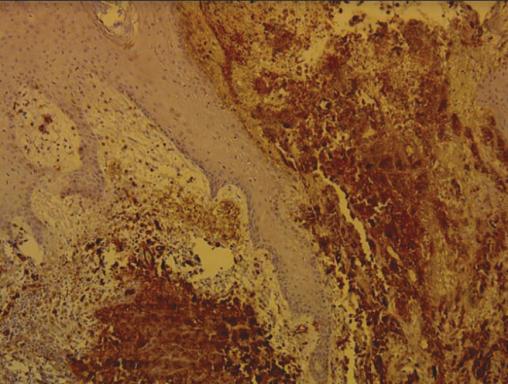
Cette femme de 34 ans consultait pour l’apparition récente (1 mois) de lésions bourgeonnantes violacées saignant au contact sur la face antérieure de la jambe droite ; ce membre étant le siège d’un lymphœdème chronique idiopathique depuis 4 ans. L’examen notait des lésions nodulaires angiomateuses, dont la plus grande avait un grand axe de 3,5 cm, ulcérées au centre, saignant au contact (fig. 1 ). La biopsie cutanée montrait un aspect morphologique et immunohistochimique en faveur d’un angiosarcome (fig. 2 ). La tomographie par émission de positons (fig. 3 ) montrait des plages hypermétaboliques multiples osseuses et tissulaires ainsi que de volumineuses adénopathies multiétagées. Le diagnostic retenu était celui d’angiosarcome métastatique. La patiente décédait une semaine plus tard.
Le syndrome de Stewart-Treves est une entité rare correspondant à un angiosarcome cutané compliquant un lymphœdème chronique. Son incidence serait de 0,07 à 0,45 % chez les patients ayant survécu au moins 5 ans après une mastectomie, avec un délai de 5 à 11 ans. Le pic d’âge se situe entre 65 et 70 ans.1 La survenue sur lymphœdème chronique idiopathique du membre inférieur chez une femme jeune avec un délai de 4 ans est exceptionnelle. La physiopathologie est encore mal élucidée. Le diagnostic histologique est difficile en raison de la double composante vasculaire et lymphatique. L’imagerie, en particulier le TEP-scan, est utile en période préopératoire, à la recherche de localisations secondaires. La chimiothérapie néoadjuvante associée à une chirurgie radicale suivie d’une radiothérapie sont recommandées.2
Références
1. Sharma A, Schwartz R. Stewart-Treves syndrome: pathogenesis and management. J Am Acad Dermatol 2012;67:1342-8.
2. Whitney K, Schapiro B, LaFond AA. An unusual presentation of Stewart-Treves syndrome on the lower extremity. J Am Acad Dermatol 2016;2:397-9.
2. Whitney K, Schapiro B, LaFond AA. An unusual presentation of Stewart-Treves syndrome on the lower extremity. J Am Acad Dermatol 2016;2:397-9.
Une question, un commentaire ?