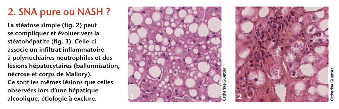
Appelée prosaïquement « foie gras », elle est due à l’accumulation de triglycérides hépatocytaires. C’est la complication hépatique du syndrome métabolique : insulinorésistance (ou diabète), HTA, hypertriglycéridémie, cholestérol HDL bas et excès de graisse viscérale.
Ses causes classiques historiques (médicaments, hépatites virales, maladies héréditaires, nutrition parentérale et diabète) sont largement dépassées par l’obésité de nos jours.
Les adipocytes perturbent le métabolisme hépatique en libèrant de grandes quantités d’acides gras libres, ainsi que des cytokines inflammatoires (TNF, IL-6).
Sa prévalence explose : 20 à 30 % de la population adulte, 2 à 3 % au stade avancé de stéatohépatite ou NASH (Non Alcoholic SteatoHepatitis).
 

Pourquoi la dépister ?


Le risque cirrhotique de la stéatose pure est de 1 à 2 % après une quinzaine d’années. En cas de NASH, il est de 10 à 15 % ; 80 % des cirrhoses dites idiopathiques lui seraient imputables.
La surmortalité est avérée, particulièrement en cas de stéatohépatite (10 % des patients). Elle est cardiovasculaire (33 % des décès, essentiellement d’origine coronaire), puis cancéreuse (28 %, d’abord côlon et pancréas), et par insuffisance hépatique (13 % de ruptures de varices œsophagiennes ou de carcinomes hépatocellulaires).
Surveiller les patients est donc indispensable.
À noter : la NASH peut évoluer vers le cancer sans passer par le stade intermédiaire de cirrhose.
Le dépistage est d’autant plus nécessaire que la stéatose non alcoolique et sa complication inflammatoire (la NASH) sont réversibles par une prise en charge énergique portant sur l’hygiène de vie.

 

 

 

Comment la reconnaître ?

Habituellement asymptomatique, la stéatose est de découverte fortuite dans la plupart des cas :
– hypertransaminasémie (mais 80 % des malades ont des transaminases normales) ;
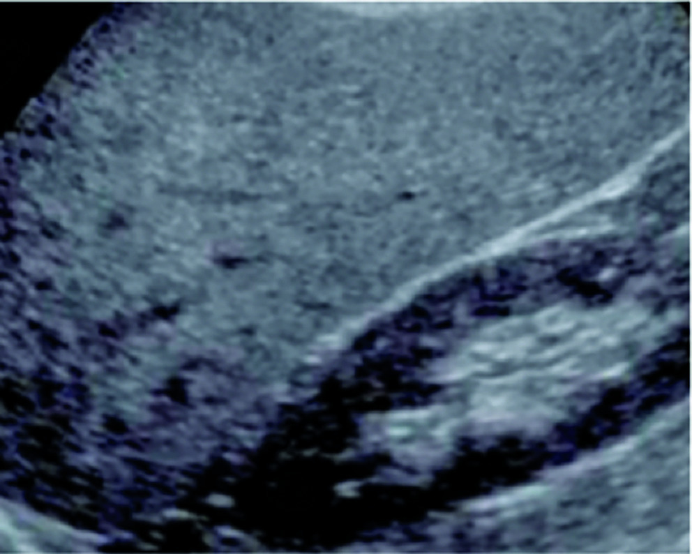
– échographie abdominale : aspect hyperéchogène (quand au moins 30 % des hépatocytes sont stéatosiques). Sa sensibilité est de 80 % et sa spécificité est supérieure à 90 % (pas de supériorité du scanner) ;
– l’IRM quantifie la stéatose mais n’évalue pas l’inflammation.
Elle doit être recherchée devant tout syndrome métabolique, en particulier lorsque le tour de taille est supérieur à 94 cm chez l’homme et 80 cm chez la femme.
Éliminer un alcoolisme est indispensable.

Sa complication/évolution en NASH ne peut être diagnostiquée sur la seule augmentation des transaminases.
La fiabilité des tests non invasifs de fibrose hépatique (tests sanguins, élastométrie par Fibroscan [moins sensible quand l’IMC est supérieur à 30] ou élastométrie transsonore disponible sur la plupart des échographes) paraît bonne dans les formes sévères. Ils pourraient permettre d’identifier les malades à risque.
Le diagnostic formel relève de la biopsie hépatique, qui du fait de ses risques, est discutée au cas par cas.
La stratégie de prise en charge des patients doit être validée par les différentes sociétés savantes impliquées dans les hépatopathies métaboliques et le remboursement des tests non invasifs reste à étendre à cette indication.

 

Prise en charge

Le principe est simple : maigrir, perdre de la graisse viscérale, ce qui abaisse l’insulinorésistance. Mais cet objectif est difficile à atteindre en raison de la réticence des patients à adopter une hygiène rigoureuse sur le long terme.
Chez les grands obèses traités par chirurgie bariatrique : disparition de la stéatohépatite et régression de la fibrose en 1 à 4 ans après l’intervention.
Pour les patients ne relevant pas de cette chirurgie, une perte de poids progressive et maintenue (régime et activité physique) a les mêmes effets. Dans une étude cubaine, un amaigrissement de 10 % fait disparaître les signes histologiques dans 90 % des cas (Vilar-Gomez E, et al. Gastro-enterology 2015).
Attention : une perte de poids rapide et intense (1 kg et plus par semaine) peut aggraver la stéato-hépatite.
Plusieurs médicaments ont été évalués mais n’ont pas prouvé leur intérêt en 2017 : metformine, oméga 3, acide ursodésoxycholique, statines ou pioglitazone ne sont pas recommandés.
La vitamine E, intéressante par ses propriétés antioxydantes, n’est pas retenue, faute de certitude quant à son innocuité à long terme.
Diverses molécules sont en cours d’évaluation, sans qu’aucune n’émerge des essais cliniques à ce jour. l

Encadre

1. Autres étiologies d’une hypertransaminasémie

• Hépatites virales B et C

• Alcoolisme chronique

• Médicaments hépatotoxiques

• Hémochromatose

• Hypergammaglobulinémie : rechercher une maladie auto-immune

Encadre

3. Bilan ferrique d’interprétation difficile

Le syndrome métabolique de la stéatose non alcoolique provoque une hypersécrétion d’hepcidine, hormone régulatrice de l’absorption du fer, avec accumulation de celui-ci dans les macrophages.

Chez les malades atteints de SNA, la ferritinémie modérément augmentée contraste avec une saturation normale de la transferrine. Si cette dernière est franchement élevée, la charge ferrique peut être évaluée par IRM pour argumenter l’intérêt des saignées.

Encadre

Que dire au patient ?

Le traitement de la stéatose non alcoolique (et du syndrome métabolique) passe par une perte de poids, donc par le régime alimentaire et l’exercice physique.

Une approche multidisciplinaire est nécessaire, impliquant le généraliste, les spécialistes d’organe (hépatologue, endocrinologue, cardiologue), le diététicien, le psychologue, voire le chirurgien dans les obésités sévères.

Dans cet article

Ce contenu est exclusivement réservé aux abonnés