Isolée ou associée à d’autres symptômes, vertiges ou acouphènes : motif fréquent de consultation.
Imagerie (scanner ou IRM) : indispensable au diagnostic étiologique.
Le choix dépend du type : surdité de transmission orientant vers une pathologie de l’oreille moyenne ou externe (scanner) ou de perception impliquant l’oreille interne (IRM).

Surdité de transmission

Rechercher/éliminer d’abord une affection de l’oreille externe : ostéome – hypertrophie osseuse dans le conduit auditif externe, non tumorale, patients ayant une activité aquatique régulière – corps étranger, cérumen ou plus rarement tumeur du conduit auditif externe (CAE) : carcinome épidermoïde.
Distinguer pour l’oreille moyenne les surdités à tympan normal ou pathologique.
Indispensable : scanner des rochers sans injection, avec des coupes inframillimétriques permettant des reconstructions dans les 3 plans de l’espace.

À tympan normal

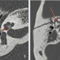
Otospongiose, maladie génétique à transmission autosomique dominante responsable d’une ostéodystrophie de la capsule labyrinthique et notamment d’une ankylose de l’étrier (fig. 1).
Objectifs du scanner :
– faire le diagnostic positif en montrant le foyer otospongieux : hypodensité préstapédienne infra- ou supramillimétrique qui peut s’étendre autour du labyrinthe antérieur ou postérieur ;
– éliminer un diagnostic différentiel, notamment une déhiscence du canal semi-circulaire supérieur (syndrome de Minor) ;
– détecter des variantes anatomiques qui compliqueraient le geste opératoire : procidence du nerf facial, étroitesse de la fenêtre ronde, fixation de la tête du marteau…
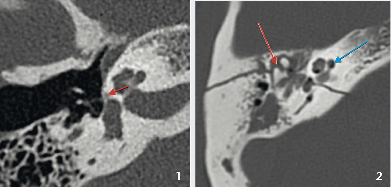
Concerne surtout l’enclume (ou incus), mais aussi le marteau (ou malleus) et l’étrier (ou stapes).
Surdité persistant à distance du traumatisme (après réparation de la membrane tympanique et résorption de l’hémotympan). Le scanner peut montrer une lésion au niveau des osselets : luxation incudo-stapédienne ou incudo-malléaire (fig. 2), dislocation de l’enclume ou fracture ossiculaire, par ordre de fréquence.

Tympan pathologique

Otite chronique (plus de 3 mois)
Le diagnostic d’otite séromuqueuse (OSM) repose sur l’otoscopie et le tympanogramme plat mettant en évidence le liquide rétrotympanique.
Affection surtout pédiatrique, mais pouvant survenir chez l’adulte. Parfois secondaire à un dysfonctionnement tubaire idiopathique, à une allergie, à un foyer infectieux naso-sinusien ou à une tumeur du cavum.
Toute OSM de l’adulte doit faire suspecter une tumeur du cavum et impose une IRM. Bien qu’une OSM simple ne requiert pas de TDM, celle-ci montre des opacités rétractiles dans l'oreille moyenne, sans lyse ossiculaire avec un aspect sclérosé des cellules mastoïdiennes.Le scanner est indiqué :– en cas de poches de rétraction fixées et incontrôlables afin de rechercher des lésions osseuses, ossiculaires et un éventuel cholestéatome associé (stade évolutif grave) ;– pour préciser le siège et les extensions de cette complication.
Toute OSM de l’adulte doit faire suspecter une tumeur du cavum et impose une IRM.
Bien qu’une OSM simple ne requiert pas de TDM, celle-ci montre des opacités rétractiles dans l'oreille moyenne, sans lyse ossiculaire avec un aspect sclérosé des cellules mastoïdiennes.

Le scanner est indiqué :

– en cas de poches de rétraction fixées et incontrôlables afin de rechercher des lésions osseuses, ossiculaires et un éventuel cholestéatome associé (stade évolutif grave) ;
– pour préciser le siège et les extensions de cette complication.
Cholestéatome au scanner : opacité nodulaire à contours convexes, responsable de lyses osseuses (mur de la logette : paroi de la caisse du tympan) et ossiculaires (fig. 3).
Si doute diagnostique surtout en postopératoire, l’IRM fait la distinction en cas de comblement, entre éventuel cholestéatome et rétention ou fibrose inflammatoire associée.
En faveur du premier : franc hypersignal sur la séquence de diffusion non rehaussé après injection de gadolinium, y compris sur les séquences tardives.
Tumeurs. Paragangliome* tympanique et cholestéatome primitif sont les plus fréquentes.
Évoqué sur l’aspect du tympan : bleu pour le premier et masse blanchâtre rétrotympanique pour le second.
Paragangliome au scanner : masse arrondie au contact du promontoire sans lyse osseuse. Confirmation par angio-TDM ou angio-IRM montrant son caractère hypervasculaire.

Surdité de perception

La cause peut être endo- ou rétrocochléaire.

Causes endocochléaires

Pas d’imagerie pour la plupart : presbyacousie, maladie de Menière, atteintes génétiques, toxiques (médicamenteuses), traumatiques et infectieuses.
Une IRM recherche une éventuelle labyrinthite (faisant suite à une otite compliquée, elle se traduit par une prise de contraste pathologique du labyrinthe, après injection de gadolinium).
Si aucune autre cause n’est retrouvée, le scanner peut détecter une otospongiose cochléaire.

Causes rétrocochléaires

Toute surdité unilatérale ou asymétrique impose une IRM pour détecter un schwannome vestibulaire, tumeur bénigne développée aux dépens du nerf vestibulaire inférieur (fig. 4) ou d’autres processus expansifs de l’angle ponto-cérébelleux.
Protocole court (environ 15 minutes en temps- machine). Absence de claustrophobie ou de contre-indication telle que le port d’un pacemaker ou un corps étranger oculaire.
IRM cérébrale avec étude spécifique des conduits auditifs internes (CAI) et des oreilles internes. Analyse fine des paquets nerveux acoustico-faciaux et des oreilles internes. Séquences sans et avec injection de gadolinium notamment pour mettre en évidence un schwannome (prise de contraste nodulaire centrée sur le nerf vestibulo-cochléaire) ou encore une labyrinthite.

Surdité brusque

Apparition brutale ou rapidement progressive d’une surdité de perception sans cause évidente. Elle requiert une IRM pour éliminer une origine : tumorale (schwannome vestibulaire), infectieuse (labyrinthite), vasculaire (AVC)…
Voir l’article « Surdité brusque », page 319

* Tumeur développée aux dépens d’un des paraganglions étagés le long des chaînes parasympathiques depuis la base du crâne jusque dans le thorax.

Dans cet article

Ce contenu est exclusivement réservé aux abonnés
essentiel

Surdité de transmission : scanner des rochers sans injection à la recherche d’une pathologie de l’oreille moyenne. Toute OSM survenant chez l’adulte doit faire suspecter une tumeur du cavum et requiert une IRM. Surdité de perception unilatérale ou asymétrique : IRM cérébrale et des CAI avec injection de gadolinium traquant notamment un schwannome vestibulaire.