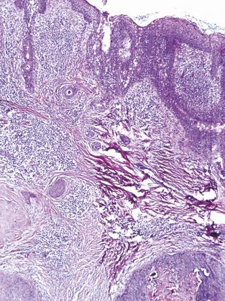
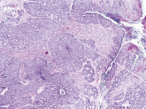
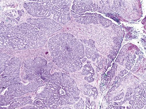
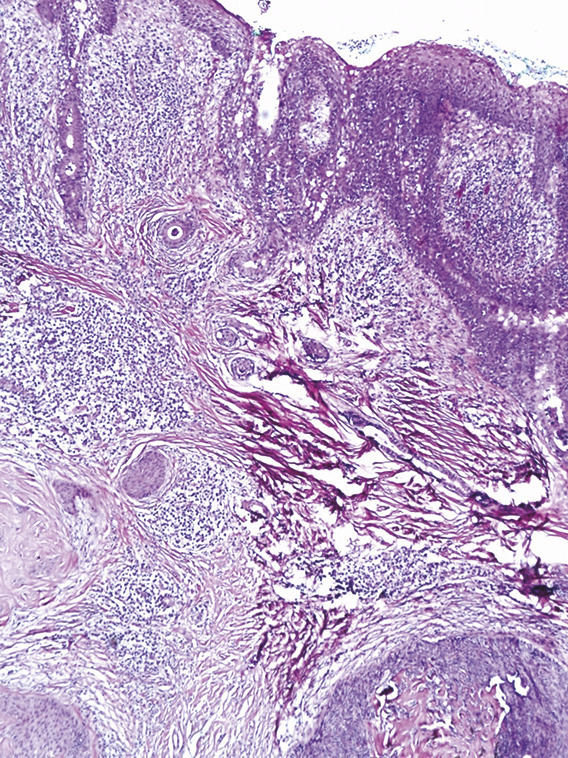
Cet homme de 40 ans, suivi pour un retard mental, consultait pour un placard papuleux blaschko-linéaire, s’étendant de la région médiocervicale à la région temporopariétale gauche évoluant depuis son bas âge, associé à de multiples nodules érythémateux suintants de la joue gauche et du cuir chevelu ainsi qu’à une lésion ulcéro-croûteuse frontale gauche (fig. 1 ). L’étude histologique montrait un hamartome sébacé et quatre tumeurs distinctes : un syringocystadénome, une tumeur combinée associant un syringocystadénome papillifère et un hidradénome, un trichoépithéliome et un carcinome basocellulaire nodulaire (fig. 2 et 3 ). L’examen ophtalmologique et l’IRM craniocérébrale étaient normaux. Le diagnostic d’un syndrome de Schimmelpenning-Feuerstein-Mims compliqué de tumeurs annexielles et d’un basocellulaire était retenu et le patient adressé en chirurgie maxillofaciale pour sa prise en charge.
L’hamartome sébacé est une malformation congénitale atteignant typiquement la tête et le cou. Il peut s’accompagner de malformations complexes dans le cadre du syndrome de Schimmelpenning- Feuerstein-Mims.1 Ce dernier correspond à l’association d’un nævus sébacé et de diverses malformations, oculaires, neurologiques notamment un retard mental. Le développement classique de tumeurs bénignes sur nævus sébacé est rapporté dans la littérature alors que les tumeurs malignes sont plus rares, dominées par le carcinome basocellulaire.2 Le traitement de choix est la chirurgie. Des alternatives peuvent être proposées, notamment la dermabrasion, le laser CO2 et la photothérapie dynamique.
Références
1. Rizzo R, Pavone P. Nevus sebaceous and its association with neurologic involvement. Semin Pediatr Neurol 2015;22:302-9.
2. Idriss MH, Elston DM. Secondary neoplasms associated with nevus sebaceous of Jadassohn: a study of 707 cases. J Am Acad Dermatol 2014;70:332-7.
2. Idriss MH, Elston DM. Secondary neoplasms associated with nevus sebaceous of Jadassohn: a study of 707 cases. J Am Acad Dermatol 2014;70:332-7.
Une question, un commentaire ?