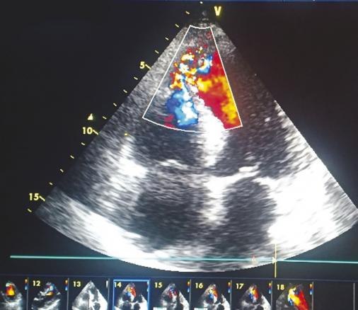
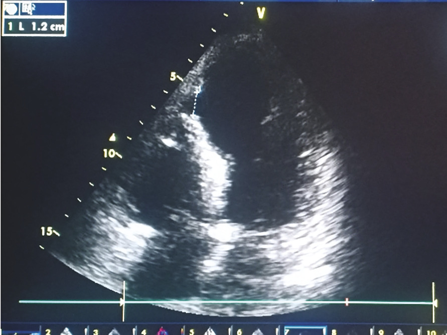
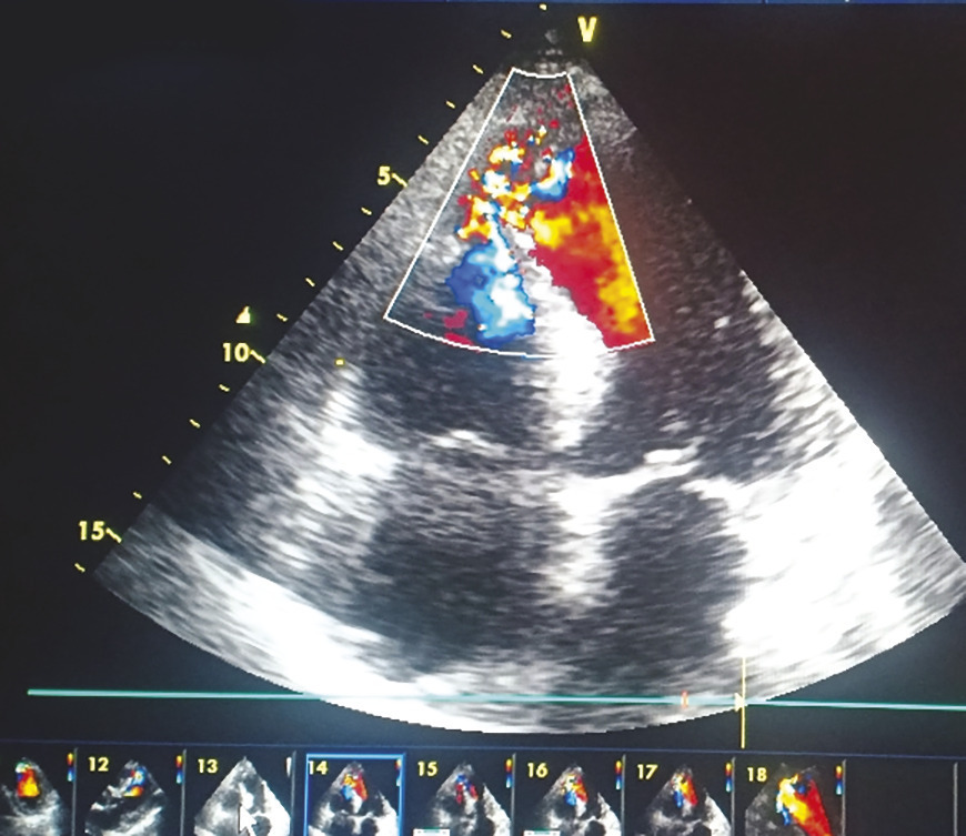
Cet homme de 70 ans à très haut risque cardiovasculaire cumulant diabète, hypertension artérielle et tabagisme, consultait 48 heures après une douleur thoracique angineuse, pour une dyspnée de repos. À l’examen on notait des signes de décompensation cardiaque droite, avec à l’auscultation un souffle holosystolique râpeux en parasternal gauche, irradiant en rayon de roue. L’électrocardiogramme montrait des séquelles d’ischémie en antérieur étendu et l’échocardiographie visualisait une large communication interventriculaire (CIV) musculaire avec shunt gauche-droite (fig. 1 et 2 ). La coronarographie montrait des lésions bitronculaires. La revascularisation chirurgicale et la fermeture de la CIV étaient réalisées sous circulation extracorporelle avec des suites opératoires simples.
La communication interventriculaire compliquant un infarctus du myocarde est une complication rare mais redoutable, associée à un taux de mortalité très élevé qui avoisine 97 % à 30 jours de l’infarctus.1 Son diagnostic repose sur la suspicion clinique et la confirmation échocardiographique.
La stabilisation hémodynamique médicamenteuses ou la pose d’un ballon de contre-pulsion intra-aortique constitue le vrai défi du traitement. La fermeture chirurgicale ou percutanée améliore nettement le pronostic et permet de diminuer la mortalité à 30 % à 30 jours.2
La stabilisation hémodynamique médicamenteuses ou la pose d’un ballon de contre-pulsion intra-aortique constitue le vrai défi du traitement. La fermeture chirurgicale ou percutanée améliore nettement le pronostic et permet de diminuer la mortalité à 30 % à 30 jours.2
Références
1. Rey F, Rigamonti F, Chaara J, et al. Communication interventriculaire post-infarctus du myocarde. Rev Med Suisse 2017;13:1088-93.
2. Tricard J, Le Guyader A. Chirurgie des complications de l’infarctus (anévrisme et remodelage ventriculaire, communication interventriculaire, rupture myocardique, insuffisance mitrale aiguë). EMC. Techniques chirurgicales - Thorax 2017;34:1-20.
2. Tricard J, Le Guyader A. Chirurgie des complications de l’infarctus (anévrisme et remodelage ventriculaire, communication interventriculaire, rupture myocardique, insuffisance mitrale aiguë). EMC. Techniques chirurgicales - Thorax 2017;34:1-20.
Une question, un commentaire ?
Sur le même thème
Article
Article