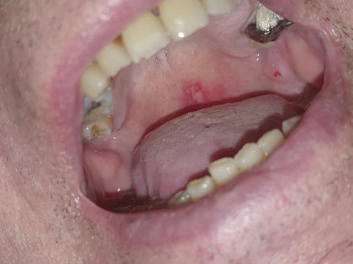
Sylvain, 53 ans, consulte pour douleurs oropharyngées importantes, apparues cinq jours plus tôt, après un traitement par corticoïdes pour une angine virale prescrit par un confrère. Il a très fréquemment, depuis son adolescence, des « boutons de fièvre » et des douleurs buccales. L’examen clinique met en évidence un bouquet de vésicules au niveau du palais (photo ).
L’herpès orofacial est une affection virale due, dans la majorité des cas, à Herpès simplex virus de type 1 (HSV1), dont la contamination est strictement interhumaine.
Cette infection est fréquente : la séroprévalence de HSV1 est proche de 70 % chez l’adulte.
La primo-infection survient le plus souvent dans l’enfance ; elle est asymptomatique dans 90 % des cas. Rarement, elle se manifeste, après une semaine d’incubation, par une stomatite vésiculeuse associée à une hyperthermie, une dysphagie et une anorexie.
La récurrence oropharyngée se caractérise par l’apparition de lésions vésiculeuses parfois pustuleuses, en bouquet, avec pharyngite, voire laryngite ou œsophagite.
Dans les formes de récurrence peu sévères, l’abstention thérapeutique est de mise. Pour les formes sévères, le traitement repose sur l’administration du valaciclovir (2 × 2 g durant 1 jour). Il permet de réduire la durée des symptômes d’un à deux jours.
En cas de récurrences fréquentes (plus de 6 par an) ou en cas de retentissement socioprofessionnel, un traitement préventif est possible : aciclovir (4 × 200 mg en 2 prises) ou valaciclovir (500 mg/j) pendant six à douze mois. Si les lésions itératives sont induites par le soleil, la photoprotection permet d’éviter les récurrences.
Cette infection est fréquente : la séroprévalence de HSV1 est proche de 70 % chez l’adulte.
La primo-infection survient le plus souvent dans l’enfance ; elle est asymptomatique dans 90 % des cas. Rarement, elle se manifeste, après une semaine d’incubation, par une stomatite vésiculeuse associée à une hyperthermie, une dysphagie et une anorexie.
La récurrence oropharyngée se caractérise par l’apparition de lésions vésiculeuses parfois pustuleuses, en bouquet, avec pharyngite, voire laryngite ou œsophagite.
Dans les formes de récurrence peu sévères, l’abstention thérapeutique est de mise. Pour les formes sévères, le traitement repose sur l’administration du valaciclovir (2 × 2 g durant 1 jour). Il permet de réduire la durée des symptômes d’un à deux jours.
En cas de récurrences fréquentes (plus de 6 par an) ou en cas de retentissement socioprofessionnel, un traitement préventif est possible : aciclovir (4 × 200 mg en 2 prises) ou valaciclovir (500 mg/j) pendant six à douze mois. Si les lésions itératives sont induites par le soleil, la photoprotection permet d’éviter les récurrences.
Pour en savoir plus
Agbo-Godeau S. Pathologies bénignes de la muqueuse buccale. Rev Prat 2019;69(8):850-5.
Une question, un commentaire ?
Sur le même thème
Article
Article Web
Article
Article
Exercice
Article