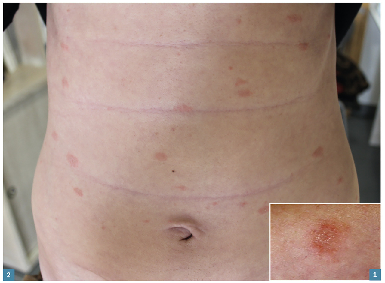
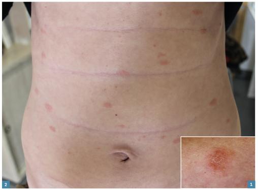
Brigitte, 35 ans, consulte pour des lésions de l’avant-bras circulaires à centre squameux, apparues il y a 4 jours (fig. 1 ) ; 24 heures auparavant, elle en avait observé de plus petites sur le thorax (fig. 2 ). L’interrogatoire révèle qu’il y a 15 jours, elle a contracté une virose à tropisme oropharyngé.
Cette dermatose érythématosquameuse est fréquente entre 10 et 35 ans.
Trois arguments plaident pour une origine virale : caractère saisonnier de l’éruption (printemps et automne), épidémies au sein de collectivités et affection respiratoire virale précédant le pityriasis.
La lésion initiale (médaillon) est une plaque ovale rosée de 1 à 2 cm avec une fine collerette squameuse (fig. 1 ). D’autres apparaissent progressivement par vagues pendant 4 à 6 semaines, adoptant parfois une conformation en sapin de Noël. Leur taille est volontiers plus réduite. Localisées au tronc et aux extrémités proximales, elles sont peu ou non prurigineuses.
L’identification est clinique, grâce à l’interrogatoire, l’aspect et l’évolution des lésions, qui disparaissent en 4 à 12 semaines.
Plusieurs diagnostics différentiels doivent être envisagés : pityriasis versicolor, psoriasis en gouttes, dermatophytie (prélèvement mycologique à réaliser), syphilis et VIH (sérologies à demander).
Aucun traitement n’est recommandé.
Trois arguments plaident pour une origine virale : caractère saisonnier de l’éruption (printemps et automne), épidémies au sein de collectivités et affection respiratoire virale précédant le pityriasis.
La lésion initiale (médaillon) est une plaque ovale rosée de 1 à 2 cm avec une fine collerette squameuse (
L’identification est clinique, grâce à l’interrogatoire, l’aspect et l’évolution des lésions, qui disparaissent en 4 à 12 semaines.
Plusieurs diagnostics différentiels doivent être envisagés : pityriasis versicolor, psoriasis en gouttes, dermatophytie (prélèvement mycologique à réaliser), syphilis et VIH (sérologies à demander).
Aucun traitement n’est recommandé.
Pour en savoir plus
Martin G, Nicolas L. Les taches du gendarme. Rev Prat Med Gen 2011; 25:119.
Une question, un commentaire ?
Sur le même thème
Article