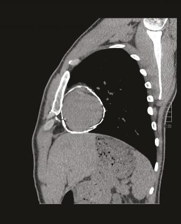
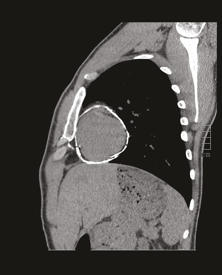
Ce militaire de 25 ans avait des calcifications péricardiques découvertes lors d’un uroscanner (bilan préopératoire de varicocèle). Il avait une fatigabilité à l’effort et une baisse de ses performances sportives. L’échographie transthoracique (ETT) montrait un péricarde épais hyperéchogène d’aspect calcifié et une constriction péricardique. Le scanner (fig. 1 et 2) montrait des calcifications péricardiques circonférentielles sans épaississement ni renforcement péricardique. L’IRM myocardique notait une prise de contraste anormale du péricarde autour du ventricule gauche (VG) avec macrocalcification de la région antéro-latéro-basale, une discrète altération de la FEVG à 51 %, une altération de la fonction systolique du ventricule droit à 28 %, et surtout une dilatation de l’oreillette droite et de la veine cave inférieure, signes de constriction péricardique. L’épreuve d’effort était maximale, négative cliniquement mais positive électriquement avec une majoration des troubles de la repolarisation ; le bilan biologique était normal. Le cathétérisme droit confirmait la constriction. Après décortication chirurgicale du péricarde, les suites opératoires étaient simples avec normalisation en 2 mois de l’épreuve d’effort et de la fonction du VD à l’échographie. Le patient retrouvait ses performances sportives et une surveillance annuelle était instituée.
La péricardite constrictive chronique1-4 est une inflammation chronique rare qui engendre la formation d’une coque rigide autour du cœur limitant sa compliance ; les cavités droites sont plus impactées. Elle est idiopathique, ou survient dans les suites d’une chirurgie cardiaque, de radiothérapie thoracique ou lors d’une maladie de système. Les péricardites tuberculeuses et bactériennes prédominent dans les pays émergents. Le signe initial le plus fréquent est la dyspnée. S’installent ensuite progressivement des signes d’insuffisance cardiaque à prédominance droite. L’ETT, essentielle au diag- nostic, montre un épais- sissement péricardique et/ou des calcifications, une constriction avec une dilatation des cavités droites, un mouvement paradoxal du septum interventriculaire et une dila- tation veineuse ; scanner et IRM thoracique la complètent. Le cathétérisme cardiaque est réalisé si la chirurgie est envisagée : il affirme la diagnostic et permet d’éliminer une cardiopathie restrictive. L’évolution spontanée est toujours sévère. Le traitement est chirurgical (décortication péricardique).
Références
1. Gouriet F, Levy PY. Péricardites. Rev Prat 2017;67:415-9.
2. Seilder S, Lebowitz D, Müller H. Péricardite constrictive chronique. Rev Med Suisse 2015;11:1166-71.
3. Roubille F, Akodad M, Cransac F, et al. Péricardites aiguës et chroniques. EMC Traité de médecine 2017;12:3.
4. Soulat Dufour L, Soulat S, Adavane F, et al. Péricardites chroniques. EMC cardiologie. 2016;11:n°1.
2. Seilder S, Lebowitz D, Müller H. Péricardite constrictive chronique. Rev Med Suisse 2015;11:1166-71.
3. Roubille F, Akodad M, Cransac F, et al. Péricardites aiguës et chroniques. EMC Traité de médecine 2017;12:3.
4. Soulat Dufour L, Soulat S, Adavane F, et al. Péricardites chroniques. EMC cardiologie. 2016;11:n°1.
Une question, un commentaire ?