L’objectif premier est de restaurer la fonction articulaire en soulageant la douleur. D’importants progrès dans leur conception ont permis de bons résultats fonctionnels et une morbidité faible. Le remplacement prothétique pour les pathologies avancées de cette articulation est donc progressivement devenu une intervention courante.
La prothèse d’articulation temporo-mandibulaire est une solution thérapeutique de remplacement articulaire de plus en plus utilisée en chirurgie maxillo-faciale. Elle s’adresse aux patients ayant une limitation de l’ouverture buccale et des douleurs chroniques dues à une pathologie articulaire avancée. Même si son développement est en plein essor, cette chirurgie est encore beaucoup moins répandue et connue que ses équivalents en chirurgie orthopédique. L’anatomie de cette articulation n’est pas seule en cause ; l’histoire tumultueuse des prothèses explique aussi ce retard. D’importantes avancées ont été réalisées ces dernières années et le recours aux systèmes actuellement disponibles sur le marché ne doit plus être redouté.
Rappels anatomiques
L’articulation temporo-mandibulaire relie la mandibule au massif facial. Elle unit la fosse mandibulaire de l’os temporal avec le condyle mandibulaire. C’est une articulation bi-condylaire instable, renforcée par une capsule articulaire et dont la congruence est assurée par un disque fibrocartilagineux de la forme d’un globule rouge.
C’est l’articulation la plus mobile du corps humain. Elle peut exécuter trois types de mouvements différents, en synergie avec son homologue controlatéral : mouvements d’abaissement-élévation de la mandibule, mouvements de propulsion-rétropulsion, et mouvements de latéralité ou diduction.
Elle fait partie intégrante de l’appareil manducateur et les muscles en rapport étroit avec cette articulation, appelés masticateurs, sont au nombre de quatre : le muscle temporal, le muscle masséter, les muscles ptérygoïdiens latéral et médial.
C’est l’articulation la plus mobile du corps humain. Elle peut exécuter trois types de mouvements différents, en synergie avec son homologue controlatéral : mouvements d’abaissement-élévation de la mandibule, mouvements de propulsion-rétropulsion, et mouvements de latéralité ou diduction.
Elle fait partie intégrante de l’appareil manducateur et les muscles en rapport étroit avec cette articulation, appelés masticateurs, sont au nombre de quatre : le muscle temporal, le muscle masséter, les muscles ptérygoïdiens latéral et médial.
Lire aussi | Dysfonction de l’appareil manducateur
Douleur et limitation de l’ouverture buccale
La symptomatologie en lien avec l’articulation temporo-mandibulaire est dominée par deux symptômes majeurs et parfois extrêmement invalidants : la douleur et la limitation de l’ouverture buccale. Les pathologies en cause peuvent schématiquement être classées selon deux grands cadres nosologiques : les pathologies purement fonctionnelles, regroupées sous le terme de « dysfonction », et les pathologies entraînant une modification anatomique de l’articulation.
Dysfonctions
Les dysfonctions, fréquentes, touchent plus volontiers des femmes jeunes (20-40 ans) et peuvent se manifester par des arthralgies, myalgies, limitation de l’ouverture buccale, bruits articulaires (claquements, craquements, ressauts), épisodes de blocage, céphalées ou encore otalgies.
Cette symptomatologie est souvent plurifactorielle.1
Il est estimé que 80 % de ces patients sont traités de façon adéquate par des techniques conservatrices simples : règles hygiénodiététiques, anti-inflammatoires, kinésithérapie spécialisée et gouttière occlusale.2
Les dysfonctions de l’articulation temporo-mandibulaire liées notamment à des désordres intra-articulaires, non soulagées par les traitements de première ligne, peuvent être traités par le lavage de l’articulation par arthrocentèse associé ou non au repositionnement du disque articulaire par arthroscopie.
Cette symptomatologie est souvent plurifactorielle.1
Il est estimé que 80 % de ces patients sont traités de façon adéquate par des techniques conservatrices simples : règles hygiénodiététiques, anti-inflammatoires, kinésithérapie spécialisée et gouttière occlusale.2
Les dysfonctions de l’articulation temporo-mandibulaire liées notamment à des désordres intra-articulaires, non soulagées par les traitements de première ligne, peuvent être traités par le lavage de l’articulation par arthrocentèse associé ou non au repositionnement du disque articulaire par arthroscopie.
Pathologies remodelantes
À l’inverse, les pathologies responsables d’une dégradation anatomique majeure nécessitent le plus souvent un traitement chirurgical. Au même titre que la hanche ou le genou, l’articulation temporo-mandibulaire peut être le siège de processus dégénératifs articulaires. L’arthrose, en entraînant une détérioration progressive du cartilage articulaire et des modifications subséquentes des structures osseuses sous-jacentes, est à l’origine de la même symptomatologie que les dysfonctions de l’articulation temporo-mandibulaire. Dans les cas les plus avancés, les patients peuvent avoir des troubles de l’articulé dentaire et des déformations dentofaciales. Les signes radiologiques sont assez caractéristiques et semblables à ceux notés sur les autres articulations touchées par l’arthrose : érosion, kystes sous-chondraux, aplatissement du condyle, diminution de l’espace inter-articulaire, « bec d’oiseau » avec présence d’ostéophytes. (fig. 1 ).
Bien d’autres pathologies peuvent engendrer des modifications anatomiques irréversibles de l’articulation temporo-mandibulaire : les ankyloses, les tumeurs, les maladies inflammatoires, les malformations congénitales, etc.
L’ankylose se traduit par une constriction permanente des mâchoires, définie par une limitation chronique de l’ouverture buccale (inférieure à 30 mm). Elle résulte de la fusion entre le condyle mandibulaire et le crâne. Elle est le plus souvent la conséquence de traumatismes et notamment de fractures condyliennes.
Face à une symptomatologie bruyante en échec de traitement fonctionnel, un bilan d’imagerie (orthopantomogramme, tomodensitométrie [TDM], imagerie par résonance magnétique [IRM]) est indispensable pour faire la part entre dysfonctions et pathologies remodelantes.
En présence d’une articulation déformée, voire détruite et par conséquent non fonctionnelle, la solution chirurgicale à proposer est le remplacement articulaire.
Bien d’autres pathologies peuvent engendrer des modifications anatomiques irréversibles de l’articulation temporo-mandibulaire : les ankyloses, les tumeurs, les maladies inflammatoires, les malformations congénitales, etc.
L’ankylose se traduit par une constriction permanente des mâchoires, définie par une limitation chronique de l’ouverture buccale (inférieure à 30 mm). Elle résulte de la fusion entre le condyle mandibulaire et le crâne. Elle est le plus souvent la conséquence de traumatismes et notamment de fractures condyliennes.
Face à une symptomatologie bruyante en échec de traitement fonctionnel, un bilan d’imagerie (orthopantomogramme, tomodensitométrie [TDM], imagerie par résonance magnétique [IRM]) est indispensable pour faire la part entre dysfonctions et pathologies remodelantes.
En présence d’une articulation déformée, voire détruite et par conséquent non fonctionnelle, la solution chirurgicale à proposer est le remplacement articulaire.
Histoire du remplacement articulaire
Le tout premier système prothétique remonte aux années 1840 et était conçu entièrement en bois !3 Par la suite, d’autres matériaux tout aussi surprenants ont été utilisés comme l’ivoire ou l’or. Il faut attendre les années 1970 pour que les premiers fabricants, encouragés par les résultats probants des prothèses articulaires développées en chirurgie orthopédique, proposent leur modèle de prothèse totale d’articulation temporo-mandibulaire. Leur création a été émaillée de plusieurs échecs et scandales sanitaires dans les années 1990, liés principalement à l’utilisation de matériaux non conformes (Silastic, Téflon, prothèse tout en métal). Plusieurs cas de réactions à corps étranger étendues ont été répertoriés, responsables de syndromes douloureux chroniques, difficiles à traiter et compromettant les autres solutions de remplacement articulaire. Des métalloses, des résorptions de la fosse et des fractures de prothèse ont également été enregistrées, conduisant à l’arrêt de la production et à la méfiance des chirurgiens maxillo-faciaux durant plusieurs années.
Ces déboires expliquent que les greffes autologues, notamment costo-chondrales, ont longtemps été préférées. La côte et son cartilage attenant possèdent une certaine ressemblance anatomique avec le condyle, et son potentiel de croissance en fait une solution de choix pour la reconstruction de l’articulation temporo-mandibulaire, notamment chez l’enfant. Cependant les résultats sont peu fiables, du fait du risque de résorption, de croissance excessive et de (ré)ankylose. Leur désavantage réside aussi dans la nécessité d’un deuxième site opératoire pour leur prélèvement.
Ces déboires expliquent que les greffes autologues, notamment costo-chondrales, ont longtemps été préférées. La côte et son cartilage attenant possèdent une certaine ressemblance anatomique avec le condyle, et son potentiel de croissance en fait une solution de choix pour la reconstruction de l’articulation temporo-mandibulaire, notamment chez l’enfant. Cependant les résultats sont peu fiables, du fait du risque de résorption, de croissance excessive et de (ré)ankylose. Leur désavantage réside aussi dans la nécessité d’un deuxième site opératoire pour leur prélèvement.
Prothèses actuelles
Les matériaux actuellement employés pour leur fabrication (Biomet [fig. 2 ] et TMJ Concepts) sont utilisés depuis plus de 50 ans en orthopédie et ont fourni la preuve de leur biocompatibilité et de leur résistance. Il s’agit du polyéthylène de haut poids moléculaire pour l’implant de fosse temporale et d’un alliage de cobalt-chrome associé ou non à du titane pour l’implant condylien. Ces prothèses ont fait l’objet d’essais mécaniques rigoureux en laboratoire avant d’obtenir l’approbation de la Food and Drug Administration. Biomet a le monopole de la fabrication en France. Le coût d’une prothèse totale standard est de 5 700 euros, celui d’une prothèse faite sur mesure est 2 fois supérieur.
Indications
Le remplacement prothétique a pour but principal de restaurer la fonction et de corriger une déformation. Il s’adresse au patient ayant une limitation de l’ouverture buccale et des douleurs chroniques liées à l’articulation temporo-mandibulaire après échec des traitements conservateurs. La Haute Autorité de santé (HAS) a établi son remboursement en 2013 en en précisant les indications, « reconstruction de l’articulation temporo-mandibulaire après une greffe ostéochondrale en l’absence d’alternative ou en première intention en cas de perte de substance osseuse massive ou en cas d’ankylose affectant la base du crâne ».4 La population cible estimée selon la HAS serait de maximum 50 patients par an. Le remplacement articulaire par prothèse totale est en réalité proposé plus largement, lorsque l’articulation est endommagée, sujette à une modification anatomique et responsable d’un handicap fonctionnel.
Des indications de plus en plus fréquentes
En France, entre janvier 2014 et juillet 2019, environ 150 prothèses totales de l’articulation temporo-mandibulaire ont été posées avec une croissance annuelle constante (27 en 2013 contre 44 en 2018). En comparaison, aux États-Unis, environ 500 prothèses ont été posées en 2013 et 600 en 2014. Aujourd’hui, les préventions négatives à l’égard de cette chirurgie ne se justifient plus. Ces prothèses ont permis d’obtenir des résultats postopératoires meilleurs que ceux constatés après greffe costo-chondrale.9 La diminution de la douleur, l’amélioration de la fonction avec notamment la reprise d’une alimentation normale sont aujourd’hui des objectifs atteints et stables dans le temps. L’amélioration de la qualité de vie des patients s’élève à 85 % en postopératoire.10 Il apparaît que le nombre d’interventions chirurgicales préalables au remplacement articulaire par prothèse soit un facteur de mauvais pronostic sur les résultats (douleur, fonction et ouverture buccale) postopératoires. En effet, plusieurs études rapportent une association significative entre le nombre d’échecs de chirurgies antérieures et la diminution de l’efficacité des prothèses. Ce constat soutient l’hypothèse d’un recours trop tardif à la prothèse et encourage à proposer plus précocement cette solution aux patients requérant une chirurgie. Par ailleurs, le développement de la modélisation informatique a participé aux progrès réalisés dans la conception des prothèses. La possibilité de bénéficier d’une planification chirurgicale et d’utiliser des systèmes sur mesure grâce à l’impression 3D représente un atout majeur notamment dans les cas les plus complexes de reconstruction. Compte tenu de l’avancée de la numérisation, le recours au sur-mesure devrait se généraliser dans les années à venir et contribuer encore à l’évolution des prothèses de l’articulation temporo-mandibulaire.
Bilan préopératoire
Il inclut les éléments suivants :
– une TDM non injectée en coupes fines (idéalement de 0,5 mm), acquis en relation centrée permettant d’obtenir la reconstruction tridimensionnelle des structures osseuses ;
– une IRM pour étudier la position et la morphologie du disque articulaire ainsi que l’inflammation et l’étendue des lésions dégénératives ;
– un bilan odontologique avec panoramique dentaire afin d’éliminer tout foyer infectieux dentaire et de traiter un éventuel bruxisme pouvant compromettre la stabilité du matériel en postopératoire ;
– une première évaluation en kinésithérapie spécialisée pour bilan des fonctions et préparation du patient au postopératoire ;
– un bilan allergologique éliminant une intolérance aux composants métalliques de la prothèse (chrome, cobalt, molybdène).
– une TDM non injectée en coupes fines (idéalement de 0,5 mm), acquis en relation centrée permettant d’obtenir la reconstruction tridimensionnelle des structures osseuses ;
– une IRM pour étudier la position et la morphologie du disque articulaire ainsi que l’inflammation et l’étendue des lésions dégénératives ;
– un bilan odontologique avec panoramique dentaire afin d’éliminer tout foyer infectieux dentaire et de traiter un éventuel bruxisme pouvant compromettre la stabilité du matériel en postopératoire ;
– une première évaluation en kinésithérapie spécialisée pour bilan des fonctions et préparation du patient au postopératoire ;
– un bilan allergologique éliminant une intolérance aux composants métalliques de la prothèse (chrome, cobalt, molybdène).
Mise en place de la prothèse
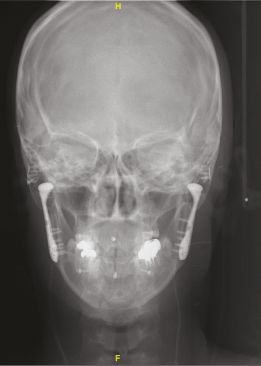
L’intervention se déroule sous anesthésie générale et la voie d’abord classique comporte deux incisions : l’une en avant du tragus et l’autre sous l’angle mandibulaire. Elle consiste dans un premier temps à réséquer le condyle pathologique (et si nécessaire le bloc d’ankylose associé). La prothèse est ensuite placée : l’implant temporal est fixé au niveau de l’arcade zygomatique, et l’implant condylien au niveau de la branche montante de la mandibule (fig. 3 ). Le remplacement peut concerner les deux articulations au cours de la même intervention. Le positionnement de l’implant doit être optimal afin d’obtenir l’ouverture buccale de 32 à 35 mm escomptée sans dislocation. L’amplitude des mouvements de la prothèse et l’occlusion dentaire doivent être vérifiées en fin d’intervention.
La durée d’hospitalisation varie de 2 à 5 jours et une antibiothérapie est habituellement prescrite pour une durée de 7 jours. Aucun blocage maxillo-mandibulaire n’est nécessaire en postopératoire. Une alimentation molle est recommandée pendant 1 mois (fig. 4) .
La durée d’hospitalisation varie de 2 à 5 jours et une antibiothérapie est habituellement prescrite pour une durée de 7 jours. Aucun blocage maxillo-mandibulaire n’est nécessaire en postopératoire. Une alimentation molle est recommandée pendant 1 mois (
Mise en garde
Les patients candidats à ce type de chirurgie doivent être avertis qu’ils conserveront des limitations fonctionnelles en postopératoire : l’amélioration de l’ouverture buccale est effective mais n’excède généralement pas 35 mm, les capacités de diduction et de propulsion seront également restreintes. Par ailleurs, un remplacement unilatéral peut conduire à l’aggravation de la symptomatologie du côté opposé, notamment si ce dernier est déjà pathologique au moment de la chirurgie. L’état psychologique du patient doit être appréhendé tout comme sa motivation car une kinésithérapie intensive et prolongée est nécessaire en postopératoire. Les contre-indications sont peu nombreuses et intuitives : les enfants, les patients ayant des infections actives, des immunodépressions non contrôlées et des allergies à l’un des matériaux ne peuvent être candidats à ce type de chirurgie.
Quels risques ?
Les risques encourus en postopératoire immédiats sont essentiellement nerveux et liés aux voies d’abord chirurgicales : paralysie ou parésie d’un rameau du nerf facial (temporal, marginal mandibulaire), paresthésie labiale inférieure et mentonnière due à l’atteinte du nerf alvéolaire inférieur. L’incidence des atteintes du nerf facial est évaluée entre 1 et 30 %. La grande majorité des paralysies faciales postopératoires sont transitoires et récupèrent en quelques semaines et peuvent durer jusqu’à 6 mois. Les cicatrices à 1 an sont peu visibles.
Le taux d’infection est faible, estimé à 1,5 % au cours des six premiers mois avec un taux de 0,95 % nécessitant le retrait du matériel.5 Les autres causes d’échec impliquant l’ablation de la prothèse sont rares : formation d’os hétérotopique responsable d’une (ré)ankylose, allergie à l’un des composants découverte après l’implantation, perte de l’un des composants (vis notamment), usure prothétique. Concernant la durée de vie des prothèses, les premières informations disponibles ont été déduites des données de la littérature orthopédique. Les matériaux utilisés sont les mêmes et les forces de charge appliquées au complexe temporo-mandibulaire sont beaucoup plus faibles que celles supportées par un genou ou une hanche. De plus, les patients atteints de pathologies de l’articulation temporo-mandibulaire ont souvent des forces masticatoires plus faibles que la normale réduisant d’autant les charges fonctionnelles appliquées à la prothèse. On suppose donc que leur longévité sera au moins aussi importante que celle des prothèses de genou ou de hanche. Quelques études de faible effectif supportent cette hypothèse et retrouvent des taux d’explantation très faibles après plusieurs années de recul.6-8 Un registre national français des complications postopératoires est en cours de développement.
Le taux d’infection est faible, estimé à 1,5 % au cours des six premiers mois avec un taux de 0,95 % nécessitant le retrait du matériel.5 Les autres causes d’échec impliquant l’ablation de la prothèse sont rares : formation d’os hétérotopique responsable d’une (ré)ankylose, allergie à l’un des composants découverte après l’implantation, perte de l’un des composants (vis notamment), usure prothétique. Concernant la durée de vie des prothèses, les premières informations disponibles ont été déduites des données de la littérature orthopédique. Les matériaux utilisés sont les mêmes et les forces de charge appliquées au complexe temporo-mandibulaire sont beaucoup plus faibles que celles supportées par un genou ou une hanche. De plus, les patients atteints de pathologies de l’articulation temporo-mandibulaire ont souvent des forces masticatoires plus faibles que la normale réduisant d’autant les charges fonctionnelles appliquées à la prothèse. On suppose donc que leur longévité sera au moins aussi importante que celle des prothèses de genou ou de hanche. Quelques études de faible effectif supportent cette hypothèse et retrouvent des taux d’explantation très faibles après plusieurs années de recul.6-8 Un registre national français des complications postopératoires est en cours de développement.
Des indications vouées à s’élargir
Avec des résultats fonctionnels satisfaisants associés à un taux de complications faible, les prothèses de l’articulation temporo-mandibulaire ont aujourd’hui supplanté les autres techniques de remplacement articulaire, notamment la greffe costo-chondrale. Cette chirurgie bénéficie de l’essor de la planification virtuelle, et ces indications, qui restent à préciser, sont vouées à s’élargir. Vingt-sept nouveaux systèmes articulaires sont en cours de développement et selon une estimation, le nombre de pose de prothèses de l’articulation temporo-mandibulaire aux États-Unis augmentera de plus de 50 % d’ici 2030.11
Malgré une histoire houleuse, la prothèse est donc devenue aujourd’hui une solution de choix pour la reconstruction de l’articulation temporo-mandibulaire.
Malgré une histoire houleuse, la prothèse est donc devenue aujourd’hui une solution de choix pour la reconstruction de l’articulation temporo-mandibulaire.
Références
1. Schouman T, Ceddaha A, N’Diaye MM, Goudot P. Dysfonction de l’appareil manducateur. Rev Prat 2019;69;432-6.
2. Sidebottom AJ. Current thinking in temporomandibular joint management. Br J Oral Maxillofac Surg 2009;47:91-4.
3. De Meurechy N, Mommaerts MY. Alloplastic temporomandibular joint replacement systems: a systematic review of their history. Int J Oral Maxillofac Surg 2018;47:743-54.
4. Haute Autorité de santé. Commission d’évaluation. PROTHESE TMJ, Prothèses totales de l’articulation temporo-mandibulaire. Avis de la CNEDiMTS, juin 2013. https://bit.ly/3qsaae2
5. Mercuri LG, Psutka D. Perioperative, postoperative, and prophylactic use of antibiotics in alloplastic total temporomandibular joint replacement surgery: a survey and preliminary guidelines. J Oral Maxillofac Surg 2011;69:2106-11.
6. Mercuri LG, Edibam NR, Giobbie-Hurder A. Fourteen-year follow-up of a patient-fitted total temporomandibular joint reconstruction system. J Oral Maxillofac Surg 2007;65:1140-8.
7. Leandro LFL, Ono HY, de Souza Loureiro CC, Marinho K, Garcia Guevara HA. A ten-year experience and follow-up of three hundred patients fitted with the Biomet/Lorenz Microfixation TMJ replacement system. Int J Oral Maxillofac Surg 2013;42:1007-13.
8. Wolford LM, Mercuri LG, Schneiderman ED, Movahed R, Allen W. Twenty-year follow-up study on a patient-fitted temporomandibular joint prosthesis: the Techmedica/TMJ Concepts device. J Oral Maxillofac Surg 2015;73:952-60.
9. Lee WY, Park YW, Kim SG. Comparison of costochondral graft and customized total joint reconstruction for treatments of temporomandibular joint replacement. Maxillofac Plast Reconstr Surg 2014;36:135-9.
10. Mercuri LG, Edibam NR, Giobbie-Hurder A. Fourteen-year follow-up of a patient-fitted total temporomandibular joint reconstruction system. J Oral Maxillofac Surg 2007;65:1140-8.
11. Onoriobe U, Miloro M, Sukotjo C, Mercuri LG, Lotesto A, Eke R. How many temporomandibular joint total joint alloplastic implants will be placed in the United States in 2030? J Oral Maxillofac Surg 2016;74:1531-8.
2. Sidebottom AJ. Current thinking in temporomandibular joint management. Br J Oral Maxillofac Surg 2009;47:91-4.
3. De Meurechy N, Mommaerts MY. Alloplastic temporomandibular joint replacement systems: a systematic review of their history. Int J Oral Maxillofac Surg 2018;47:743-54.
4. Haute Autorité de santé. Commission d’évaluation. PROTHESE TMJ, Prothèses totales de l’articulation temporo-mandibulaire. Avis de la CNEDiMTS, juin 2013. https://bit.ly/3qsaae2
5. Mercuri LG, Psutka D. Perioperative, postoperative, and prophylactic use of antibiotics in alloplastic total temporomandibular joint replacement surgery: a survey and preliminary guidelines. J Oral Maxillofac Surg 2011;69:2106-11.
6. Mercuri LG, Edibam NR, Giobbie-Hurder A. Fourteen-year follow-up of a patient-fitted total temporomandibular joint reconstruction system. J Oral Maxillofac Surg 2007;65:1140-8.
7. Leandro LFL, Ono HY, de Souza Loureiro CC, Marinho K, Garcia Guevara HA. A ten-year experience and follow-up of three hundred patients fitted with the Biomet/Lorenz Microfixation TMJ replacement system. Int J Oral Maxillofac Surg 2013;42:1007-13.
8. Wolford LM, Mercuri LG, Schneiderman ED, Movahed R, Allen W. Twenty-year follow-up study on a patient-fitted temporomandibular joint prosthesis: the Techmedica/TMJ Concepts device. J Oral Maxillofac Surg 2015;73:952-60.
9. Lee WY, Park YW, Kim SG. Comparison of costochondral graft and customized total joint reconstruction for treatments of temporomandibular joint replacement. Maxillofac Plast Reconstr Surg 2014;36:135-9.
10. Mercuri LG, Edibam NR, Giobbie-Hurder A. Fourteen-year follow-up of a patient-fitted total temporomandibular joint reconstruction system. J Oral Maxillofac Surg 2007;65:1140-8.
11. Onoriobe U, Miloro M, Sukotjo C, Mercuri LG, Lotesto A, Eke R. How many temporomandibular joint total joint alloplastic implants will be placed in the United States in 2030? J Oral Maxillofac Surg 2016;74:1531-8.