En France, l’incidence de la tuberculose est devenue faible en 2015 grâce aux moyens curatifs et préventifs de la lutte antituberculeuse : 7,1/100 000 (4 741 cas). Chez l’enfant de moins de 15 ans, l’incidence est ≤ 3/10-5. Certains groupes de population sont plus atteints : sujets contacts de malades contagieux, migrants de pays de forte incidence, région Île-de-France, Guyane et Mayotte, professionnels de santé, précaires, immunodéprimés. À l’échelle mondiale, on estime le nombre de nouveaux cas annuels à 10,4 millions (142/100 000) dont 11 % atteints du VIH ; parmi ceux-ci, le nombre de cas à bacilles multirésistants est estimé à 580 000. Le nombre de décès est estimé à 1,4 million (hors décès associés au VIH ; première cause de décès par une maladie infectieuse unique).
Les trois quarts des tuberculoses sont pulmonaires, mais tout organe peut être atteint.
Les trois quarts des tuberculoses sont pulmonaires, mais tout organe peut être atteint.
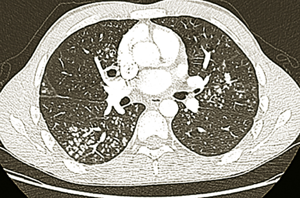
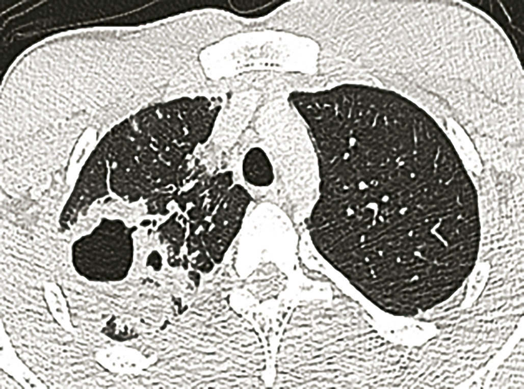
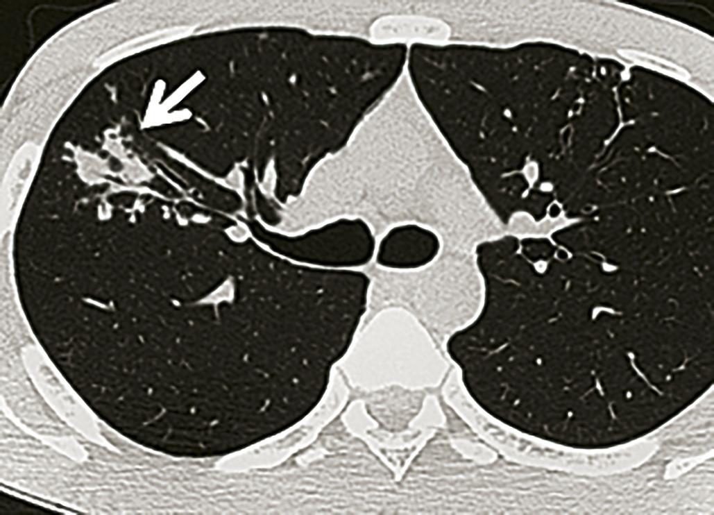
Imagerie (fig.1-4)
L’imagerie thoracique (radiographie, tomodensitométrie plus précise) révèle des opacités et modifications morphologiques de plusieurs types ± associées : atteintes bronchiolaires, bronchocèles, nodules acinaires, masses ± excavées, formes pneumoniques, rétractions lobaires, adénopathies médiastinales, pleurésies, miliaires.
Lire aussi | Dossier progressif n° 286
Prévention de la tuberculose
Elle comprend :
- le diagnostic et le traitement précoces des tuberculoses contagieuses (délai diagnostique ; dépistage radiographique en populations à risque) ;
- la mise en « précautions complémentaires air » des patients contagieux hospitalisés ;
- le suivi des sujets contacts des malades contagieux (diagnostic et traitement d’éventuelles infections latentes ; dépistage radiographique des cas secondaires de tuberculose thoracique) réalisé par les centres de lutte antituberculeuse après enquête d’entourage faisant suite à la déclaration obligatoire ;
- le diagnostic et le traitement des infections latentes chez certains patients immunodéprimés (atteints du VIH ; avant anti-TNF ou biothérapie) ;
- le vaccin BCG (non obligatoire chez les enfants mais recommandé dans certaines populations d’enfants ; obligatoire chez les adultes professionnels socio-sanitaires).
Lire aussi | Image mystérieuse n°438
BCG
C’est une primo-infection artificielle provoquée par l’injection intradermique d’une dose de BCG, sur la face externe du bras dans la région deltoïdienne.
Réglementation et recommandations
Depuis le décret 2007-1111 du 17 juillet 2007, l’obligation vaccinale est suspendue pour les enfants. Le BCG reste obligatoire (1 seul vaccin même ancien) pour les adultes des professions socio-sanitaires avant leur prise de fonction.
Les enfants chez lesquels la vaccination est recommandée sont d’après le calendrier vaccinal 2017 :
Les enfants chez lesquels la vaccination est recommandée sont d’après le calendrier vaccinal 2017 :
- enfant né dans un pays de forte endémie tuberculeuse ;
- enfant dont au moins un parent est originaire de l’un de ces pays ;
- enfant devant séjourner au moins un mois d’affilée dans l’un de ces pays ;
- enfant ayant un antécédent familial de tuberculose (collatéraux ou ascendants directs) ;
- enfant résidant en Île-de-France, en Guyane ou à Mayotte ;
- enfant dans toute situation jugée par le médecin à risque d’exposition au bacille tuberculeux, notamment enfant vivant dans des conditions de logement défavorables (habitat précaire ou surpeuplé) ou socioéconomiques défavorables ou précaires (en particulier parmi les bénéficiaires de la CMU, CMUc, AME…) ou en contact régulier avec des adultes originaires d’un pays de forte endémie.
Quand réaliser la vaccination ?
D’après le calendrier vaccinal 2017 : enfants (recommandation) de plus d’un mois de vie (au mieux au 2e mois), mais dès la naissance si nés à Mayotte, en Guyane ou contacts. Jusqu’à l’âge de 15 ans. IDR préalable à partir de 6 ans. Définition des enfants à risque ci-dessus.
La revaccination par le BCG, en population générale et chez les professionnels exposés à la tuberculose, n’est plus indiquée depuis 2004.
En conséquence, l’IDR à la tuberculine à 5 unités (Tubertest) n’a pas lieu d’être pratiquée à titre systématique, notamment après la vaccination par le BCG.
En milieu professionnel :
. les personnes apportant la preuve écrite de cette vaccination ;
. les personnes présentant une cicatrice vaccinale pouvant être considérée comme la preuve de la vaccination par le BCG ;
La revaccination par le BCG, en population générale et chez les professionnels exposés à la tuberculose, n’est plus indiquée depuis 2004.
En conséquence, l’IDR à la tuberculine à 5 unités (Tubertest) n’a pas lieu d’être pratiquée à titre systématique, notamment après la vaccination par le BCG.
En milieu professionnel :
- une intradermoréaction à 5 unités de tuberculine liquide (IDR) est recommandée pour certaines études et professions. Le résultat de sa mesure doit être noté, il servira de test de référence ;
- une vaccination par le BCG, même ancienne, reste exigée à l’embauche pour les étudiants et les professionnels mentionnés aux articles R.3112-1 (alinéa C.) et R.3112-2 du code de la santé publique (en l’absence d’IDR positive). La recommandation sur ce point est susceptible d’évoluer prochainement ; il convient donc de se rapporter aux textes les plus récents.
. les personnes apportant la preuve écrite de cette vaccination ;
. les personnes présentant une cicatrice vaccinale pouvant être considérée comme la preuve de la vaccination par le BCG ;
- infection à VIH : le BCG est contre-indiqué quel que soit le statut immunitaire ;
- transplantés d’organe ou en attente de transplantation : le BCG est strictement contre-indiqué dans tous les cas ;
- immunodéprimés : la vaccination par le BCG est contre-indiquée chez le patient immunodéprimé (enfant et adulte) en raison du risque de bécégite loco-régionale ou généralisée ;
- greffés de moelle osseuse : le BCG est contre-indiqué de façon définitive.
Prise en charge de la vaccination
Couverture sociale personnelle.
Dans le cadre du centre de lutte antituberculeuse, de la protection maternelle et infantile ou des centres de vaccination, les vaccinations (notamment BCG) sont prises en charge financièrement par la caisse primaire d’assurance maladie (CPAM) à partir du 1er janvier 2016 pour les assurés sociaux et les bénéficiaires de l’aide médicale de l’État (AME) dans la limite des 70 %.
Cette référence fait appel à des prérequis : bactériologie (les mycobactéries, les bacilles tuberculeux) ; épidémiologie (notions de prévalence, d’incidence, sensibilité, spécificité, valeur prédictive positive ou négative) ; clinique (les patients immunodéprimés).
Dans le cadre du centre de lutte antituberculeuse, de la protection maternelle et infantile ou des centres de vaccination, les vaccinations (notamment BCG) sont prises en charge financièrement par la caisse primaire d’assurance maladie (CPAM) à partir du 1er janvier 2016 pour les assurés sociaux et les bénéficiaires de l’aide médicale de l’État (AME) dans la limite des 70 %.
Cette référence fait appel à des prérequis : bactériologie (les mycobactéries, les bacilles tuberculeux) ; épidémiologie (notions de prévalence, d’incidence, sensibilité, spécificité, valeur prédictive positive ou négative) ; clinique (les patients immunodéprimés).