

Références

1. Gaillard F. Adrenal teratoma. Radiopaedia.org. Dec 2021.
2. Kuo EJ, Sisk AE, Yang Z, Huang J, Yeh MW, Livhits MJ. Adrenal teratoma: a case series and review of the literature. Endocr Pathol 2017;28(2):152-8.

Une question, un commentaire ?

Sur le même thème