Cette patiente de 54 ans consultait pour une masse de la face antérieure de la cuisse gauche évoluant depuis un an. Cliniquement, il existait une tumeur de 6 × 7 cm, irrégulière, ulcéro-bourgeonante, érythémato-violine avec une base indurée (fig. 1), ainsi que sept nodules sous-cutanés au niveau du dos et des bras et deux adénopathies inguinales homolatérales.
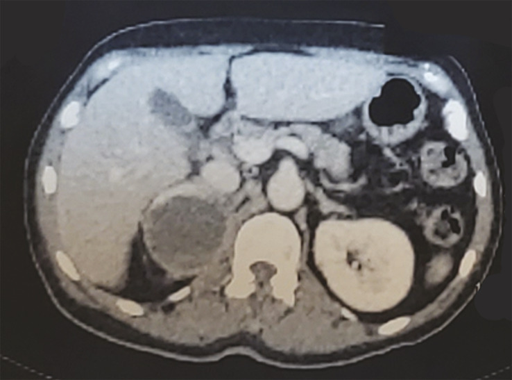
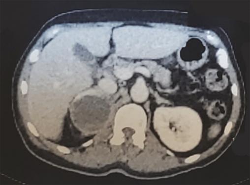
La biopsie de la tumeur a révélé une prolifération maligne dermique, composée de cellules rondes d’aspect épithélioïde, de grande taille et pourvues de volumineux noyaux ovoïdes hyperchromatiques et anisocaryotiques, positive pour Melan-A, PS100 et HMB-45 en immunohistochimie. La biopsie-exérèse d’un nodule sous-cutané dorsal était en faveur d’une métastase. Le diagnostic de sarcome cutané à cellules claires (SCC) a été retenu, et le bilan d’extension a objectivé une masse surrénalienne droite (fig. 2) : un phéochromocytome a été évoqué, puis confirmé par un taux élevé de catécholamines et de leurs dérivés méthoxylés. La patiente a bénéficié de l’exérèse chirurgicale de la masse surrénalienne et de la tumeur cutanée, puis a été adressée en oncologie pour une chimiothérapie.

Le sarcome à cellules claires (SCC) est une tumeur rare (moins de 1 % des sarcomes des tissus mous).1 Il atteint les adultes jeunes, sans prédominance de sexe,2 et les extrémités, en particulier les pieds et les mains.3 L’examen anatomopathologique et l’immunohistochimie posent le diagnostic. Au plan microscopique, le SCC se présente généralement comme une croissance fasciculaire composée de cellules fusiformes avec des noyaux ovoïdes centraux et un cytoplasme éosinophile pâle abondant.2 L’immunohistochimie est positive pour le HMB-45, le facteur de transcription de la microphtalmie (MITF), la protéine S100 et les marqueurs Melan A dans respectivement 90, 71, 64 et 43 % des cas.1 Le SCC se caractérise par un mode de croissance invasif, une tendance à la récidive, une propagation lymphatique et des métastases pulmonaires. Une taille tumorale supérieure à 5 cm, la nécrose, des métastases et une récidive locale sont associées à un mauvais pronostic. L’imagerie par résonance magnétique est généralement utilisée pour caractériser la lésion et son extension alors que la tomodensitométrie ou le TEP-scan recherchent les métastases à distance. L’exérèse chirurgicale large reste le pilier du traitement. La chimiothérapie est habituellement réservée aux patients dont la maladie est métastatique.4

Références

1. Bali A, Roy M, Chikkannaiah P, Dhorigol V. Cutaneous clear cell sarcoma: a rare aggressive tumor with potential diagnostic challenge. J Lab Physicians 2012;4:53-5.
2. Albeshri MA, Ashour A. Clear cell sarcoma of the foot in an 18-year-old female. Case Rep Orthop 2019;8378106.
3. Chuang YT, Lin TY, Hsu CJ. A case of cutaneous clear cell sarcoma determined by clinicopathological and cytogenetic analysis. Dermatologica Sinica 2012;30:101-4.
4. Obiorah IE, Brenholz P, Özdemirli M. Primary clear cell sarcoma of the dermis mimicking malignant melanoma. Balkan Med J 2018;5:203-7.

Une question, un commentaire ?

Sur le même thème