Qu’il s’agisse d’un dessin ou d’un maquillage permanent, le tatouage n’est pas dénué de risque. La prévalence des complications étant vouée à augmenter ces prochaines années avec le nombre croissant de tatoués parmi les jeunes, le médecin doit connaître les principaux diagnostics. Un article pratique joliment illustré par le Dr Nicolas Kluger, dermatologue, Helsinki University Central Hospital, hôpital Bichat-Claude-Bernard.

Le tatouage implique l’introduction de pigments ou de colorants exogènes dans le derme, qu’il s’agisse d’un dessin ou d’un maquillage permanent (sourcils, cils, contours des lèvres). La fréquence des complications cutanées est mal connue car les patients négligent les symptômes mineurs, démangeaisons ou gonflements transitoires. Ils consultent uniquement pour une réaction sévère, invalidante (prurit…), persistante ou si les symptômes s’aggravent. Avec une prévalence croissante des tatouages dans la population générale,1 on peut s’attendre à une augmentation du nombre de consultations pour ce motif.

La législation régulant cette pratique est très variable selon les pays européens et les États américains. En France, aucune formation ou diplôme ne garantit les compétences du « professionnel » (encadré 1).

Une grande diversité de complications cutanées

On peut les classer (encadré 2) soit selon leur délai de survenue (aiguës, subaiguës et retardées), soit selon leur type (infections, hypersensibilité/allergie, tumeurs bénignes et malignes, dermatoses chroniques...).

Les complications aiguës, immédiates ou durant la cicatrisation (normalement 2-3 semaines ; s’inquiéter au-delà d’un mois), comprennent une réaction inflammatoire quasi constante au site tatoué, qui dure de quelques heures à quelques jours avec douleur ou sensibilité d’intensité variable, augmentation de la chaleur locale et induration des traits. Les saignements sont habituellement légers et transitoires, et les hématomes sont rares.

Un eczéma de contact à un topique cicatrisant est à évoquer en cas d’éruption aiguë vésiculeuse prurigineuse au site d’application (fig. 1). Une diffusion de la couleur (tattoo blow out) dans l’hypoderme peut être observée en cas de tatouage sur zones de peau claire et fine (face interne des bras, des avant-bras et dos du pied). Enfin, des adénopathies localisées transitoires peuvent être palpables.2

Infections cutanées et systémiques

Liées à l’introduction de germe durant la séance ou la phase de cicatrisation, ce sont surtout des surinfections bactériennes superficielles avec inflammation locale, pus et croûtes (impétigo, abcès, folliculite, furonculose, ecthyma ; fig. 2). Le traitement comprend antisepsie locale et antibiothérapie topique ou générale adaptée aux prélèvements, a priori contre le staphylocoque (acide fusidique…). Les infections profondes (érysipèle, gangrène) et celles d’évolution fatale (avec septicémie) sont exceptionnelles actuellement. Elles sont le fruit d’une immunodépression sous-jacente combinée à un manque de respect des règles d’hygiène.

Des mycobactérioses environnementales (M. chelonae, M. fortuitum, etc.) ont été rapportées, par usage d’eau du robinet pour diluer l’encre ou plus rarement en cas de contamination du flacon. Elles sont à évoquer devant une éruption papulo-pustuleuse restreinte à une couleur, habituellement des ombrages gris, dans les semaines suivant la séance. L’interrogatoire du tatoueur retrouve souvent la notion d’épidémie : plusieurs clients du même salon ont des symptômes identiques et concomitants. Le traitement antibiotique dure plusieurs mois avec une mono- ou une bithérapie (cyclines, macrolides).

Plus rarement, des cas d’efflorescence de verrues vulgaires et de molluscum contagiosum ont été décrits. L’inoculation virale pourrait être causée par les instruments, une modification de l’immunité locale induite par le pigment, ou une dissémination de lésions infracliniques préexistantes.

La transmission du VIH est exceptionnelle (en prison par partage d’aiguilles).

Actuellement, le tatouage n’est plus considéré comme un facteur de risque de contamination par le VHC s’il est réalisé dans des conditions réglementaires d’asepsie et d’hygiène. Enfin, quelques endocardites aiguës ont été rapportées chez des patients ayant une cardiopathie.3

Hypersensibilité aux colorants

Principal motif de consultation actuel, elle survient dans des délais variables allant de quasi immédiatement après la séance (pas de cicatrisation correcte) à des semaines, des mois, voire des années après une période de « quiescence ». Cliniquement : papules ou nodules infiltrés à la palpation et volontiers prurigineux, pouvant être douloureux (fig. 3). On retrouve parfois une notion de photo-aggravation/photo-déclenchement des lésions. Le prurit invalidant est souvent le motif de consultation. Rouge, rose et violet sont les plus pourvoyeurs de cette réaction (sans que l’on ait précisément encore identifié le ou les coupables dans l’encre).

Sur le plan histologique, cette réaction peut être lichénoïde, eczématiforme, granulomateuse, sarcoïdosique (fig. 4) et pseudolymphomateuse. Le prélèvement est indispensable car un aspect granulomateux doit faire systématiquement rechercher une sarcoïdose systémique. S’il est lichénoïde, il faut éliminer de principe un lichen plan cutané ou muqueux. Les patch tests ne sont pas utiles en raison de résultats discordants. Ces manifestations persistent pendant des mois ou des années. Une résolution spontanée est possible mais dans un délai indéterminable.

Le traitement est difficile. On commence par un dermocorticoïde de très forte activité (propionate de clobétasol pendant 3 mois) ou des infiltrations locales de corticoïdes pendant plusieurs mois voire du tacrolimus topique, hors AMM. En dernier recours, l’exérèse chirurgicale in toto ou la destruction par laser CO2 ou Nd-YAG peut être proposée.4

Un nouveau tatouage de la même couleur est contre-indiqué à vie pour le patient, quelle que soit la marque de l’encre. Un shaving au dermatome ou au scalpel avec cicatrisation dirigée est une alternative efficace et possible au prix d’une cicatrice large.

Tumeurs sur tatouage ?

À ce jour, seul le kérato-acanthome semble possible. Cette tumeur cutanée de malignité intermédiaire, apparentée au carcinome épidermoïde, apparaît rapidement après la procédure (fig. 5). Elle peut être unique ou multiple sur un mode éruptif. Son traitement est l’exérèse chirurgicale. Les autres cancers cutanés sont actuellement considérés comme fortuits.5 Le mélanome se développe le plus souvent de novo au sein du tatouage. Mais ce dernier peut masquer sa détection précoce, retardant le diagnostic.

Un grain de beauté ou une lésion déjà suspecte peuvent être « encrés » accidentellement. La migration des pigments dans les ganglions lymphatiques régionaux les colorent en noir faisant parfois poser à tort le diagnostic de métastase ganglionnaire de mélanome. Un tatouage doit toujours être mentionné en cas d’analyse de biopsie ou de curage ganglionnaire.

Complications diverses

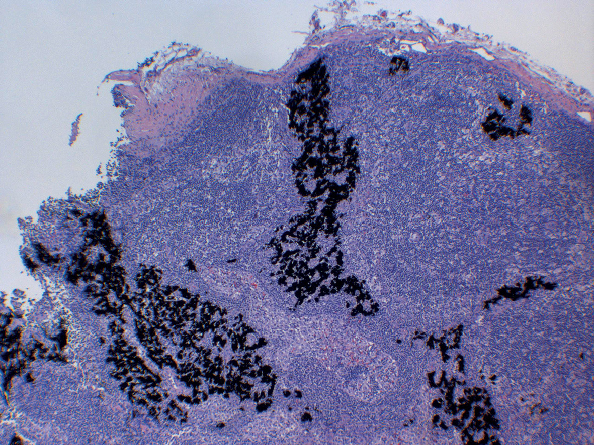
La survenue de dermatoses chroniques au site tatoué peut être comparée à un phénomène de Koebner (fig. 6).3 Les techniques d’imagerie posent parfois des problèmes. Artefacts, distorsions d’images et d’exceptionnels picotements, voire des brûlures ont été observés lors d’IRM, liés aux sels métalliques présents dans le derme. Des fixations ganglionnaires faussement suspectes au TEP-scanner ont également été rapportées dans certains cas, incitant à des biopsies ganglionnaires montrant des ganglions tatoués (fig. 7). Enfin, rappelons que l’épilation laser sur un tatouage est impossible en raison du risque de brûlures.

Une relation de confiance et de respect entre le dermatologue et le patient tatoué est indispensable pour une prise en charge optimale. En cas de réaction chronique, une biopsie cutanée est proposée systématiquement. Une fois l’infection éliminée, un traitement local par dermocorticoïdes de forte activité peut être initié.

Qu’en retenir ?

  • La principale complication est avant tout le regret, un tatouage raté.
  • Les infections cutanées sont précoces et liées à un manque d’asepsie et d’hygiène pendant la séance ou la cicatrisation.
  • Les réactions allergiques encore imprévisibles surviennent surtout sur le rouge.
  • Une éruption cutanée sur un tatouage, principalement noir, peut révéler une sarcoïdose systémique.
  • En cas de dermatose chronique, un phénomène de Koebner est possible.
  • En cas de réaction chronique, une biopsie cutanée est systématique.
Encadre

1. Que dit la loi française ?

En France n’importe qui peut s’improviser tatoueur, en achetant du matériel et en ouvrant un studio. Il y en a plus de 1 500 en France, sans compter les clandestins exerçant à domicile (des kits sont disponibles via internet). La législation française reconnaît les « produits de tatouage ». Leur définition (toute substance ou préparation colorante destinée, par effraction cutanée, à créer une marque sur les parties superficielles du corps humain) et les dispositions prévues pour leur fabrication ainsi que leur utilisation sont inscrites dans le code de la santé publique (loi du 9 août 2004).

Depuis 2008, un décret « fixant les conditions d’hygiène et de salubrité à respecter lors de la pratique du “tatouage avec effraction cutanée (...)” et modifiant le code de la santé publique » est appliqué en France. Ces dispositions règlementent les techniques de tatouage par effraction cutanée, y compris le maquillage permanent et le perçage corporel (articles R. 1311-1 à R. 1311-13 ; articles R. 1312-9 à R. 1312-13). Elles incluent la déclaration des activités de tatouage, la formation des professionnels, notamment aux règles d’hygiène et de salubrité. Par ailleurs, le Conseil de l’Europe a émis le 20 février 2008 une résolution sur les exigences et les critères d’innocuité de ces pratiques (ResAP 2008) adoptée ensuite par la France. Depuis 2022, certaines substances dangereuses contenues dans les encres ont été interdites par l’Agence européenne des produits chimiques (ECHA).

Encadre

2. Complications possibles après tatouage et maquillage permanent (liste non exhaustive)

Infections cutanées

  • À germes pyogéniques : folliculite, abcès, furonculose, érysipèle, fasciite nécrosante, gangrène
  • À germes atypiques : mycobactériose atypique, tuberculose cutanée, lèpre, syphilis (historique), tétanos
  • Virales : verrues, Molluscum contagiosum, herpès
  • Mycosiques et parasitaires : dermatophyties, leishmaniose...

Infections systémiques

  • Hépatite C, VIH
  • Germes inhabituels en cas d’immunosuppression (Vibrio vulnificus…)
  • Endocardite bactérienne
  • Septicémie

Réactions d’hypersensibilité à une couleur

  • Eczématiforme,
  • Lympho-histiocytaire,
  • Lichénoïde,
  • Granulomateuse à corps étrangers
  • Pseudo-lymphomateuse

Tumeurs cutanées

  • Malignes : mélanome, carcinome basocellulaire, épidermoïde...
  • À malignité intermédiaire/réactionnelle : hyperplasie pseudo-carcinomateuse, kérato-acanthome
  • Bénignes : kératoses séborrhéiques, histiocytofibromes...

Dermatoses chroniques (phénomène de Koebner)

  • Psoriasis
  • Lichen plan
  • Vitiligo
  • Lupus cutané…

Perturbations de l’imagerie et autres

  • Dermatoscopie difficile
  • Artefacts radiologiques
  • Picotements/fourmillements, voire brûlure durant une IRM
  • Fausse positivité au TEP-scanner
  • Pseudo-calcifications axillaires sur mammographie
  • Adénopathies de drainage palpables de façon transitoire après tatouage ou chroniques
  • Ganglions noirs macroscopiquement
  • Brûlures si épilation laser
  • Dysfonction des montres connectées
  • Déception, regrets : tatouage impulsif ou sous influence (alcool...)
  • Tatouage non désiré ou ne répondant plus aux attentes du client
Références
1. Kluger N, Misery L, Saité S, et al. Tatoués, qui êtes-vous ? Étude épidémiologique sur un échantillon représentatif de 5 000 Français.  Ann Dermatol Venereol 2017;144(12):S234.
2. Kluger N. Acute complications of tattooing presenting in the ED.  Am J Emerg Med 2012;30:2055-63.
3. Kluger N. Cutaneous and systemic complications associated with tattooing.  Presse Med 2016;45(6 Pt 1):567-76.
4. Kluger N. Réactions dites « allergiques » aux tatouages : prise en charge et algorithme thérapeutique.  Ann Dermatol Venereol 2016;143:436-45.
5. Kluger N, Koljonen V. Tattoos, inks, and cancer.Lancet Oncol 2012;13(4):e161-8.

Dans cet article

Ce contenu est exclusivement réservé aux abonnés