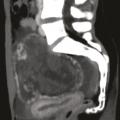
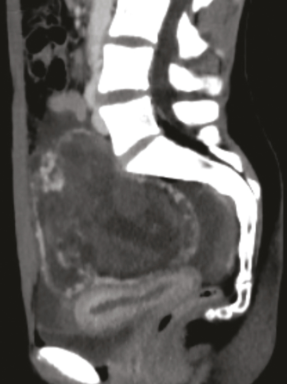
Cette jeune fille de 16 ans était admise aux urgences pour une hémorragie interne, en état de choc. Elle avait reçu un coup de sabot de cheval dans le bas ventre. La tomodensitométrie abdomino-pelvienne montrait un épanchement intra-abdominal abondant et une masse hétérogène au niveau du pelvis avec une extravasation de produit de contraste en faveur d’un saignement actif et évoquant une contusion mésentérico-intestinale (fig. 1 ). L’état hémodynamique de la patiente s’étant déstabilisé, une laparotomie était décidée ; l’application de deux pinces de Bengoléa sur les vaisseaux rompus (fig. 2 et 3 ) permettait de contrôler l’hémorragie. Devant une modification architecturale manifeste de l’ovaire, une annexectomie non conservatrice était réalisée. Les suites opératoires étaient normales. L’anatomopathologie était en faveur d’une tumeur stromale bénigne. Une déclaration systématique dans le réseau national des tumeurs rares de l’ovaire de l’Institut national du cancer était faite.
Les tumeurs stromales sont rarement ovariennes ; elles sont en général bénignes mais peuvent se transformer en tumeurs malignes. Le plus souvent, elles sont diagnostiquées chez l’adolescente et la femme jeune.1 Elles sont asymptomatiques pendant plusieurs années et peuvent rester indécelables. Mais, lorsqu’elles sont volumineuses, elles peuvent occasionner des douleurs abdo-minales en rapport avec une torsion de l’annexe ou une compression de voisinage. Leur découverte peut être fortuite lors d’un examen iconographique. Ces tumeurs n’ont pas d’aspect échographique spécifique, elles peuvent avoir une allure solide ou kystique. La tomodensitométrie est un outil diagnostic performant.
Le traitement est chirurgical et doit être le plus conservateur possible chez la femme jeune.2 La cœlioscopie est la voie d’abord de prédilec-tion en dehors des urgences absolues.
Le traitement est chirurgical et doit être le plus conservateur possible chez la femme jeune.2 La cœlioscopie est la voie d’abord de prédilec-tion en dehors des urgences absolues.
Références
1. Cayrol M, Ouldamer L, Marret H. Tumeurs ovariennes. Rev Prat 2013;63:259-65.
2. Garcia AA, Morrow CP. Stromal tumors of the ovary. In : Raghavan D, Brecher M, Johnson DH, et al. Textbook of uncommon cancer (2nd ed.). John Wiley & Sons 1999:661-9.
2. Garcia AA, Morrow CP. Stromal tumors of the ovary. In : Raghavan D, Brecher M, Johnson DH, et al. Textbook of uncommon cancer (2nd ed.). John Wiley & Sons 1999:661-9.