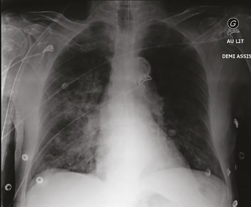
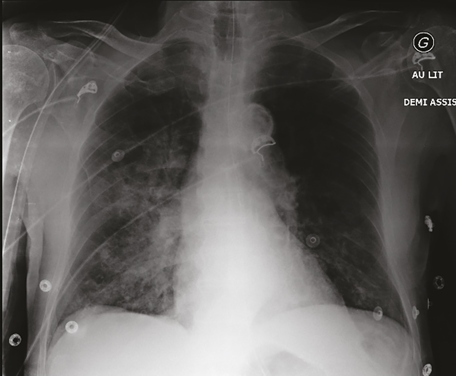
Cet homme de 94 ans, dément et hypertendu dans son Ehpad, était pris en charge par le SMUR pour une détresse respiratoire. Il était constipé depuis 1 semaine, avec des vomissements compliqués d’inhalation. Il avait une saturation en O2 à 50 % en air ambiant, remontée à 70 % sous masque à haute concentration. L’auscultation notait des ronchus et un foyer de crépitants à droite. Dans des matières fécales restées sur le sol se trouvait un long filament jaune (fig. 1 ). La prise en charge initiale consistait en une oxygénation haut débit, une aspiration pharyngée, une antibiothérapie par amoxicilline-acide clavulanique. La radiographie pulmonaire montrait une pneumopathie d’inhalation (fig. 2 ) avec détresse respiratoire dans un contexte de parasitose digestive, responsable d’un syndrome subocclusif. Dans le respect de ses directives anticipées, le patient était hospitalisé en soins palliatifs pour la suite de la prise en charge.
Le tænia est un parasite de type helminthe qui a pour hôte définitif l’homme et pour hôte intermédiaire le porc (Taenia solium) ou le bœuf (Taenia saginata). Ce ver plat, blanc, de taille variable, se développe au sein de leurs muscles, et l’homme est contaminé en mangeant la viande crue ou peu cuite ; sa durée de vie est de plusieurs années. Le parasite grandit ensuite dans l’intestin grêle, entraînant nausées, vomissements, troubles du transit, boulimie. La complication principale est la cysticercose, avec le risque de neurocysticercose. Le traitement prophylactique est l’hygiène des mains et la cuisson de la viande. Le traitement curatif est le praziquantel ou niclosamide.1 Les principales causes d’abdomen aigu parasitaire sont la rupture d’abcès amibien (47 %), l’occlusion ascaridienne, l’appendicite parasitaire, l’invagination intestinale parasitaire et la perforation du grêle ascaridienne.2
Références
1. Association française des enseignants de parasitologie et mycologie. Taeniasis et cysticercose. Université médicale virtuelle francophone, 2014.
2. Essomba A, Chichom Mefire A, Fokou M, et al. Les abdomens aigus d’étiologie parasitaire : analyse d’une série rétrospective de 135 cas. Ann Chir 2006;131:194-7.
2. Essomba A, Chichom Mefire A, Fokou M, et al. Les abdomens aigus d’étiologie parasitaire : analyse d’une série rétrospective de 135 cas. Ann Chir 2006;131:194-7.
Une question, un commentaire ?