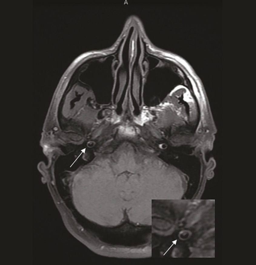
Cet homme de 59 ans consultait pour une gêne de l’œil gauche apparue la veille. Il était traité pour une hypertension artérielle, une dyslipidémie et un accident ischémique transitoire (AIT). À l’examen, on notait un ptôsis, un myosis réactif et une enophtalmie de l’œil gauche (fig. 1) , faisant évoquer un syndrome de Claude-Bernard-Horner. L’IRM cérébrale montrait un aspect irrégulier des carotides internes avec un aspect de pseudo-anévrisme et d’hématome de paroi de la carotide interne droite (fig. 2) (pas d’infarctus cérébral). L’angio-IRM (ARM) cervico-encéphalique confirmait la dissection bicarotidienne avec pseudo-anévrisme bilatéral. Le patient était traité, par héparine non fractionnée (HNF) curative, avec un relai par antivitamine K (AVK). Il était réadmis pour des céphalées irradiant dans l’œil gauche et le cou, des nausées, une photo-phonophobie, et une faiblesse de la jambe droite. L’ARM montrait une dissection bicarotidienne. Le patient avait secondairement un déficit hémicorporel droit suspect d’un AIT carotidien gauche compliquant la dissection carotidienne. L’anticoagulation curative par AVK était maintenue.
vos images
Le syndrome de Claude-Bernard-Horner est lié à un déficit de la chaine oculosympathique, composée de 3 neurones : une lésion située dans l’hypothalamus, le bulbe, la protubérance ou la moelle épinière atteint le 1er neurone ; une affection tumorale au niveau de la moelle cervicale, du plexus brachial ou de l’apex pulmonaire (syndrome de Pancoast-Tobias) peut atteindre le 2e neurone ; une lésion de la carotide interne (dissection ou anévrisme du sinus caverneux) atteint le 3e neurone.1-3 Le signe de Claude-Bernard-Horner est présent dans 40 à 50 % des cas de dissections carotidiennes extracrâniennes (2,6 à 3 cas de dissections cervicales pour 100 000 patients).2, 4 L’objectif de l’anticoagulation curative est un temps de céphaline activée de 2 fois le témoin sous HNF, et un international normalized ratio entre 2 et 3 sous AVK, pendant 3 à 6 mois. La surveillance est une IRM et ARM tous les 3 mois.2, 5
Le syndrome de Claude-Bernard-Horner est lié à un déficit de la chaine oculosympathique, composée de 3 neurones : une lésion située dans l’hypothalamus, le bulbe, la protubérance ou la moelle épinière atteint le 1er neurone ; une affection tumorale au niveau de la moelle cervicale, du plexus brachial ou de l’apex pulmonaire (syndrome de Pancoast-Tobias) peut atteindre le 2e neurone ; une lésion de la carotide interne (dissection ou anévrisme du sinus caverneux) atteint le 3e neurone.1-3 Le signe de Claude-Bernard-Horner est présent dans 40 à 50 % des cas de dissections carotidiennes extracrâniennes (2,6 à 3 cas de dissections cervicales pour 100 000 patients).2, 4 L’objectif de l’anticoagulation curative est un temps de céphaline activée de 2 fois le témoin sous HNF, et un international normalized ratio entre 2 et 3 sous AVK, pendant 3 à 6 mois. La surveillance est une IRM et ARM tous les 3 mois.2, 5
Références
1. Debette S. Pathophysiology and risk factors of cervical artery dissection: what have we learnt from large hospital-based cohorts? Curr Opin Neurol 2014;27:20-8.
2. Biousse V, Guillon B. Dissections des artères cervicoencéphaliques. EMC-Neurologie 2005;2:322-38.
3. Momtchilovaa M, Pelossea B, Abdichea G, et al. Syndrome de Claude Bernard-Horner congénital associé à une hypoplasie de la carotide interne. J Fr Ophtalmol 2009;32:126-30.
4. Segura P, Speeg-Schatz C, Wagner JM, Kern O. Le syndrome de Claude Bernard-Homer et son contraire, le syndrome de Pourfour du Petit, en anesthésie-réanimation. Ann Fr Anesth Reanim 1998;17:709-24.
5. Chapoy E, Blanc R, Guidoux C, Brugières P. Accident ischémique transitoire révélant une hypoplasie segmentaire de l’artère carotide interne associée à un syndrome de Claude Bernard Horner congénital. Rev Neurol (Paris) 2005;161:971-3.
2. Biousse V, Guillon B. Dissections des artères cervicoencéphaliques. EMC-Neurologie 2005;2:322-38.
3. Momtchilovaa M, Pelossea B, Abdichea G, et al. Syndrome de Claude Bernard-Horner congénital associé à une hypoplasie de la carotide interne. J Fr Ophtalmol 2009;32:126-30.
4. Segura P, Speeg-Schatz C, Wagner JM, Kern O. Le syndrome de Claude Bernard-Homer et son contraire, le syndrome de Pourfour du Petit, en anesthésie-réanimation. Ann Fr Anesth Reanim 1998;17:709-24.
5. Chapoy E, Blanc R, Guidoux C, Brugières P. Accident ischémique transitoire révélant une hypoplasie segmentaire de l’artère carotide interne associée à un syndrome de Claude Bernard Horner congénital. Rev Neurol (Paris) 2005;161:971-3.
Une question, un commentaire ?
Sur le même thème
Exercice